Suppr超能文献

附着于胆囊壁的异位肝组织:一例报告

Ectopic Liver Tissue Attached to the Gallbladder Wall: a case report.

作者信息

Triantafyllidis Ioannis, Papapavlou Leonidas, Nikoloudis Nikolaos, Economou Athanasios, Andreadis Efstathios, Chrissidou Maria, Georgakis Konstantinos, Chrissidis Thomas

机构信息

Department of General Surgery, Edessa General Hospital, End of Egnatia str, 58200 Edessa, Greece.

出版信息

Cases J. 2009 Apr 29;2:6786. doi: 10.1186/1757-1626-2-6786.

Abstract

INTRODUCTION

Ectopic liver tissue is a rare entity, reported to occur in several intra-, retro- and extra- peritoneal sites, including the gallbladder. It is usually detected incidentally, during laparoscopy, laparotomy, or autopsy. Several possible mechanisms may explain the development of liver ectopia. Although ectopic liver tissue is usually asymptomatic, it behaves like orthotopic liver, developing the same pathologic conditions.

CASE PRESENTATION

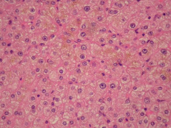
We describe the case of a 54-year-old woman who was found to have a nodule attached to the gallbladder wall without any connection with the main liver, during an elective laparoscopic cholecystectomy for gallstone disease. The nodule was removed with the gallbladder and identified histologically as normal ectopic liver tissue.

CONCLUSION

It would seem sensible to resect the ectopic tissue if encountered during cholecystectomy for gallstones. Laparoscopic management of ectopic liver can be feasible.

摘要

引言

异位肝组织是一种罕见的情况,据报道可发生于多个腹腔内、腹膜后及腹膜外部位,包括胆囊。它通常在腹腔镜检查、剖腹手术或尸检时偶然被发现。有几种可能的机制可以解释肝异位的发生。尽管异位肝组织通常无症状,但它的表现与原位肝相似,会发生相同的病理状况。

病例报告

我们描述了一名54岁女性的病例,该患者在因胆结石疾病接受择期腹腔镜胆囊切除术时,发现胆囊壁上附着一个与主肝无任何连接的结节。该结节与胆囊一并切除,经组织学鉴定为正常异位肝组织。

结论

在因胆结石进行胆囊切除术时,如果遇到异位组织,将其切除似乎是合理的。腹腔镜处理异位肝可能是可行的。

https://cdn.ncbi.nlm.nih.gov/pmc/blobs/5d83/2814219/2f2b13374d12/1757-1626-0002-0000006786-1.jpg

相似文献

1
Ectopic Liver Tissue Attached to the Gallbladder Wall: a case report.
Cases J. 2009 Apr 29;2:6786. doi: 10.1186/1757-1626-2-6786.
2
Two cases of ectopic liver attached to the gallbladder wall.
HPB (Oxford). 2002;4(4):191-4. doi: 10.1080/13651820260503873.
3
Ectopic liver (choristoma) associated with the gallbladder encountered during laparoscopic cholecystectomy: a case report.
Surg Endosc. 2002 Jul;16(7):1106. doi: 10.1007/s00464-001-4251-5. Epub 2002 May 7.
4
Gallbladder-associated ectopic liver: A rare finding during a laparoscopic cholecystectomy.
Int J Surg Case Rep. 2013;4(3):312-5. doi: 10.1016/j.ijscr.2013.01.006. Epub 2013 Jan 19.
5
Ectopic Liver Tissue Encountered Incidentally During a Laparoscopic Cholecystectomy: A Case Report.
Cureus. 2023 Jul 20;15(7):e42220. doi: 10.7759/cureus.42220. eCollection 2023 Jul.
6
Ectopic liver tissue adherent to the gallbladder serosa: two cases report from Syria.
Ann Med Surg (Lond). 2023 Apr 6;85(5):1881-1884. doi: 10.1097/MS9.0000000000000376. eCollection 2023 May.
7
Ectopic liver tissue in stomach paries: a case report.
Int J Clin Exp Pathol. 2015 Sep 1;8(9):11704-7. eCollection 2015.
9
Case report of ectopic hepatic tissue, a rare finding during a laparoscopic cholecystectomy.
Int J Surg Case Rep. 2020;68:100-103. doi: 10.1016/j.ijscr.2020.01.014. Epub 2020 Jan 23.
10
Gallbladder-associated symptomatic hepatic choristoma: Should you resect?
Int J Surg Case Rep. 2017;41:243-246. doi: 10.1016/j.ijscr.2017.10.044. Epub 2017 Oct 27.

引用本文的文献

1
Incidental detection of ectopic liver tissue during elective cholecystectomy: a case report.
Front Surg. 2025 May 16;12:1565209. doi: 10.3389/fsurg.2025.1565209. eCollection 2025.
2
Ectopic Liver Tissue Encountered Incidentally During a Laparoscopic Cholecystectomy: A Case Report.
Cureus. 2023 Jul 20;15(7):e42220. doi: 10.7759/cureus.42220. eCollection 2023 Jul.
3
Ectopic liver tissue adherent to the gallbladder serosa: two cases report from Syria.
Ann Med Surg (Lond). 2023 Apr 6;85(5):1881-1884. doi: 10.1097/MS9.0000000000000376. eCollection 2023 May.
4
Ectopic liver tissue (choristoma) on the gallbladder: A comprehensive literature review.
World J Gastrointest Surg. 2020 Dec 27;12(12):534-548. doi: 10.4240/wjgs.v12.i12.534.
5
Congenital isolated in-situ liver malrotation: very rare presentation. case report.
Radiol Case Rep. 2020 Aug 19;15(10):1931-1934. doi: 10.1016/j.radcr.2020.07.025. eCollection 2020 Oct.
7
Ectopic liver tissue in the esophagus: A case report.
Medicine (Baltimore). 2019 Apr;98(17):e15260. doi: 10.1097/MD.0000000000015260.
8
A case of ectopic liver tissue adherent to the gallbladder.
J Surg Case Rep. 2018 Jun 20;2018(6):rjy128. doi: 10.1093/jscr/rjy128. eCollection 2018 Jun.
9
A First Report of Synchronous Intracapsular and Extracapsular Hepatic Adenoma.
Case Rep Surg. 2017;2017:9053568. doi: 10.1155/2017/9053568. Epub 2017 Dec 19.
10
Gallbladder-associated symptomatic hepatic choristoma: Should you resect?
Int J Surg Case Rep. 2017;41:243-246. doi: 10.1016/j.ijscr.2017.10.044. Epub 2017 Oct 27.

本文引用的文献

2
Ectopic livers and related pathology: report of three cases of benign lesions.
Dig Dis Sci. 2005 Oct;50(10):1818-22. doi: 10.1007/s10620-005-2944-7.
4
Laparoscopic observations of congenital anomalies of the liver.
Gastrointest Endosc. 1998 Feb;47(2):136-40. doi: 10.1016/s0016-5107(98)70345-1.
5
Malformations of the liver: some prenatal and postnatal developmental aspects.
Clin Anat. 1996;9(5):309-16. doi: 10.1002/(SICI)1098-2353(1996)9:5<309::AID-CA4>3.0.CO;2-7.
6
Ectopic liver simulating a mass in the gallbladder wall: imaging findings.
AJR Am J Roentgenol. 1994 Mar;162(3):647-8. doi: 10.2214/ajr.162.3.8109514.
8
Pyloric obstruction by ectopic liver tissue.
Br J Surg. 1985 Nov;72(11):917. doi: 10.1002/bjs.1800721126.
9
Intra-cholecystic ectopic liver.
Acta Pathol Jpn. 1986 Aug;36(8):1213-6. doi: 10.1111/j.1440-1827.1986.tb02841.x.
10
Symptomatic accessory lobe of the liver associated with hyperthyroidism.
J Pediatr Surg. 1988 Nov;23(11):1055-6. doi: 10.1016/s0022-3468(88)80029-0.

文献AI研究员

20分钟写一篇综述,助力文献阅读效率提升50倍。

立即体验

用中文搜PubMed

大模型驱动的PubMed中文搜索引擎

马上搜索

文档翻译

学术文献翻译模型,支持多种主流文档格式。

立即体验