Suppr超能文献

乙状结肠系膜孤立性纤维瘤 1 例罕见病例:影像特征及文献复习

A rare case of solitary fibrous tumour of the sigmoid mesocolon: imaging features and review of literature.

机构信息

Imageology Division, Regional Cancer Centre, Medical College PO, Trivandrum, Kerala, 695011, India.

出版信息

Cancer Imaging. 2009 Oct 12;9(1):67-9. doi: 10.1102/1470-7330.2009.0014.

Abstract

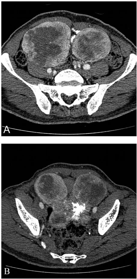
Solitary fibrous tumours are rare spindle cell tumours that generally arise from the pleura but on rare occasions arise in other locations such as the head and neck region, stomach and retroperitoneum. Very few reports exist on the imaging findings of these tumours in extra pleural sites such as the mesentery. We report the computed tomography (CT) imaging findings of a rare case of solitary fibrous tumour in a 68-year-old man who presented with a slowly enlarging painless pelvic mass. CT scan showed a well-defined, multilobulated, highly vascular pelvic mass with dense calcifications and central hypoatteunating areas arising from the mesentery.

摘要

孤立性纤维瘤是一种罕见的梭形细胞肿瘤,通常起源于胸膜,但在极少数情况下也可发生于头部和颈部、胃和腹膜后等其他部位。关于这些肿瘤在胸膜外部位(如肠系膜)的影像学表现,仅有少数报道。我们报告了一例罕见的 68 岁男性孤立性纤维瘤的计算机断层扫描(CT)影像学表现,该患者表现为逐渐增大的无痛性盆腔肿块。CT 扫描显示一个边界清楚、多叶状、高度血管化的盆腔肿块,伴有致密的钙化和源于肠系膜的中央低衰减区。

https://cdn.ncbi.nlm.nih.gov/pmc/blobs/6dbb/2779995/1c721c0caf12/ci09001401.jpg

文献AI研究员

20分钟写一篇综述,助力文献阅读效率提升50倍。

立即体验

用中文搜PubMed

大模型驱动的PubMed中文搜索引擎

马上搜索

文档翻译

学术文献翻译模型,支持多种主流文档格式。

立即体验