Suppr超能文献

正常血脂性结节性黄瘤

Normolipemic tuberous xanthomas.

作者信息

Singh Ajay Pal, Sikarwar Shilpi, Jatav O P, Saify Khozema

机构信息

Department of Medicine, G.R. Medical College, Gwalior - 474 009, MP, India.

出版信息

Indian J Dermatol. 2009;54(2):176-9. doi: 10.4103/0019-5154.53190.

Abstract

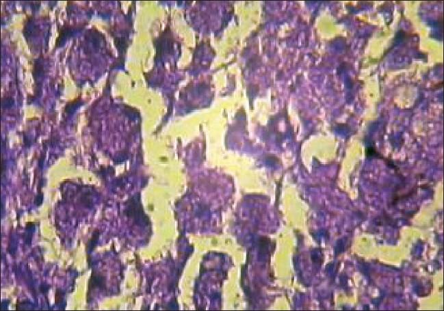
Xanthomas are often a manifestation of underlying lipid abnormalities. A 50-year-old male presented to our hospital with the lesions of multiple tuberous xanthomas all over the body. Routine investigations and systemic examination were normal. Lipid profile was within normal range and serum protein electrophoresis showed normal pattern. Histopathology from a nodular lesion showed collection of foamy macrophages in the dermis. We present a case of normolipemic tuberous xanthomas, which is an uncommon occurrence.

摘要

黄瘤通常是潜在脂质异常的一种表现。一名50岁男性因全身多处结节性黄瘤病变前来我院就诊。常规检查和全身检查均正常。血脂谱在正常范围内,血清蛋白电泳显示正常模式。结节性病变的组织病理学检查显示真皮内有泡沫状巨噬细胞聚集。我们报告一例血脂正常的结节性黄瘤病例,这种情况并不常见。

https://cdn.ncbi.nlm.nih.gov/pmc/blobs/5244/2807159/ecf504ae1fa7/IJD-54-176-g001.jpg

文献检索

告别复杂PubMed语法,用中文像聊天一样搜索,搜遍4000万医学文献。AI智能推荐,让科研检索更轻松。

立即免费搜索

文件翻译

保留排版,准确专业,支持PDF/Word/PPT等文件格式,支持 12+语言互译。

免费翻译文档

深度研究

AI帮你快速写综述,25分钟生成高质量综述,智能提取关键信息,辅助科研写作。

立即免费体验