Suppr超能文献

表现为难治性社区获得性肺炎的类脂性肺炎:一例报告

Lipoid pneumonia presenting as non resolving community acquired pneumonia: a case report.

作者信息

Hadda Vijay, Khilnani Gopi C, Bhalla Ashu S, Mathur Sandeep

机构信息

Department of Medicine, All India Institute of Medical Sciences, New Delhi, 110029, India.

出版信息

Cases J. 2009 Dec 16;2:9332. doi: 10.1186/1757-1626-2-9332.

Abstract

INTRODUCTION

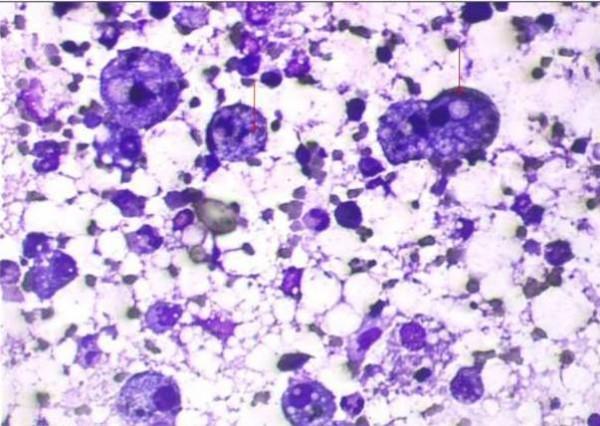
Lipoid pneumonia is a rare form of pneumonia caused by inhalation or aspiration of fat containing substances like, petroleum jelly, mineral oils, few laxatives etc. It usually presents as insidious onset chronic respiratory illness simulating interstitial lung diseases. Rarely, it may present as an acute respiratory illness, specially, when exposure to fatty substance is acute and/or massive. Radiologically, it may mimic carcinoma, acute or chronic pneumonia, ARDS, or a localized granuloma. Diagnosis of LP requires demonstration of lipid laden macrophages in sputum, bronchoalveolar lavage fluid or fine needle aspiration cytology/biopsy from lung lesion. Treatment of this illness is poorly defined and constitutes supportive therapy and corticosteroids.

CASE PRESENTATION

A 20-year old Indian farmer was referred to us with a diagnosis of non resolving community acquired pneumonia. Respiratory examination revealed signs of consolidation. Chest radiograph revealed findings suggestive of bilateral consolidation. Sputum and blood culture were sterile. He was treated with prolonged course of various antibiotics without any significant response. For evaluation of non resolving pneumonia fibreoptic bronchoscopy was done. Bronchoalveolar lavage fluid and biopsy from lung lesion showed lipid laden macrophages. Hence diagnosis of lipoid pneumonia was made. Patient was treated with course of corticosteroids with good response. Literature on this rare entity is discussed.

CONCLUSION

Lipoid pneumonia is a rare form of pneumonia which rarely present acutely resembling community acquired pneumonia and requires high degree of suspicion for diagnosis. Its treatment is difficult and poorly defined. However, prolonged corticosteroids may be effective.

摘要

引言

类脂性肺炎是一种罕见的肺炎形式,由吸入或误吸含脂肪物质(如凡士林、矿物油、少数泻药等)引起。它通常表现为隐匿起病的慢性呼吸道疾病,类似间质性肺疾病。极少情况下,它可能表现为急性呼吸道疾病,特别是在急性和/或大量接触脂肪物质时。在放射学上,它可能类似癌症、急性或慢性肺炎、急性呼吸窘迫综合征或局限性肉芽肿。类脂性肺炎的诊断需要在痰液、支气管肺泡灌洗液或肺病变的细针穿刺细胞学检查/活检中发现含脂质巨噬细胞。这种疾病的治疗方法尚不明确,主要包括支持治疗和使用皮质类固醇。

病例报告

一名20岁的印度农民因诊断为难治性社区获得性肺炎被转诊至我院。呼吸检查发现实变体征。胸部X线片显示双侧实变的迹象。痰液和血培养均无菌。他接受了多种抗生素的长期治疗,但没有任何明显效果。为评估难治性肺炎,进行了纤维支气管镜检查。支气管肺泡灌洗液和肺病变活检显示含脂质巨噬细胞。因此,诊断为类脂性肺炎。患者接受了皮质类固醇治疗,效果良好。本文讨论了关于这个罕见疾病的文献。

结论

类脂性肺炎是一种罕见的肺炎形式,很少急性发作,类似社区获得性肺炎,诊断需要高度怀疑。其治疗困难且尚不明确。然而,长期使用皮质类固醇可能有效。

https://cdn.ncbi.nlm.nih.gov/pmc/blobs/583e/2803992/43283d9226c7/1757-1626-2-9332-1.jpg

文献AI研究员

20分钟写一篇综述,助力文献阅读效率提升50倍。

立即体验

用中文搜PubMed

大模型驱动的PubMed中文搜索引擎

马上搜索

文档翻译

学术文献翻译模型,支持多种主流文档格式。

立即体验