Suppr超能文献

核小体定位由(H3-H4)2四聚体决定。

Nucleosome positioning is determined by the (H3-H4)2 tetramer.

作者信息

Dong F, van Holde K E

机构信息

Department of Biochemistry and Biophysics, Oregon State University, Corvallis 97331-6503.

出版信息

Proc Natl Acad Sci U S A. 1991 Dec 1;88(23):10596-600. doi: 10.1073/pnas.88.23.10596.

Abstract

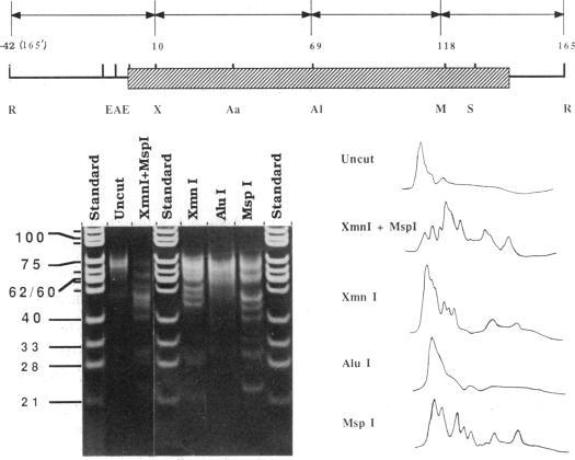
It is demonstrated that the histone (H3-H4)2 tetramer can find specific positions on DNA, even in the absence of other histones. Purified histone (H3-H4)2 tetramers were reconstituted onto 208-base-pair (bp) DNA molecules containing a nucleosome-positioning sequence by using salt-gradient dialysis. The stoichiometry of histone tetramer to DNA was shown to be 1:1. Digestion with micrococcal nuclease led to formation of protected DNA fragments of approximately 73 bp. Cleavage of the 73-bp DNA with restriction enzymes produced a small set of defined bands, demonstrating positioning of the (H3-H4)2 tetramer on DNA. Analysis of the restriction digests shows that the 73-bp DNA corresponds mainly to two fragments, one lying on either side of the pseudo-dyad axis of the major position adopted by complete histone octamers on this DNA. This result means that a single (H3-H4)2 histone tetramer can fold approximately 146 bp of DNA with the same positioning as the complete octamer but that a region near the pseudo-dyad is only weakly protected against micrococcal nuclease attack in the absence of histones H2A and H2B.

摘要

已证明,即使在没有其他组蛋白的情况下,组蛋白(H3-H4)2四聚体也能在DNA上找到特定位置。通过盐梯度透析将纯化的组蛋白(H3-H4)2四聚体重组到含有核小体定位序列的208碱基对(bp)DNA分子上。组蛋白四聚体与DNA的化学计量比为1:1。用微球菌核酸酶消化导致形成约73 bp的受保护DNA片段。用限制性内切酶切割73 bp的DNA产生一小组确定的条带,表明(H3-H4)2四聚体在DNA上的定位。对限制性消化产物的分析表明,73 bp的DNA主要对应于两个片段,一个位于完整组蛋白八聚体在该DNA上所占据的主要位置的假二元轴的两侧。这一结果意味着单个(H3-H4)2组蛋白四聚体可以将大约146 bp的DNA折叠成与完整八聚体相同的定位,但在没有组蛋白H2A和H2B的情况下,假二元附近的区域仅受到微球菌核酸酶攻击的微弱保护。

https://cdn.ncbi.nlm.nih.gov/pmc/blobs/8157/52976/2cf6aac546f8/pnas01073-0233-a.jpg

文献检索

告别复杂PubMed语法,用中文像聊天一样搜索,搜遍4000万医学文献。AI智能推荐,让科研检索更轻松。

立即免费搜索

文件翻译

保留排版,准确专业,支持PDF/Word/PPT等文件格式,支持 12+语言互译。

免费翻译文档

深度研究

AI帮你快速写综述,25分钟生成高质量综述,智能提取关键信息,辅助科研写作。

立即免费体验