• 文献检索
  • 文档翻译
  • 深度研究
  • 学术资讯
  • Suppr Zotero 插件Zotero 插件
  • 邀请有礼
  • 套餐&价格
  • 历史记录
应用&插件
Suppr Zotero 插件Zotero 插件浏览器插件Mac 客户端Windows 客户端微信小程序
定价
高级版会员购买积分包购买API积分包
服务
文献检索文档翻译深度研究API 文档MCP 服务
关于我们
关于 Suppr公司介绍联系我们用户协议隐私条款
关注我们

Suppr 超能文献

核心技术专利:CN118964589B侵权必究
粤ICP备2023148730 号-1Suppr @ 2026

文献检索

告别复杂PubMed语法,用中文像聊天一样搜索,搜遍4000万医学文献。AI智能推荐,让科研检索更轻松。

立即免费搜索

文件翻译

保留排版,准确专业,支持PDF/Word/PPT等文件格式,支持 12+语言互译。

免费翻译文档

深度研究

AI帮你快速写综述,25分钟生成高质量综述,智能提取关键信息,辅助科研写作。

立即免费体验

成人非手术治疗儿童特发性脊柱侧弯的逆转:一例报告及文献综述

Reversal of childhood idiopathic scoliosis in an adult, without surgery: a case report and literature review.

作者信息

Brooks William J, Krupinski Elizabeth A, Hawes Martha C

机构信息

Restorative Care Foundation, Kansas City, MO 64152, USA.

出版信息

Scoliosis. 2009 Dec 15;4:27. doi: 10.1186/1748-7161-4-27.

DOI:10.1186/1748-7161-4-27
PMID:20003501
原文链接:https://pmc.ncbi.nlm.nih.gov/articles/PMC2808297/
Abstract

BACKGROUND

Some patients with mild or moderate thoracic scoliosis (Cobb angle <50-60 degrees) suffer disproportionate impairment of pulmonary function associated with deformities in the sagittal plane and reduced flexibility of the spine and chest cage. Long-term improvement in the clinical signs and symptoms of childhood onset scoliosis in an adult, without surgical intervention, has not been documented previously.

CASE PRESENTATION

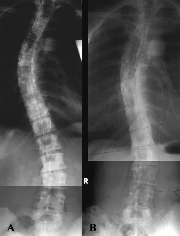
A diagnosis of thoracic scoliosis (Cobb angle 45 degrees) with pectus excavatum and thoracic hypokyphosis in a female patient (DOB 9/17/52) was made in June 1964. Immediate spinal fusion was strongly recommended, but the patient elected a daily home exercise program taught during a 6-week period of training by a physical therapist. This regime was carried out through 1992, with daily aerobic exercise added in 1974. The Cobb angle of the primary thoracic curvature remained unchanged. Ongoing clinical symptoms included dyspnea at rest and recurrent respiratory infections. A period of multimodal treatment with clinical monitoring and treatment by an osteopathic physician was initiated when the patient was 40 years old. This included deep tissue massage (1992-1996); outpatient psychological therapy (1992-1993); a daily home exercise program focused on mobilization of the chest wall (1992-2005); and manipulative medicine (1994-1995, 1999-2000). Progressive improvement in chest wall excursion, increased thoracic kyphosis, and resolution of long-standing respiratory symptoms occurred concomitant with a >10 degree decrease in Cobb angle magnitude of the primary thoracic curvature.

CONCLUSION

This report documents improved chest wall function and resolution of respiratory symptoms in response to nonsurgical approaches in an adult female, diagnosed at age eleven years with idiopathic scoliosis.

摘要

背景

一些轻度或中度胸段脊柱侧弯(Cobb角<50 - 60度)的患者,其肺功能受损程度与矢状面畸形以及脊柱和胸廓灵活性降低不成比例。此前尚无关于成年后儿童期起病的脊柱侧弯临床体征和症状在无手术干预情况下长期改善的记录。

病例介绍

1964年6月,一名女性患者(出生日期:1952年9月17日)被诊断为胸段脊柱侧弯(Cobb角45度),伴有漏斗胸和胸段脊柱后凸减小。强烈建议立即进行脊柱融合手术,但患者选择了由物理治疗师在为期6周的训练期间教授的每日家庭锻炼计划。该方案一直执行到1992年,1974年增加了每日有氧运动。胸段主弯的Cobb角保持不变。持续的临床症状包括静息时呼吸困难和反复呼吸道感染。患者40岁时开始了一段由整骨医生进行临床监测和治疗的多模式治疗期。这包括深层组织按摩(1992 - 1996年);门诊心理治疗(1992 - 1993年);以胸壁活动为重点的每日家庭锻炼计划(1992 - 2005年);以及手法医学治疗(1994 - 1995年,1999 - 2000年)。胸壁活动度逐渐改善、胸段脊柱后凸增加以及长期呼吸道症状的缓解与胸段主弯Cobb角大小降低超过10度同时出现。

结论

本报告记录了一名11岁时被诊断为特发性脊柱侧弯的成年女性,通过非手术方法使胸壁功能得到改善以及呼吸道症状得到缓解。

https://cdn.ncbi.nlm.nih.gov/pmc/blobs/f2c8/2808297/8934fbb5499e/1748-7161-4-27-4.jpg
https://cdn.ncbi.nlm.nih.gov/pmc/blobs/f2c8/2808297/8d4c051640ae/1748-7161-4-27-1.jpg
https://cdn.ncbi.nlm.nih.gov/pmc/blobs/f2c8/2808297/466fa993b8ef/1748-7161-4-27-2.jpg
https://cdn.ncbi.nlm.nih.gov/pmc/blobs/f2c8/2808297/ca06a734202b/1748-7161-4-27-3.jpg
https://cdn.ncbi.nlm.nih.gov/pmc/blobs/f2c8/2808297/8934fbb5499e/1748-7161-4-27-4.jpg
https://cdn.ncbi.nlm.nih.gov/pmc/blobs/f2c8/2808297/8d4c051640ae/1748-7161-4-27-1.jpg
https://cdn.ncbi.nlm.nih.gov/pmc/blobs/f2c8/2808297/466fa993b8ef/1748-7161-4-27-2.jpg
https://cdn.ncbi.nlm.nih.gov/pmc/blobs/f2c8/2808297/ca06a734202b/1748-7161-4-27-3.jpg
https://cdn.ncbi.nlm.nih.gov/pmc/blobs/f2c8/2808297/8934fbb5499e/1748-7161-4-27-4.jpg

相似文献

1
Reversal of childhood idiopathic scoliosis in an adult, without surgery: a case report and literature review.成人非手术治疗儿童特发性脊柱侧弯的逆转:一例报告及文献综述
Scoliosis. 2009 Dec 15;4:27. doi: 10.1186/1748-7161-4-27.
2
The effectiveness of selective thoracic fusion for treating adolescent idiopathic scoliosis: a systematic review protocol.选择性胸椎融合术治疗青少年特发性脊柱侧凸的有效性:一项系统评价方案
JBI Database System Rev Implement Rep. 2015 Nov;13(11):4-16. doi: 10.11124/jbisrir-2015-2338.
3
4
Comparison of spinal curvature parameters as determined by the ZEBRIS spine examination method and the Cobb method in children with scoliosis.ZEBRIS 脊柱检查法与 Cobb 法测量脊柱侧弯患儿脊柱曲度参数的比较。
PLoS One. 2018 Jul 9;13(7):e0200245. doi: 10.1371/journal.pone.0200245. eCollection 2018.
5
Clinical evaluation of the anterior chest wall deformity in thoracic adolescent idiopathic scoliosis.胸段青少年特发性脊柱侧凸患者前胸壁畸形的临床评估
Spine (Phila Pa 1976). 2012 Apr 20;37(9):E540-8. doi: 10.1097/BRS.0b013e31823a05e6.
6
Scoliosis after pectus excavatum correction: does it improve or worsen?漏斗胸矫正术后脊柱侧凸:是改善还是恶化?
Eur J Cardiothorac Surg. 2017 Jul 1;52(1):76-82. doi: 10.1093/ejcts/ezx041.
7
Pediatric cervical kyphosis in the MRI era (1984-2008) with long-term follow up: literature review.MRI 时代(1984-2008 年)的儿童颈椎后凸:文献回顾。
Childs Nerv Syst. 2022 Feb;38(2):361-377. doi: 10.1007/s00381-021-05409-z. Epub 2021 Nov 22.
8
Evaluation of thoracic factors after scoliosis surgery in patients with both scoliosis and pectus excavatum.脊柱侧弯合并漏斗胸患者脊柱侧弯手术后胸部因素的评估。
Eur Spine J. 2018 Feb;27(2):381-387. doi: 10.1007/s00586-016-4753-4. Epub 2016 Aug 27.
9
Quality of Life Among Patients with Early-Onset Scoliosis Treated with Magnetically Controlled Growing Rods-Early-Term Results.早发性脊柱侧凸患者使用磁力可控生长棒治疗后的生活质量:早期结果。
World Neurosurg. 2021 Nov;155:e522-e528. doi: 10.1016/j.wneu.2021.08.096. Epub 2021 Aug 28.
10
A 10-Year Radiographic Study Comparing Anterior Versus Posterior Instrumented Spinal Fusion in Patients With Lenke Type 5 Adolescent Idiopathic Scoliosis.一项比较 Lenke 型 5 型青少年特发性脊柱侧凸患者前路与后路器械性脊柱融合的 10 年影像学研究。
Spine (Phila Pa 1976). 2020 May 1;45(9):612-620. doi: 10.1097/BRS.0000000000003331.

引用本文的文献

1
Clinical evaluation of the effectiveness of a new orthotic device for the non-operative treatment of scoliosis.临床评估一种新矫形装置在非手术治疗脊柱侧凸中的有效性。
Technol Health Care. 2020;28(S1):229-236. doi: 10.3233/THC-209023.
2
The Role of Vitamin D in the Pathogenesis of Adolescent Idiopathic Scoliosis.维生素D在青少年特发性脊柱侧凸发病机制中的作用
Asian Spine J. 2018 Dec;12(6):1127-1145. doi: 10.31616/asj.2018.12.6.1127. Epub 2018 Oct 16.
3
Relief of exertional dyspnea and spinal pains by increasing the thoracic kyphosis in straight back syndrome (thoracic hypo-kyphosis) using CBP methods: a case report with long-term follow-up.

本文引用的文献

1
Growth plate mechanics and mechanobiology. A survey of present understanding.生长板力学与机械生物学。当前认识概述。
J Biomech. 2009 Aug 25;42(12):1793-803. doi: 10.1016/j.jbiomech.2009.05.021. Epub 2009 Jun 21.
2
Genetic linkage localizes an adolescent idiopathic scoliosis and pectus excavatum gene to chromosome 18 q.基因连锁将青少年特发性脊柱侧凸和漏斗胸基因定位到18号染色体长臂。
Spine (Phila Pa 1976). 2009 Jan 15;34(2):E94-100. doi: 10.1097/BRS.0b013e31818b88a5.
3
Adult scoliosis can be reduced through specific SEAS exercises: a case report.
采用脊椎矫正疗法(CBP)增加直背综合征(胸椎后凸不足)患者的胸椎后凸角度以缓解劳力性呼吸困难和脊柱疼痛:一项长期随访的病例报告
J Phys Ther Sci. 2018 Jan;30(1):185-189. doi: 10.1589/jpts.30.185. Epub 2018 Jan 27.
4
Nonsurgical correction of straight back syndrome (thoracic hypokyphosis), increased lung capacity and resolution of exertional dyspnea by thoracic hyperkyphosis mirror image traction: a CBP case report.通过胸椎后凸镜像牵引非手术矫正直背综合征(胸椎后凸减少)、增加肺容量并缓解劳力性呼吸困难:一例脊椎矫正整复疗法病例报告
J Phys Ther Sci. 2017 Nov;29(11):2058-2061. doi: 10.1589/jpts.29.2058. Epub 2017 Nov 24.
5
Severe progressive scoliosis in an adult female possibly secondary thoracic surgery in childhood treated with scoliosis specific Schroth physiotherapy: Case presentation.一名成年女性的严重进行性脊柱侧弯,可能继发于儿童时期的胸外科手术,采用脊柱侧弯特异性施罗斯物理治疗:病例报告。
Scoliosis Spinal Disord. 2016 Oct 17;11(Suppl 2):41. doi: 10.1186/s13013-016-0098-3. eCollection 2016.
6
Effects of the Schroth exercise on the Cobb's angle and vital capacity of patients with idiopathic scoliosis that is an operative indication.施罗斯疗法对具有手术指征的特发性脊柱侧凸患者的Cobb角和肺活量的影响。
J Phys Ther Sci. 2016 Mar;28(3):923-6. doi: 10.1589/jpts.28.923. Epub 2016 Mar 31.
7
Adults with idiopathic scoliosis improve disability after motor and cognitive rehabilitation: results of a randomised controlled trial.特发性脊柱侧凸成人患者经运动和认知康复后残疾状况得到改善:一项随机对照试验的结果
Eur Spine J. 2016 Oct;25(10):3120-3129. doi: 10.1007/s00586-016-4528-y. Epub 2016 Mar 25.
8
Scoliosis-Specific exercises can reduce the progression of severe curves in adult idiopathic scoliosis: a long-term cohort study.脊柱侧弯特定运动可减少成人特发性脊柱侧弯严重曲线的进展:一项长期队列研究。
Scoliosis. 2015 Jul 11;10:20. doi: 10.1186/s13013-015-0044-9. eCollection 2015.
9
Sagittal balance of thoracic lordoscoliosis: anterior dual rod instrumentation versus posterior pedicle screw fixation.胸腰椎后凸畸形的矢状位平衡:前路双棒内固定与后路椎弓根螺钉固定。
Eur Spine J. 2011 Jul;20(7):1118-26. doi: 10.1007/s00586-011-1784-8. Epub 2011 Apr 6.
成人脊柱侧弯可通过特定的SEAS运动得到改善:一例病例报告。
Scoliosis. 2008 Dec 16;3:20. doi: 10.1186/1748-7161-3-20.
4
The effect of myofascial release (MFR) on an adult with idiopathic scoliosis.肌筋膜放松术(MFR)对一名特发性脊柱侧弯成年患者的影响。
J Bodyw Mov Ther. 2008 Oct;12(4):356-63. doi: 10.1016/j.jbmt.2008.03.008. Epub 2008 Jun 4.
5
Observer reliability between juvenile and adolescent idiopathic scoliosis in measurement of stable Cobb's angle.青少年特发性脊柱侧凸与幼年特发性脊柱侧凸在测量稳定Cobb角时的观察者可靠性。
Eur Spine J. 2009 Jan;18(1):52-8. doi: 10.1007/s00586-008-0834-3. Epub 2008 Nov 27.
6
Kyphoscoliosis improvement while treating a patient for adhesive capsulitis using the active therapeutic movement version 2.
J Manipulative Physiol Ther. 2008 Nov-Dec;31(9):715-22. doi: 10.1016/j.jmpt.2008.10.003.
7
Integrated physical therapy intervention for a person with pectus excavatum and bilateral shoulder pain: a single-case study.针对一名漏斗胸合并双侧肩部疼痛患者的综合物理治疗干预:一项单病例研究。
Arch Phys Med Rehabil. 2008 Nov;89(11):2195-204. doi: 10.1016/j.apmr.2008.04.014.
8
Knowledge about idiopathic scoliosis among students of physiotherapy.物理治疗专业学生对特发性脊柱侧弯的了解。
Stud Health Technol Inform. 2008;140:281-5.
9
Adolescent idiopathic scoliosis treated by spinal manipulation: a case study.手法治疗青少年特发性脊柱侧弯:一例病例报告
J Altern Complement Med. 2008 Jul;14(6):749-51. doi: 10.1089/acm.2008.0054.
10
A century of spine surgery: what can patients expect?脊柱外科百年:患者能期待什么?
Disabil Rehabil. 2008;30(10):808-17. doi: 10.1080/09638280801889972.