Suppr超能文献

肌内和内脏脂肪衍生祖细胞再分化的细胞和分子比较。

Cellular and molecular comparison of redifferentiation of intramuscular- and visceral-adipocyte derived progeny cells.

机构信息

College of Animal Science and Technology, Nanjing Agricultural University, Nanjing 210095, China.

出版信息

Int J Biol Sci. 2010 Jan 21;6(1):80-8. doi: 10.7150/ijbs.6.80.

Abstract

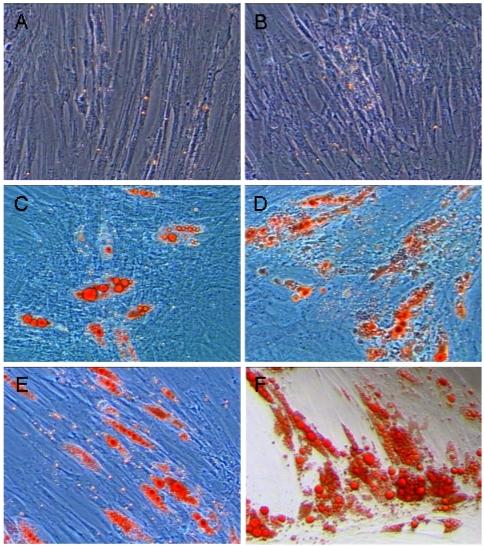
In the present study, mature adipocytes from pig-derived visceral and intramuscular adipose depots were isolated, purified, and allowed to undergo dedifferentiation and redifferentiation in vitro. During the redifferentiation process at days 1, 2, 4, 6, and 8, we observed that both visceral- and intramuscular adipose-derived progeny cells possessed a similar capacity to accumulate lipid. However, at days 10, 12, 14, and 16, the latter progeny cells accumulated lipid much faster--the content almost doubled at day 16 (P < 0.05). Such faster potential of lipid accumulation in the intramuscular adipose-derived progeny cells was then supported by higher expressions of CCAAT/enhancer binding protein-alpha (CEBP-alpha) and peroxisome proliferator-activated receptor-gamma (PPAR-gamma) at all these nine time points, and diacylglycerol O-acyltransferase homolog 1 (DGAT1), fatty acid binding protein 4 (FABP4) and fatty acid synthase (FASN) at some time points (P < 0.05). These preliminary data suggest that adipose depot differences exist with respect to ability of purified cells of the adipose lineage to redifferentiate and form viable lipid-assimilating cells in vitro. Therefore, our present study might provide a foundation to develop tools for biomedical and agricultural applications, as well as to determine the regulation of depot-specific cells of the adipose lineage. Further studies with more animals will validate and expand our results.

摘要

在本研究中,我们从猪的内脏和肌肉脂肪组织中分离、纯化了成熟脂肪细胞,并允许它们在体外经历去分化和再分化。在再分化过程的第 1、2、4、6 和 8 天,我们观察到内脏和肌肉脂肪来源的祖细胞都具有相似的积累脂质的能力。然而,在第 10、12、14 和 16 天,后者的祖细胞积累脂质的速度更快——在第 16 天几乎增加了一倍(P<0.05)。这种在肌肉脂肪来源的祖细胞中更快的脂质积累潜力随后得到了更高的 CCAAT/增强子结合蛋白-α(CEBP-α)和过氧化物酶体增殖物激活受体-γ(PPAR-γ)表达的支持,在这九个时间点都表达了更高的水平,并且在某些时间点还表达了二酰基甘油 O-酰基转移酶同源物 1(DGAT1)、脂肪酸结合蛋白 4(FABP4)和脂肪酸合酶(FASN)(P<0.05)。这些初步数据表明,脂肪组织库之间存在差异,涉及到脂肪谱系的纯化细胞重新分化并在体外形成可行的脂质摄取细胞的能力。因此,我们的研究为开发用于生物医学和农业应用的工具以及确定脂肪谱系特定库细胞的调节提供了基础。进一步的研究将用更多的动物来验证和扩展我们的结果。

https://cdn.ncbi.nlm.nih.gov/pmc/blobs/900f/2815353/62df468f6231/ijbsv06p0080g01.jpg

文献检索

告别复杂PubMed语法,用中文像聊天一样搜索,搜遍4000万医学文献。AI智能推荐,让科研检索更轻松。

立即免费搜索

文件翻译

保留排版,准确专业,支持PDF/Word/PPT等文件格式,支持 12+语言互译。

免费翻译文档

深度研究

AI帮你快速写综述,25分钟生成高质量综述,智能提取关键信息,辅助科研写作。

立即免费体验