• 文献检索
  • 文档翻译
  • 深度研究
  • 学术资讯
  • Suppr Zotero 插件Zotero 插件
  • 邀请有礼
  • 套餐&价格
  • 历史记录
应用&插件
Suppr Zotero 插件Zotero 插件浏览器插件Mac 客户端Windows 客户端微信小程序
定价
高级版会员购买积分包购买API积分包
服务
文献检索文档翻译深度研究API 文档MCP 服务
关于我们
关于 Suppr公司介绍联系我们用户协议隐私条款
关注我们

Suppr 超能文献

核心技术专利:CN118964589B侵权必究
粤ICP备2023148730 号-1Suppr @ 2026

文献检索

告别复杂PubMed语法,用中文像聊天一样搜索,搜遍4000万医学文献。AI智能推荐,让科研检索更轻松。

立即免费搜索

文件翻译

保留排版,准确专业,支持PDF/Word/PPT等文件格式,支持 12+语言互译。

免费翻译文档

深度研究

AI帮你快速写综述,25分钟生成高质量综述,智能提取关键信息,辅助科研写作。

立即免费体验

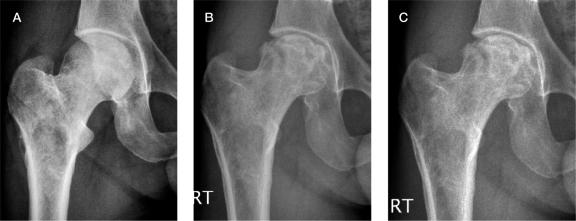
12个受戈谢病影响关节的关节周围骨坏死早期钻孔效果不佳。

Poor results of drilling in early stages of juxta-articular osteonecrosis in 12 joints affected by Gaucher disease.

作者信息

Lebel Ehud, Phillips Mici, Elstein Deborah, Zimran Ari, Itzchaki Menachem

机构信息

Department of Orthopaedic Surgery, Shaare Zedek Medical Center, Jerusalem, Israel.

出版信息

Acta Orthop. 2009 Apr;80(2):201-4. doi: 10.3109/17453670902930032.

DOI:10.3109/17453670902930032
PMID:19404804
原文链接:https://pmc.ncbi.nlm.nih.gov/articles/PMC2823173/
Abstract

BACKGROUND AND PURPOSE

Gaucher disease is heterogeneous. One of the most devastating complications is bone involvement, ranging from mild osteopenia to osteonecrosis, but no markers have been discovered to predict onset and/or progression. We describe our experience in a large referral center using drilling for juxta-articular osteonecrosis in young patients with Gaucher disease.

PATIENTS AND METHODS

We retrospectively reviewed medical data from all patients who were recommended to undergo drilling for osteonecrosis of juxta-articular bone of the femoral head, the humeral head, or upper tibia for acute osteonecrosis at a pre-collapse stage.

RESULTS

11 patients (mean age 34 years) underwent drilling of 12 joints with juxta-articular osteonecrosis; 3 (mean age 51 years) refused intervention. 9 joints that were drilled showed advancing joint degeneration within 0.5 to 4 years. 3 joints have undergone replacement. Of the 3 joints that did not undergo drilling, 2 have undergone replacement and 1 has collapsed with osteoarthritis.

INTERPRETATION

We found equally poor outcome with and without drilling. Effective intervention can only be achieved by improving our understanding of bone physiology and pathophysiology in Gaucher disease.

摘要

背景与目的

戈谢病具有异质性。最具破坏性的并发症之一是骨骼受累,范围从轻度骨质减少到骨坏死,但尚未发现可预测发病和/或进展的标志物。我们描述了在一家大型转诊中心对戈谢病年轻患者的关节周围骨坏死进行钻孔治疗的经验。

患者与方法

我们回顾性分析了所有因股骨头、肱骨头或胫骨近端关节周围骨急性坏死且处于塌陷前期而被建议进行钻孔治疗的患者的医疗数据。

结果

11例患者(平均年龄34岁)接受了12个关节周围骨坏死的钻孔治疗;3例患者(平均年龄51岁)拒绝干预。接受钻孔治疗的9个关节在0.5至4年内出现了关节退变进展。3个关节已进行置换。在未接受钻孔治疗的3个关节中,2个已进行置换,1个已因骨关节炎而塌陷。

解读

我们发现钻孔治疗与未钻孔治疗的结果同样不佳。只有通过增进对戈谢病骨生理学和病理生理学的理解,才能实现有效的干预。

https://cdn.ncbi.nlm.nih.gov/pmc/blobs/12c8/2823173/854f17dad137/ORT-1745-3674-80-201-g002.jpg
https://cdn.ncbi.nlm.nih.gov/pmc/blobs/12c8/2823173/f513b66ac765/ORT-1745-3674-80-201-g001.jpg
https://cdn.ncbi.nlm.nih.gov/pmc/blobs/12c8/2823173/854f17dad137/ORT-1745-3674-80-201-g002.jpg
https://cdn.ncbi.nlm.nih.gov/pmc/blobs/12c8/2823173/f513b66ac765/ORT-1745-3674-80-201-g001.jpg
https://cdn.ncbi.nlm.nih.gov/pmc/blobs/12c8/2823173/854f17dad137/ORT-1745-3674-80-201-g002.jpg

相似文献

1
Poor results of drilling in early stages of juxta-articular osteonecrosis in 12 joints affected by Gaucher disease.12个受戈谢病影响关节的关节周围骨坏死早期钻孔效果不佳。
Acta Orthop. 2009 Apr;80(2):201-4. doi: 10.3109/17453670902930032.
2
Treatment of osteonecrosis of the humeral head with cementless surface replacement arthroplasty.采用非骨水泥型表面置换关节成形术治疗肱骨头缺血性坏死。
J Bone Joint Surg Am. 2009 Feb;91(2):340-9. doi: 10.2106/JBJS.H.00560.
3
Preliminary Results of Multiple Epiphyseal Drilling and Autologous Bone Marrow Implantation for Osteonecrosis of the Femoral Head Secondary to Sickle Cell Disease in Children.儿童镰状细胞病继发股骨头坏死的多次骨骺钻孔及自体骨髓植入的初步结果
J Pediatr Orthop. 2015 Dec;35(8):810-5. doi: 10.1097/BPO.0000000000000381.
4
[Femoral and humeral head osteonecrosis in a patient with hypofibrinolysis and hyperhomocysteinemia. A case report and a review of the literature].[低纤维蛋白溶解症和高同型半胱氨酸血症患者的股骨头和肱骨头骨坏死。病例报告及文献综述]
Reumatismo. 2004 Jul-Sep;56(3):202-10. doi: 10.4081/reumatismo.2004.202.
5
Risk factors for osteonecrosis in patients with type 1 Gaucher's disease.
Clin Orthop Relat Res. 1999 May(362):201-7.
6
Partial humeral head resurfacing for osteonecrosis.用于治疗骨坏死的肱骨头部分表面置换术。
J Shoulder Elbow Surg. 2009 Sep-Oct;18(5):711-6. doi: 10.1016/j.jse.2008.10.016. Epub 2009 Jan 30.
7
Free vascularized fibular grafting for the treatment of postcollapse osteonecrosis of the femoral head.游离带血管腓骨移植治疗股骨头塌陷后骨坏死
J Bone Joint Surg Am. 2003 Jun;85(6):987-93. doi: 10.2106/00004623-200306000-00001.
8
A Comparison of Transphyseal Neck-Head Tunneling and Multiple Epiphyseal Drilling on Femoral Head Healing Following Ischemic Osteonecrosis: An Experimental Investigation in Immature Pigs.经骺板头颈隧道术与多次骨骺钻孔术对缺血性骨坏死股骨头愈合影响的比较:幼猪实验研究
J Pediatr Orthop. 2020 Apr;40(4):168-175. doi: 10.1097/BPO.0000000000001219.
9
Free vascularized fibular grafting for the treatment of postcollapse osteonecrosis of the femoral head. Surgical technique.游离带血管腓骨移植治疗股骨头塌陷后骨坏死。手术技术。
J Bone Joint Surg Am. 2004 Mar;86-A Suppl 1:87-101. doi: 10.2106/00004623-200403001-00012.
10
Osteonecrosis of the humeral head: results of replacement.肱骨头缺血性坏死:置换结果
J Shoulder Elbow Surg. 2000 May-Jun;9(3):177-82.

引用本文的文献

1
The humeral head: A review of the blood supply and possible link to osteonecrosis following rotator cuff repair.肱骨头:对血液供应的回顾以及与肩袖修复后骨坏死的可能联系。
J Anat. 2021 Nov;239(5):973-982. doi: 10.1111/joa.13496. Epub 2021 Jun 23.
2
The pathogenesis of nontraumatic osteonecrosis.非创伤性骨坏死的发病机制。
Arthritis. 2012;2012:601763. doi: 10.1155/2012/601763. Epub 2012 Nov 8.
3
An overview on bone manifestations in Gaucher disease.戈谢病的骨骼表现概述。

本文引用的文献

1
Current practices of AAHKS members in the treatment of adult osteonecrosis of the femoral head.美国髋关节与膝关节外科医师学会成员在成人股骨头坏死治疗方面的当前做法。
J Bone Joint Surg Am. 2007 Jun;89(6):1194-204. doi: 10.2106/JBJS.F.00302.
2
Advances in hip arthroplasty in the treatment of osteonecrosis.髋关节置换术治疗骨坏死的进展。
Instr Course Lect. 2007;56:221-33.
3
Core decompression and nonvascularized bone grafting for the treatment of early stage osteonecrosis of the femoral head.髓芯减压与非血管化骨移植治疗早期股骨头坏死
Wien Med Wochenschr. 2010 Dec;160(23-24):609-24. doi: 10.1007/s10354-010-0841-y.
Instr Course Lect. 2007;56:213-20.
4
The effect of enzyme replacement therapy on bone crisis and bone pain in patients with type 1 Gaucher disease.酶替代疗法对1型戈谢病患者骨危象和骨痛的影响。
Clin Genet. 2007 Mar;71(3):205-11. doi: 10.1111/j.1399-0004.2007.00769.x.
5
Physical therapy alone compared with core decompression and physical therapy for femoral head osteonecrosis in sickle cell disease. Results of a multicenter study at a mean of three years after treatment.镰状细胞病股骨头坏死单纯物理治疗与髓芯减压加物理治疗的比较。一项多中心研究在治疗后平均三年的结果。
J Bone Joint Surg Am. 2006 Dec;88(12):2573-82. doi: 10.2106/JBJS.E.01454.
6
The natural history of asymptomatic osteonecrosis of the femoral head in adults with sickle cell disease.镰状细胞病成年患者股骨头无症状性骨坏死的自然病史。
J Bone Joint Surg Am. 2006 Dec;88(12):2565-72. doi: 10.2106/JBJS.E.01455.
7
Nontraumatic osteonecrosis of the femoral head: ten years later.非创伤性股骨头坏死:十年之后
J Bone Joint Surg Am. 2006 May;88(5):1117-32. doi: 10.2106/JBJS.E.01041.
8
Quality of life related to type 1 Gaucher disease: Spanish experience.与1型戈谢病相关的生活质量:西班牙的经验。
Qual Life Res. 2005 Mar;14(2):453-62. doi: 10.1007/s11136-004-0794-y.
9
Orthopedic considerations in Gaucher disease since the advent of enzyme replacement therapy.自酶替代疗法出现以来戈谢病的骨科考量
Acta Orthop Scand. 2004 Dec;75(6):641-53. doi: 10.1080/00016470410004003.
10
Gaucher disease: alendronate disodium improves bone mineral density in adults receiving enzyme therapy.
Blood. 2004 Sep 1;104(5):1253-7. doi: 10.1182/blood-2003-11-3854. Epub 2004 Mar 9.