• 文献检索
  • 文档翻译
  • 深度研究
  • 学术资讯
  • Suppr Zotero 插件Zotero 插件
  • 邀请有礼
  • 套餐&价格
  • 历史记录
应用&插件
Suppr Zotero 插件Zotero 插件浏览器插件Mac 客户端Windows 客户端微信小程序
定价
高级版会员购买积分包购买API积分包
服务
文献检索文档翻译深度研究API 文档MCP 服务
关于我们
关于 Suppr公司介绍联系我们用户协议隐私条款
关注我们

Suppr 超能文献

核心技术专利:CN118964589B侵权必究
粤ICP备2023148730 号-1Suppr @ 2026

文献检索

告别复杂PubMed语法,用中文像聊天一样搜索,搜遍4000万医学文献。AI智能推荐,让科研检索更轻松。

立即免费搜索

文件翻译

保留排版,准确专业,支持PDF/Word/PPT等文件格式,支持 12+语言互译。

免费翻译文档

深度研究

AI帮你快速写综述,25分钟生成高质量综述,智能提取关键信息,辅助科研写作。

立即免费体验

MS2和PP7外壳融合蛋白的联合使用表明,在K-SAM外显子剪接控制中,TIA-1比hnRNP A1起主导作用。

Combined use of MS2 and PP7 coat fusions shows that TIA-1 dominates hnRNP A1 for K-SAM exon splicing control.

作者信息

Gesnel Marie-Claude, Del Gatto-Konczak Fabienne, Breathnach Richard

机构信息

INSERM, U892, 8 quai Moncousu, BP 70721, 44007 Nantes Cedex 1, France.

出版信息

J Biomed Biotechnol. 2009;2009:104853. doi: 10.1155/2009/104853. Epub 2010 Jan 14.

DOI:10.1155/2009/104853
PMID:20130820
原文链接:https://pmc.ncbi.nlm.nih.gov/articles/PMC2814235/
Abstract

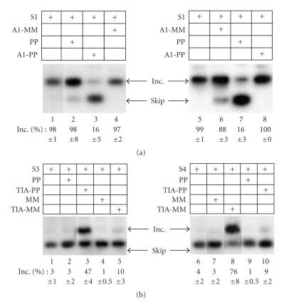
Splicing of the FGFR2 K-SAM exon is repressed by hnRNP A1 bound to the exon and activated by TIA-1 bound to the downstream intron. Both proteins are expressed similarly by cells whether they splice the exon or not, so it is important to know which one is dominant. To answer this question, we used bacteriophage PP7 and bacteriophage MS2 coat fusions to tether hnRNP A1 and TIA-1 to distinct sites on the same pre-mRNA molecule. hnRNP A1 fused to one coat protein was tethered to a K-SAM exon containing the corresponding coat protein's binding site. TIA-1 fused to the other coat protein was tethered to the downstream intron containing that coat protein's binding site. This led to efficient K-SAM exon splicing. Our results show that TIA-1 is dominant for K-SAM exon splicing control and validate the combined use of PP7 and MS2 coat proteins for studying posttranscriptional events.

摘要

与该外显子结合的hnRNP A1会抑制FGFR2 K-SAM外显子的剪接,而与下游内含子结合的TIA-1则会激活它。无论细胞是否剪接该外显子,这两种蛋白的表达都相似,因此了解哪种蛋白起主导作用很重要。为了回答这个问题,我们使用噬菌体PP7和噬菌体MS2外壳融合蛋白,将hnRNP A1和TIA-1拴系到同一前体mRNA分子的不同位点上。与一种外壳蛋白融合的hnRNP A1被拴系到一个含有相应外壳蛋白结合位点的K-SAM外显子上。与另一种外壳蛋白融合的TIA-1被拴系到含有该外壳蛋白结合位点的下游内含子上。这导致了K-SAM外显子的高效剪接。我们的结果表明,TIA-1在K-SAM外显子剪接控制中起主导作用,并验证了PP7和MS2外壳蛋白在研究转录后事件中的联合应用。

https://cdn.ncbi.nlm.nih.gov/pmc/blobs/b452/2814235/4e143fac9e28/JBB2009-104853.004.jpg
https://cdn.ncbi.nlm.nih.gov/pmc/blobs/b452/2814235/af91ab0d57ef/JBB2009-104853.001.jpg
https://cdn.ncbi.nlm.nih.gov/pmc/blobs/b452/2814235/efdc16e9aae1/JBB2009-104853.002.jpg
https://cdn.ncbi.nlm.nih.gov/pmc/blobs/b452/2814235/92aeaddb584f/JBB2009-104853.003.jpg
https://cdn.ncbi.nlm.nih.gov/pmc/blobs/b452/2814235/4e143fac9e28/JBB2009-104853.004.jpg
https://cdn.ncbi.nlm.nih.gov/pmc/blobs/b452/2814235/af91ab0d57ef/JBB2009-104853.001.jpg
https://cdn.ncbi.nlm.nih.gov/pmc/blobs/b452/2814235/efdc16e9aae1/JBB2009-104853.002.jpg
https://cdn.ncbi.nlm.nih.gov/pmc/blobs/b452/2814235/92aeaddb584f/JBB2009-104853.003.jpg
https://cdn.ncbi.nlm.nih.gov/pmc/blobs/b452/2814235/4e143fac9e28/JBB2009-104853.004.jpg

相似文献

1
Combined use of MS2 and PP7 coat fusions shows that TIA-1 dominates hnRNP A1 for K-SAM exon splicing control.MS2和PP7外壳融合蛋白的联合使用表明,在K-SAM外显子剪接控制中,TIA-1比hnRNP A1起主导作用。
J Biomed Biotechnol. 2009;2009:104853. doi: 10.1155/2009/104853. Epub 2010 Jan 14.
2
Cooperative binding of TIA-1 and U1 snRNP in K-SAM exon splicing activation.TIA-1与U1 snRNP在K-SAM外显子剪接激活中的协同结合。
Biochem Biophys Res Commun. 2007 Jul 13;358(4):1065-70. doi: 10.1016/j.bbrc.2007.05.050. Epub 2007 May 15.
3
hnRNP A1 recruited to an exon in vivo can function as an exon splicing silencer.在体内被招募到外显子的异质性核糖核蛋白A1可作为外显子剪接沉默子发挥作用。
Mol Cell Biol. 1999 Jan;19(1):251-60. doi: 10.1128/MCB.19.1.251.
4
The RNA-binding protein TIA-1 is a novel mammalian splicing regulator acting through intron sequences adjacent to a 5' splice site.RNA 结合蛋白 TIA-1 是一种新型的哺乳动物剪接调节因子,它通过与 5' 剪接位点相邻的内含子序列发挥作用。
Mol Cell Biol. 2000 Sep;20(17):6287-99. doi: 10.1128/MCB.20.17.6287-6299.2000.
5
Mechanistic control of carcinoembryonic antigen-related cell adhesion molecule-1 (CEACAM1) splice isoforms by the heterogeneous nuclear ribonuclear proteins hnRNP L, hnRNP A1, and hnRNP M.hnRNP L、hnRNP A1 和 hnRNP M 对癌胚抗原相关细胞黏附分子-1(CEACAM1)剪接异构体的机制调控
J Biol Chem. 2011 May 6;286(18):16039-51. doi: 10.1074/jbc.M110.204057. Epub 2011 Mar 11.
6
hnRNP A1 contacts exon 5 to promote exon 6 inclusion of apoptotic Fas gene.hnRNP A1 与外显子 5 结合,促进凋亡 Fas 基因外显子 6 的包含。
Apoptosis. 2013 Jul;18(7):825-35. doi: 10.1007/s10495-013-0824-8.
7
hnRNP A1 and the SR proteins ASF/SF2 and SC35 have antagonistic functions in splicing of beta-tropomyosin exon 6B.异质性核糖核蛋白A1以及丝氨酸/精氨酸富含蛋白ASF/SF2和SC35在β-原肌球蛋白外显子6B的剪接过程中具有拮抗作用。
J Biol Chem. 2004 Sep 10;279(37):38249-59. doi: 10.1074/jbc.M405377200. Epub 2004 Jun 18.
8
Modulation of exon skipping and inclusion by heterogeneous nuclear ribonucleoprotein A1 and pre-mRNA splicing factor SF2/ASF.异质性核糖核蛋白A1和前体mRNA剪接因子SF2/ASF对外显子跳跃和包含的调控
Mol Cell Biol. 1993 May;13(5):2993-3001. doi: 10.1128/mcb.13.5.2993-3001.1993.
9
hnRNP A1 controls HIV-1 mRNA splicing through cooperative binding to intron and exon splicing silencers in the context of a conserved secondary structure.异质性核糖核蛋白A1通过在保守二级结构背景下与内含子和外显子剪接沉默子协同结合来控制HIV-1 mRNA剪接。
RNA. 2002 Nov;8(11):1401-15. doi: 10.1017/s1355838202023075.
10
Control of hnRNP A1 alternative splicing: an intron element represses use of the common 3' splice site.异质核糖核蛋白A1可变剪接的调控:一个内含子元件抑制常见3'剪接位点的使用。
Mol Cell Biol. 2000 Oct;20(19):7353-62. doi: 10.1128/MCB.20.19.7353-7362.2000.

引用本文的文献

1
Disordered C-terminal domain drives spatiotemporal confinement of RNAPII to enhance search for chromatin targets.无序 C 端结构域驱动 RNAPII 的时空局限以增强对染色质靶标的搜索。
Nat Cell Biol. 2024 Apr;26(4):581-592. doi: 10.1038/s41556-024-01382-2. Epub 2024 Mar 28.
2
Disordered C-terminal domain drives spatiotemporal confinement of RNAPII to enhance search for chromatin targets.紊乱的C末端结构域驱动RNA聚合酶II的时空限制,以增强对染色质靶点的搜索。
bioRxiv. 2023 Nov 30:2023.07.31.551302. doi: 10.1101/2023.07.31.551302.
3
hnRNP A1 in RNA metabolism regulation and as a potential therapeutic target.

本文引用的文献

1
Tethering assays to investigate nonsense-mediated mRNA decay activating proteins.用于研究无义介导的mRNA降解激活蛋白的系留分析
Methods Enzymol. 2008;448:467-82. doi: 10.1016/S0076-6879(08)02623-2.
2
A tethering approach to study proteins that activate mRNA turnover in human cells.一种用于研究在人类细胞中激活mRNA周转的蛋白质的拴系方法。
Methods Mol Biol. 2008;419:121-33. doi: 10.1007/978-1-59745-033-1_8.
3
Structural basis for the coevolution of a viral RNA-protein complex.病毒RNA-蛋白质复合物协同进化的结构基础。
异质性核糖核蛋白A1在RNA代谢调控中及作为潜在治疗靶点的作用
Front Pharmacol. 2022 Oct 21;13:986409. doi: 10.3389/fphar.2022.986409. eCollection 2022.
4
HiFENS: high-throughput FISH detection of endogenous pre-mRNA splicing isoforms.HiFENS:高通量 FISH 检测内源性前体 mRNA 剪接异构体。
Nucleic Acids Res. 2022 Dec 9;50(22):e130. doi: 10.1093/nar/gkac869.
5
Rational Design of Aptamer-Tagged tRNAs.适配子标记 tRNA 的理性设计。
Int J Mol Sci. 2020 Oct 21;21(20):7793. doi: 10.3390/ijms21207793.
6
Applications of phage-derived RNA-based technologies in synthetic biology.噬菌体衍生的基于RNA的技术在合成生物学中的应用。
Synth Syst Biotechnol. 2020 Dec;5(4):343-360. doi: 10.1016/j.synbio.2020.09.003. Epub 2020 Oct 16.
7
PRC2 is dispensable for -mediated transcriptional repression.PRC2对于介导的转录抑制是可有可无的。
EMBO J. 2017 Apr 13;36(8):981-994. doi: 10.15252/embj.201695335. Epub 2017 Feb 6.
8
EMT and stemness: flexible processes tuned by alternative splicing in development and cancer progression.上皮-间质转化与干性:在发育和癌症进展中由可变剪接调节的灵活过程
Mol Cancer. 2017 Jan 30;16(1):8. doi: 10.1186/s12943-016-0579-2.
9
hnRNP A1: the Swiss army knife of gene expression.hnRNP A1:基因表达的瑞士军刀。
Int J Mol Sci. 2013 Sep 16;14(9):18999-9024. doi: 10.3390/ijms140918999.
10
Engineering naturally occurring trans-acting non-coding RNAs to sense molecular signals.工程化天然存在的反式作用非编码 RNA 以感知分子信号。
Nucleic Acids Res. 2012 Jul;40(12):5775-86. doi: 10.1093/nar/gks168. Epub 2012 Mar 1.
Nat Struct Mol Biol. 2008 Jan;15(1):103-5. doi: 10.1038/nsmb1327. Epub 2007 Dec 9.
4
Tethered function assays: an adaptable approach to study RNA regulatory proteins.系留功能分析:一种研究RNA调节蛋白的适应性方法。
Methods Enzymol. 2007;429:299-321. doi: 10.1016/S0076-6879(07)29014-7.
5
Cooperative binding of TIA-1 and U1 snRNP in K-SAM exon splicing activation.TIA-1与U1 snRNP在K-SAM外显子剪接激活中的协同结合。
Biochem Biophys Res Commun. 2007 Jul 13;358(4):1065-70. doi: 10.1016/j.bbrc.2007.05.050. Epub 2007 May 15.
6
Specific trans-acting proteins interact with auxiliary RNA polyadenylation elements in the COX-2 3'-UTR.特定的反式作用蛋白与COX-2 3'-非翻译区中的辅助RNA聚腺苷酸化元件相互作用。
RNA. 2007 Jul;13(7):1103-15. doi: 10.1261/rna.577707. Epub 2007 May 16.
7
A splicing repressor domain in polypyrimidine tract-binding protein.多嘧啶序列结合蛋白中的一个剪接抑制结构域。
J Biol Chem. 2006 Jan 13;281(2):800-6. doi: 10.1074/jbc.M510578200. Epub 2005 Nov 9.
8
The CD44 alternative v9 exon contains a splicing enhancer responsive to the SR proteins 9G8, ASF/SF2, and SRp20.CD44可变v9外显子包含一个对SR蛋白9G8、ASF/SF2和SRp20有反应的剪接增强子。
J Biol Chem. 2003 Aug 29;278(35):32943-53. doi: 10.1074/jbc.M301090200. Epub 2003 Jun 24.
9
The splicing regulator TIA-1 interacts with U1-C to promote U1 snRNP recruitment to 5' splice sites.剪接调节因子TIA-1与U1-C相互作用,促进U1 snRNP募集到5'剪接位点。
EMBO J. 2002 Dec 16;21(24):6882-92. doi: 10.1093/emboj/cdf668.
10
RNA recognition site of PP7 coat protein.PP7外壳蛋白的RNA识别位点。
Nucleic Acids Res. 2002 Oct 1;30(19):4138-44. doi: 10.1093/nar/gkf552.