Suppr超能文献

Damaged ligaments at the craniocervical junction presenting as an extradural tumour: a differential diagnosis in the elderly.

作者信息

Crockard H A, Sett P, Geddes J F, Stevens J M, Kendall B E, Pringle J A

机构信息

National Hospital for Neurology and Neurosurgery, Maida Vale, London, UK.

出版信息

J Neurol Neurosurg Psychiatry. 1991 Sep;54(9):817-21. doi: 10.1136/jnnp.54.9.817.

Abstract

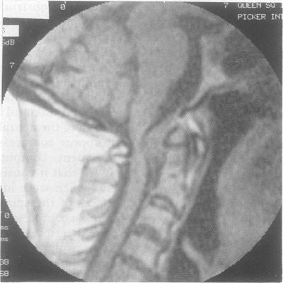
An extradural mass at the craniocervical junction causing progressive neurological disability in five elderly patients is described. The lesion, which might be confused with a meningioma or other tumour, is composed of amorphous degenerate fibrocartilaginous material and could be due to degeneration of the ligaments responsible for atlanto-axial stability. Recognition of the condition early is important as the patient's clinical condition will deteriorate without decompression. Anterior transoral removal is relatively simple, unlike surgery for tumours in the area, and will not destabilise the craniovertebral junction. It is likely that a proportion of these lesions are undetected, misdiagnosed or untreated to the detriment of the patient.

摘要
https://cdn.ncbi.nlm.nih.gov/pmc/blobs/8d39/1014523/f543f631ecca/jnnpsyc00507-0058-a.jpg

文献检索

告别复杂PubMed语法,用中文像聊天一样搜索,搜遍4000万医学文献。AI智能推荐,让科研检索更轻松。

立即免费搜索

文件翻译

保留排版,准确专业,支持PDF/Word/PPT等文件格式,支持 12+语言互译。

免费翻译文档

深度研究

AI帮你快速写综述,25分钟生成高质量综述,智能提取关键信息,辅助科研写作。

立即免费体验