• 文献检索
  • 文档翻译
  • 深度研究
  • 学术资讯
  • Suppr Zotero 插件Zotero 插件
  • 邀请有礼
  • 套餐&价格
  • 历史记录
应用&插件
Suppr Zotero 插件Zotero 插件浏览器插件Mac 客户端Windows 客户端微信小程序
定价
高级版会员购买积分包购买API积分包
服务
文献检索文档翻译深度研究API 文档MCP 服务
关于我们
关于 Suppr公司介绍联系我们用户协议隐私条款
关注我们

Suppr 超能文献

核心技术专利:CN118964589B侵权必究
粤ICP备2023148730 号-1Suppr @ 2026

文献检索

告别复杂PubMed语法,用中文像聊天一样搜索,搜遍4000万医学文献。AI智能推荐,让科研检索更轻松。

立即免费搜索

文件翻译

保留排版,准确专业,支持PDF/Word/PPT等文件格式,支持 12+语言互译。

免费翻译文档

深度研究

AI帮你快速写综述,25分钟生成高质量综述,智能提取关键信息,辅助科研写作。

立即免费体验

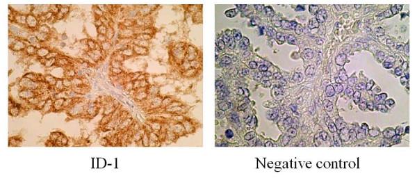
ID-1 蛋白在卵巢癌肿瘤进展中的血管生成中的过表达。

Overexpression of inhibitor of DNA-binding (ID)-1 protein related to angiogenesis in tumor advancement of ovarian cancers.

机构信息

Department of Obstetrics and Gynecology, Graduate School of Medicine, Gifu University School of Medicine, 1-1 Yanagido, Gifu City 501-1194, Japan.

出版信息

BMC Cancer. 2009 Dec 10;9:430. doi: 10.1186/1471-2407-9-430.

DOI:10.1186/1471-2407-9-430
PMID:20003244
原文链接:https://pmc.ncbi.nlm.nih.gov/articles/PMC2796680/
Abstract

BACKGROUND

The inhibitor of DNA-binding (ID) has been involved in cell cycle regulation, apoptosis and angiogenesis. This prompted us to study ID functions in tumor advancement of ovarian cancers.

METHODS

Sixty patients underwent surgery for ovarian cancers. In ovarian cancers, the levels of ID-1, ID-2 and ID-3 mRNAs were determined by real-time reverse transcription-polymerase chain reaction. The histoscore with the localization of ID-1 was determined by immunohistochemistry. Patient prognosis was analyzed with a 36-month survival rate. Microvessel counts were determined by immunohistochemistry for CD34 and factor VIII-related antigen.

RESULTS

ID-1 histoscores and mRNA levels both significantly (p < 0.001) increased in ovarian cancers according to clinical stage, regardless of histopathological type. Furthermore, 30 patients with high ID-1 expression had a lower survival rate (53%) compared to patients with low ID-1 expression (80%). ID-1 histoscores and mRNA levels significantly (p < 0.0001) correlated with microvessel counts in ovarian cancers.

CONCLUSION

ID-1 increased in ovarian cancer cells during tumor progression. Moreover, ID-1 expression levels correlated with microvessel counts. Therefore, ID-1 might work on tumor advancement via angiogenesis and is considered to be a candidate for a prognostic indicator in ovarian cancers.

摘要

背景

DNA 结合抑制因子(ID)参与细胞周期调控、凋亡和血管生成。这促使我们研究 ID 在卵巢癌肿瘤进展中的作用。

方法

60 名接受卵巢癌手术的患者。通过实时逆转录-聚合酶链反应确定卵巢癌中 ID-1、ID-2 和 ID-3 mRNA 的水平。通过免疫组织化学确定 ID-1 的定位组织评分。用 36 个月生存率分析患者预后。通过免疫组织化学用 CD34 和因子 VIII 相关抗原确定微血管计数。

结果

根据临床分期,无论组织病理学类型如何,ID-1 组织评分和 mRNA 水平在卵巢癌中均显著(p < 0.001)升高。此外,30 名高 ID-1 表达的患者的生存率(53%)低于低 ID-1 表达的患者(80%)。ID-1 组织评分和 mRNA 水平与卵巢癌中的微血管计数显著相关(p < 0.0001)。

结论

ID-1 在卵巢癌细胞中随着肿瘤的进展而增加。此外,ID-1 表达水平与微血管计数相关。因此,ID-1 可能通过血管生成作用于肿瘤进展,被认为是卵巢癌预后指标的候选者。

https://cdn.ncbi.nlm.nih.gov/pmc/blobs/1af4/2796680/1878f9eace12/1471-2407-9-430-6.jpg
https://cdn.ncbi.nlm.nih.gov/pmc/blobs/1af4/2796680/7ee6f66c8e74/1471-2407-9-430-1.jpg
https://cdn.ncbi.nlm.nih.gov/pmc/blobs/1af4/2796680/6c14cd24f6c7/1471-2407-9-430-2.jpg
https://cdn.ncbi.nlm.nih.gov/pmc/blobs/1af4/2796680/55f6f8c25f13/1471-2407-9-430-3.jpg
https://cdn.ncbi.nlm.nih.gov/pmc/blobs/1af4/2796680/aec5a5ab64bb/1471-2407-9-430-4.jpg
https://cdn.ncbi.nlm.nih.gov/pmc/blobs/1af4/2796680/6367132dfe5d/1471-2407-9-430-5.jpg
https://cdn.ncbi.nlm.nih.gov/pmc/blobs/1af4/2796680/1878f9eace12/1471-2407-9-430-6.jpg
https://cdn.ncbi.nlm.nih.gov/pmc/blobs/1af4/2796680/7ee6f66c8e74/1471-2407-9-430-1.jpg
https://cdn.ncbi.nlm.nih.gov/pmc/blobs/1af4/2796680/6c14cd24f6c7/1471-2407-9-430-2.jpg
https://cdn.ncbi.nlm.nih.gov/pmc/blobs/1af4/2796680/55f6f8c25f13/1471-2407-9-430-3.jpg
https://cdn.ncbi.nlm.nih.gov/pmc/blobs/1af4/2796680/aec5a5ab64bb/1471-2407-9-430-4.jpg
https://cdn.ncbi.nlm.nih.gov/pmc/blobs/1af4/2796680/6367132dfe5d/1471-2407-9-430-5.jpg
https://cdn.ncbi.nlm.nih.gov/pmc/blobs/1af4/2796680/1878f9eace12/1471-2407-9-430-6.jpg

相似文献

1
Overexpression of inhibitor of DNA-binding (ID)-1 protein related to angiogenesis in tumor advancement of ovarian cancers.ID-1 蛋白在卵巢癌肿瘤进展中的血管生成中的过表达。
BMC Cancer. 2009 Dec 10;9:430. doi: 10.1186/1471-2407-9-430.
2
Expression of the inhibitor of DNA-binding (ID)-1 protein as an angiogenic mediator in tumour advancement of uterine cervical cancers.DNA结合抑制因子(ID)-1蛋白作为血管生成介质在子宫颈癌肿瘤进展中的表达
Br J Cancer. 2008 Nov 18;99(10):1557-63. doi: 10.1038/sj.bjc.6604722. Epub 2008 Oct 28.
3
Role of protease activated receptor-2 in tumor advancement of ovarian cancers.蛋白酶激活受体-2在卵巢癌肿瘤进展中的作用。
Ann Oncol. 2007 Sep;18(9):1506-12. doi: 10.1093/annonc/mdm190.
4
The role of inhibitor of DNA-binding 1 (ID-1) protein and angiogenesis in serous ovarian cancer.抑制 DNA 结合蛋白 1(ID-1)蛋白和血管生成在浆液性卵巢癌中的作用。
Anticancer Res. 2014 Jan;34(1):413-6.
5
Id-1, Id-2, and Id-3 co-expression correlates with prognosis in stage I and II lung adenocarcinoma patients treated with surgery and adjuvant chemotherapy.Id-1、Id-2和Id-3的共表达与接受手术及辅助化疗的Ⅰ期和Ⅱ期肺腺癌患者的预后相关。
Exp Biol Med (Maywood). 2016 Jun;241(11):1159-68. doi: 10.1177/1535370216632623. Epub 2016 Feb 10.
6
Clinical implications of expression of ETS-1 in relation to angiogenesis in ovarian cancers.ETS-1表达与卵巢癌血管生成的临床意义
Cancer Sci. 2003 Sep;94(9):769-73. doi: 10.1111/j.1349-7006.2003.tb01517.x.
7
Level of Id-1 protein expression correlates with poor differentiation, enhanced malignant potential, and more aggressive clinical behavior of epithelial ovarian tumors.Id-1蛋白表达水平与上皮性卵巢肿瘤的低分化、恶性潜能增加及更具侵袭性的临床行为相关。
Clin Cancer Res. 2003 Feb;9(2):779-85.
8
Expression of tumor suppressor gene ING4 in ovarian carcinoma is correlated with microvessel density.抑癌基因 ING4 在卵巢癌中的表达与微血管密度相关。
J Cancer Res Clin Oncol. 2012 Apr;138(4):647-55. doi: 10.1007/s00432-011-1099-5. Epub 2012 Jan 8.
9
Id-1 and Id-2 are markers for metastasis and prognosis in oesophageal squamous cell carcinoma.Id-1和Id-2是食管鳞状细胞癌转移和预后的标志物。
Br J Cancer. 2007 Nov 19;97(10):1409-15. doi: 10.1038/sj.bjc.6604035. Epub 2007 Nov 13.
10
Overexpression of ephrinB2 and EphB4 in tumor advancement of uterine endometrial cancers.EphrinB2和EphB4在子宫内膜癌肿瘤进展中的过表达
Ann Oncol. 2007 Mar;18(3):485-90. doi: 10.1093/annonc/mdl414. Epub 2006 Nov 15.

引用本文的文献

1
Autophagy-mediated ID1 turnover dictates chemo-resistant fate in ovarian cancer stem cells.自噬介导的 ID1 易位决定卵巢癌细胞干细胞的化疗耐药命运。
J Exp Clin Cancer Res. 2024 Aug 10;43(1):222. doi: 10.1186/s13046-024-03147-z.
2
Infection: Their potential implication in the Etiology of Cervical Cancer.感染:它们在宫颈癌病因学中的潜在影响。
J Cancer. 2021 Jun 11;12(16):4891-4900. doi: 10.7150/jca.58582. eCollection 2021.
3
Analysis of Protein-Targeting in the Nucleus of Host Cells and the Implications in Colon Cancer: An in-silico Approach.

本文引用的文献

1
Expression of the inhibitor of DNA-binding (ID)-1 protein as an angiogenic mediator in tumour advancement of uterine cervical cancers.DNA结合抑制因子(ID)-1蛋白作为血管生成介质在子宫颈癌肿瘤进展中的表达
Br J Cancer. 2008 Nov 18;99(10):1557-63. doi: 10.1038/sj.bjc.6604722. Epub 2008 Oct 28.
2
Id-1 and Id-2 are markers for metastasis and prognosis in oesophageal squamous cell carcinoma.Id-1和Id-2是食管鳞状细胞癌转移和预后的标志物。
Br J Cancer. 2007 Nov 19;97(10):1409-15. doi: 10.1038/sj.bjc.6604035. Epub 2007 Nov 13.
3
Inhibitor of DNA binding 1 activates vascular endothelial growth factor through enhancing the stability and activity of hypoxia-inducible factor-1alpha.
宿主细胞核中蛋白质靶向作用分析及其在结肠癌中的意义:一种计算机模拟方法
Infect Drug Resist. 2020 Jul 20;13:2433-2442. doi: 10.2147/IDR.S258037. eCollection 2020.
4
Inhibitor of DNA binding proteins: implications in human cancer progression and metastasis.DNA结合蛋白抑制剂:对人类癌症进展和转移的影响
Am J Transl Res. 2018 Dec 15;10(12):3887-3910. eCollection 2018.
5
Uterine double-conditional inactivation of and in mice causes endometrial dysregulation, infertility, and uterine cancer.小鼠子宫中 和 的双重条件性缺失导致子宫内膜失调、不孕和子宫癌。
Proc Natl Acad Sci U S A. 2019 Feb 26;116(9):3873-3882. doi: 10.1073/pnas.1806862116. Epub 2019 Jan 16.
6
[Relationship between ID1 and EGFR-TKI Resistance 
in Non-small Cell Lung Cancer].[非小细胞肺癌中ID1与表皮生长因子受体酪氨酸激酶抑制剂耐药性的关系]
Zhongguo Fei Ai Za Zhi. 2016 Dec 20;19(12):864-870. doi: 10.3779/j.issn.1009-3419.2016.12.10.
7
Epigenetic regulation of transcription factor promoter regions by low-dose genistein through mitogen-activated protein kinase and mitogen-and-stress activated kinase 1 nongenomic signaling.低剂量染料木黄酮通过丝裂原活化蛋白激酶和丝裂原及应激激活激酶1非基因组信号通路对转录因子启动子区域进行表观遗传调控。
Cell Commun Signal. 2016 Aug 31;14(1):18. doi: 10.1186/s12964-016-0141-2.
8
Computational prediction of Mycoplasma hominis proteins targeting in nucleus of host cell and their implication in prostate cancer etiology.人型支原体蛋白靶向宿主细胞核的计算预测及其在前列腺癌病因学中的意义。
Tumour Biol. 2016 Aug;37(8):10805-13. doi: 10.1007/s13277-016-4970-9. Epub 2016 Feb 13.
9
Effects of upregulation of Id3 in human lung adenocarcinoma cells on proliferation, apoptosis, mobility and tumorigenicity.人肺腺癌细胞中Id3上调对增殖、凋亡、迁移及致瘤性的影响
Cancer Gene Ther. 2015 Sep;22(9):431-7. doi: 10.1038/cgt.2015.38. Epub 2015 Sep 18.
10
Effects of suberoylanilide hydroxamic acid (SAHA) combined with paclitaxel (PTX) on paclitaxel-resistant ovarian cancer cells and insights into the underlying mechanisms.亚油酸酰苯胺羟肟酸(SAHA)联合紫杉醇(PTX)对紫杉醇耐药卵巢癌细胞的影响及作用机制探讨。
Cancer Cell Int. 2014 Nov 26;14(1):112. doi: 10.1186/s12935-014-0112-x. eCollection 2014.
DNA结合抑制因子1通过增强缺氧诱导因子-1α的稳定性和活性来激活血管内皮生长因子。
Mol Cancer Res. 2007 Apr;5(4):321-9. doi: 10.1158/1541-7786.MCR-06-0218.
4
Plausible linkage of hypoxia inducible factor-1alpha in uterine cervical cancer.缺氧诱导因子-1α在子宫颈癌中的可能联系。
Cancer Sci. 2006 Sep;97(9):861-7. doi: 10.1111/j.1349-7006.2006.00262.x. Epub 2006 Jun 29.
5
Id proteins expression in prostate cancer: high-level expression of Id-4 in primary prostate cancer is associated with development of metastases.Id蛋白在前列腺癌中的表达:原发性前列腺癌中Id-4的高水平表达与转移的发生相关。
Mod Pathol. 2006 Jul;19(7):931-41. doi: 10.1038/modpathol.3800602. Epub 2006 Mar 31.
6
Id-1 overexpression in invasive ductal carcinoma cells is significantly associated with intratumoral microvessel density in ER-negative/node-positive breast cancer.浸润性导管癌细胞中Id-1的过表达与雌激素受体阴性/淋巴结阳性乳腺癌的瘤内微血管密度显著相关。
Cancer Lett. 2006 Dec 8;244(2):203-10. doi: 10.1016/j.canlet.2005.12.016. Epub 2006 Feb 8.
7
Inactivation of Id-1 in prostate cancer cells: A potential therapeutic target in inducing chemosensitization to taxol through activation of JNK pathway.前列腺癌细胞中Id-1的失活:通过激活JNK途径诱导对紫杉醇的化学增敏作用的潜在治疗靶点。
Int J Cancer. 2006 Apr 15;118(8):2072-81. doi: 10.1002/ijc.21592.
8
Targeting Id1 and Id3 inhibits peritoneal metastasis of gastric cancer.靶向Id1和Id3可抑制胃癌的腹膜转移。
Cancer Sci. 2005 Nov;96(11):784-90. doi: 10.1111/j.1349-7006.2005.00113.x.
9
Id-1 gene downregulation by sulindac sulfide and its upregulation during tumor development in gastric cancer.舒林酸硫化物对Id-1基因的下调作用及其在胃癌肿瘤发展过程中的上调作用。
Int J Cancer. 2006 Mar 15;118(6):1356-63. doi: 10.1002/ijc.21503.
10
Id family of helix-loop-helix proteins in cancer.癌症中螺旋-环-螺旋蛋白的Id家族。
Nat Rev Cancer. 2005 Aug;5(8):603-14. doi: 10.1038/nrc1673.