Suppr超能文献

丙型肝炎病毒相关疾病期间细胞周期检查点的调控

Modulations of cell cycle checkpoints during HCV associated disease.

作者信息

Sarfraz Saira, Hamid Saeed, Ali Syed, Jafri Wasim, Siddiqui Anwar A

机构信息

Department of Biological and Biomedical Sciences, Aga Khan University, Karachi, Pakistan.

出版信息

BMC Infect Dis. 2009 Aug 10;9:125. doi: 10.1186/1471-2334-9-125.

Abstract

BACKGROUND

Impaired proliferation of hepatocytes has been reported in chronic Hepatitis C virus infection. Considering the fundamental role played by cell cycle proteins in controlling cell proliferation, altered regulation of these proteins could significantly contribute to HCV disease progression and subsequent hepatocellular carcinoma (HCC). This study aimed to identify the alterations in cell cycle genes expression with respect to early and advanced disease of chronic HCV infection.

METHODS

Using freshly frozen liver biopsies, mRNA levels of 84 cell cycle genes in pooled RNA samples from patients with early or advanced fibrosis of chronic HCV infection were studied. To associate mRNA levels with respective protein levels, four genes (p27, p15, KNTC1 and MAD2L1) with significant changes in mRNA levels (> 2-fold, p-value < 0.05) were selected, and their protein expressions were examined in the liver biopsies of 38 chronic hepatitis C patients.

RESULTS

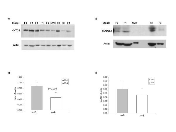
In the early fibrosis group, increased mRNA levels of cell proliferation genes as well as cell cycle inhibitor genes were observed. In the advanced fibrosis group, DNA damage response genes were up-regulated while those associated with chromosomal stability were down-regulated. Increased expression of CDK inhibitor protein p27 was consistent with its mRNA level detected in early group while the same was found to be negatively associated with liver fibrosis. CDK inhibitor protein p15 was highly expressed in both early and advanced group, but showed no correlation with fibrosis. Among the mitotic checkpoint regulators, expression of KNTC1 was significantly reduced in advanced group while MAD2L1 showed a non-significant decrease.

CONCLUSION

Collectively these results are suggestive of a disrupted cell cycle regulation in HCV-infected liver. The information presented here highlights the potential of identified proteins as predictive factors to identify patients with high risk of cell transformation and HCC development.

摘要

背景

据报道,慢性丙型肝炎病毒感染时肝细胞增殖受损。鉴于细胞周期蛋白在控制细胞增殖中发挥的基本作用,这些蛋白的调节改变可能显著促进丙型肝炎病毒疾病进展及随后的肝细胞癌(HCC)发生。本研究旨在确定慢性丙型肝炎病毒感染早期和晚期疾病中细胞周期基因表达的变化。

方法

使用新鲜冷冻的肝活检组织,研究慢性丙型肝炎病毒感染早期或晚期纤维化患者混合RNA样本中84个细胞周期基因的mRNA水平。为了将mRNA水平与相应蛋白质水平相关联,选择了4个mRNA水平有显著变化(>2倍,p值<0.05)的基因(p27、p15、KNTC1和MAD2L1),并在38例慢性丙型肝炎患者的肝活检组织中检测它们的蛋白质表达。

结果

在早期纤维化组中,观察到细胞增殖基因以及细胞周期抑制基因的mRNA水平升高。在晚期纤维化组中,DNA损伤反应基因上调,而与染色体稳定性相关的基因下调。细胞周期蛋白依赖性激酶(CDK)抑制剂蛋白p27的表达增加与其在早期组中检测到的mRNA水平一致,同时发现其与肝纤维化呈负相关。CDK抑制剂蛋白p15在早期和晚期组中均高表达,但与纤维化无相关性。在有丝分裂检查点调节因子中,KNTC1在晚期组中的表达显著降低,而MAD2L1呈非显著性降低。

结论

总体而言,这些结果提示丙型肝炎病毒感染的肝脏中细胞周期调节受到破坏。此处提供的信息突出了所鉴定蛋白质作为预测因子以识别具有细胞转化和肝细胞癌发生高风险患者的潜力。

https://cdn.ncbi.nlm.nih.gov/pmc/blobs/1dc6/2739854/edd34e13cd8b/1471-2334-9-125-1.jpg

文献AI研究员

20分钟写一篇综述,助力文献阅读效率提升50倍。

立即体验

用中文搜PubMed

大模型驱动的PubMed中文搜索引擎

马上搜索

文档翻译

学术文献翻译模型,支持多种主流文档格式。

立即体验