• 文献检索
  • 文档翻译
  • 深度研究
  • 学术资讯
  • Suppr Zotero 插件Zotero 插件
  • 邀请有礼
  • 套餐&价格
  • 历史记录
应用&插件
Suppr Zotero 插件Zotero 插件浏览器插件Mac 客户端Windows 客户端微信小程序
定价
高级版会员购买积分包购买API积分包
服务
文献检索文档翻译深度研究API 文档MCP 服务
关于我们
关于 Suppr公司介绍联系我们用户协议隐私条款
关注我们

Suppr 超能文献

核心技术专利:CN118964589B侵权必究
粤ICP备2023148730 号-1Suppr @ 2026

文献检索

告别复杂PubMed语法,用中文像聊天一样搜索,搜遍4000万医学文献。AI智能推荐,让科研检索更轻松。

立即免费搜索

文件翻译

保留排版,准确专业,支持PDF/Word/PPT等文件格式,支持 12+语言互译。

免费翻译文档

深度研究

AI帮你快速写综述,25分钟生成高质量综述,智能提取关键信息,辅助科研写作。

立即免费体验

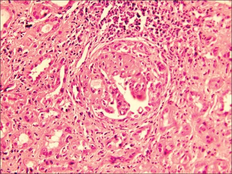
伴有线性免疫沉积物的c-ANCA阳性新月体性肾小球肾炎中的肾病范围蛋白尿

Nephrotic range proteinuria in c-ANCA-positive crescentic glomerulonephritis with linear immune deposits.

作者信息

Singh N P, Gulati S, Garg V, Beniwal P, Garg S

机构信息

Department of Medicine, Maulana Azad Medical College, New Delhi-110 002, India.

出版信息

Indian J Nephrol. 2008 Oct;18(4):169-72. doi: 10.4103/0971-4065.45294.

DOI:10.4103/0971-4065.45294
PMID:20142931
原文链接:https://pmc.ncbi.nlm.nih.gov/articles/PMC2813536/
Abstract

The three broad groups of rapidly progressing glomerulonephritis are anti glomerular basement membrane (anti-GBM) disease, renal vasculitis characterized by antineutrophil cytoplasmic antibody positivity, and a heterogeneous group with granular immune deposits. Anti-GBM disease with cytoplasmic antineutrophilic antibodies (c-ANCA) positivity (type III disease) is not known to present with nephrotic syndrome. We report here a rare presentation of nephrotic syndrome in Type III disease. Larger studies are warranted to determine whether the amount and/or type of immune deposits decide the range of proteinuria. These studies are also required to elucidate the impact of immune complex deposition on renal disease in c-ANCA-positive glomerulonephritis and to outline its pathogenetic mechanism.

摘要

快速进展性肾小球肾炎主要分为三大类

抗肾小球基底膜(抗GBM)病、以抗中性粒细胞胞浆抗体阳性为特征的肾血管炎以及具有颗粒状免疫沉积物的异质性组。抗GBM病合并胞浆抗中性粒细胞抗体(c-ANCA)阳性(III型疾病)一般不会表现为肾病综合征。我们在此报告III型疾病中罕见的肾病综合征表现。需要开展更大规模的研究,以确定免疫沉积物的数量和/或类型是否决定蛋白尿的范围。还需要这些研究来阐明免疫复合物沉积对c-ANCA阳性肾小球肾炎肾脏疾病的影响,并概述其发病机制。

https://cdn.ncbi.nlm.nih.gov/pmc/blobs/87c2/2813536/b2de79da395d/IJN-18-169-g002.jpg
https://cdn.ncbi.nlm.nih.gov/pmc/blobs/87c2/2813536/3fe050fc1129/IJN-18-169-g001.jpg
https://cdn.ncbi.nlm.nih.gov/pmc/blobs/87c2/2813536/b2de79da395d/IJN-18-169-g002.jpg
https://cdn.ncbi.nlm.nih.gov/pmc/blobs/87c2/2813536/3fe050fc1129/IJN-18-169-g001.jpg
https://cdn.ncbi.nlm.nih.gov/pmc/blobs/87c2/2813536/b2de79da395d/IJN-18-169-g002.jpg

相似文献

1
Nephrotic range proteinuria in c-ANCA-positive crescentic glomerulonephritis with linear immune deposits.伴有线性免疫沉积物的c-ANCA阳性新月体性肾小球肾炎中的肾病范围蛋白尿
Indian J Nephrol. 2008 Oct;18(4):169-72. doi: 10.4103/0971-4065.45294.
2
[A clinical and pathological analysis of 41 patients with anti-glomerular basement membrane antibody related diseases].41例抗肾小球基底膜抗体相关疾病的临床与病理分析
Zhonghua Nei Ke Za Zhi. 2001 May;40(5):316-20.
3
Clinical and pathologic characteristics of pauci-immune anti-myeloperoxidase antibody associated glomerulonephritis with nephrotic range proteinuria.伴有大量蛋白尿的寡免疫型抗髓过氧化物酶抗体相关性肾小球肾炎的临床和病理特征。
Ren Fail. 2018 Nov;40(1):554-560. doi: 10.1080/0886022X.2018.1487865.
4
ANCA-associated crescentic glomerulonephritis with mesangial IgA deposits.伴有系膜IgA沉积的抗中性粒细胞胞浆抗体相关性新月体性肾小球肾炎
Am J Kidney Dis. 2000 Oct;36(4):709-18. doi: 10.1053/ajkd.2000.17615.
5
Myeloperoxidase-antineutrophil cytoplasmic antibody causes different renal diseases by immune-complex formation and pauci-immune mechanism: A case report.髓过氧化物酶抗中性粒细胞胞浆抗体通过免疫复合物形成和寡免疫机制导致不同的肾脏疾病:一例报告。
Pathol Int. 2017 Aug;67(8):419-424. doi: 10.1111/pin.12545. Epub 2017 Jun 4.
6
A Rare Case of Nephrotic-Range Proteinuria in Antineutrophil Cytoplasmic Antibodies (ANCA)-Associated Vasculitis.抗中性粒细胞胞浆抗体(ANCA)相关血管炎伴肾病范围蛋白尿的罕见病例
Cureus. 2022 May 10;14(5):e24889. doi: 10.7759/cureus.24889. eCollection 2022 May.
7
The development of rapidly progressive glomerulonephritis associated with both antineutrophil cytoplasmic antibody-associated vasculitis and anti-glomerular basement membrane nephritis in the course of nontuberculous mycobacterium infection: a case report.非结核分枝杆菌感染过程中同时合并抗中性粒细胞胞浆抗体相关性血管炎和抗肾小球基底膜肾炎的快速进展性肾小球肾炎:一例报告
BMC Rheumatol. 2020 Dec 14;4(1):68. doi: 10.1186/s41927-020-00167-y.
8
The Clinicopathologic Spectrum of Rapidly Progressive Glomerulonephritis Based on Glomerular Immune Deposition and Antineutrophil Cytoplasmic Antibody.基于肾小球免疫沉积和抗中性粒细胞胞浆抗体的快速进展性肾小球肾炎的临床病理谱
Appl Immunohistochem Mol Morphol. 2015 Nov-Dec;23(10):704-10. doi: 10.1097/PAI.0000000000000134.
9
Rapidly progressive crescentic glomerulonephritis: Early treatment is a must.快速进展性新月体肾小球肾炎:早期治疗是必须的。
Autoimmun Rev. 2014 Jul;13(7):723-9. doi: 10.1016/j.autrev.2014.02.007. Epub 2014 Mar 19.
10
Etiology and Outcome of Crescentic Glomerulonephritis From a Single Center in China: A 10-Year Review.中国单中心新月体性肾小球肾炎的病因和转归:一项 10 年回顾性研究。
Am J Kidney Dis. 2016 Mar;67(3):376-83. doi: 10.1053/j.ajkd.2015.07.034. Epub 2015 Sep 19.

引用本文的文献

1
Clinical and pathologic characteristics of pauci-immune anti-myeloperoxidase antibody associated glomerulonephritis with nephrotic range proteinuria.伴有大量蛋白尿的寡免疫型抗髓过氧化物酶抗体相关性肾小球肾炎的临床和病理特征。
Ren Fail. 2018 Nov;40(1):554-560. doi: 10.1080/0886022X.2018.1487865.

本文引用的文献

1
Night and day proteinuria in patients with sleep apnea.睡眠呼吸暂停患者的昼夜蛋白尿
Am J Kidney Dis. 2004 Oct;44(4):636-41.
2
Glomerular immune deposits are associated with increased proteinuria in patients with ANCA-associated crescentic nephritis.在抗中性粒细胞胞浆抗体相关的新月体性肾炎患者中,肾小球免疫沉积物与蛋白尿增加有关。
Nephrol Dial Transplant. 2003 Mar;18(3):524-31. doi: 10.1093/ndt/18.3.524.
3
Proteinuria in obstructive sleep apnea.阻塞性睡眠呼吸暂停中的蛋白尿
Kidney Int. 2001 Oct;60(4):1484-9. doi: 10.1046/j.1523-1755.2001.00952.x.
4
ANCA-associated crescentic glomerulonephritis with mesangial IgA deposits.伴有系膜IgA沉积的抗中性粒细胞胞浆抗体相关性新月体性肾小球肾炎
Am J Kidney Dis. 2000 Oct;36(4):709-18. doi: 10.1053/ajkd.2000.17615.
5
Interstitial nephritis, proteinuria, and renal failure caused by nonsteroidal anti-inflammatory drugs. Immunologic characterization of the inflammatory infiltrate.非甾体抗炎药引起的间质性肾炎、蛋白尿和肾衰竭。炎性浸润的免疫学特征。
Am J Med. 1984 Jun;76(6):1006-12. doi: 10.1016/0002-9343(84)90849-0.
6
A rapid assay for circulating anti-glomerular basement membrane antibodies in Goodpasture syndrome.一种用于检测Goodpasture综合征中循环抗肾小球基底膜抗体的快速检测方法。
J Immunol Methods. 1989 Mar 10;118(1):73-8. doi: 10.1016/0022-1759(89)90055-0.
7
Prognostic implication of anti-neutrophil cytoplasmic autoantibodies with myeloperoxidase specificity in anti-glomerular basement membrane disease.抗髓过氧化物酶特异性抗中性粒细胞胞浆自身抗体在抗肾小球基底膜病中的预后意义
Clin Nephrol. 1991 Sep;36(3):107-13.
8
Albuminuria in people at least 40 years old: effect of obesity, hypertension, and hyperlipidemia.
Clin Chem. 1992 Sep;38(9):1802-8.
9
De novo glomerulonephritis in patients during remission from Wegener's granulomatosis.韦格纳肉芽肿病缓解期患者的新发肾小球肾炎。
Clin Nephrol. 1992 Dec;38(6):295-8.