Suppr超能文献

抗结核化疗期间对侧矛盾性胸腔积液

Contra-lateral paradoxical pleural effusion during antituberculous chemotherapy.

作者信息

Chopra Vishal, Singh Urvinderpal, Chopra Dimple

机构信息

Deptt. of Chest & Tuberculosis, Govt. Medical College, Patiala, Punjab, India.

出版信息

Lung India. 2008 Jul;25(3):124-5. doi: 10.4103/0970-2113.59593.

Abstract

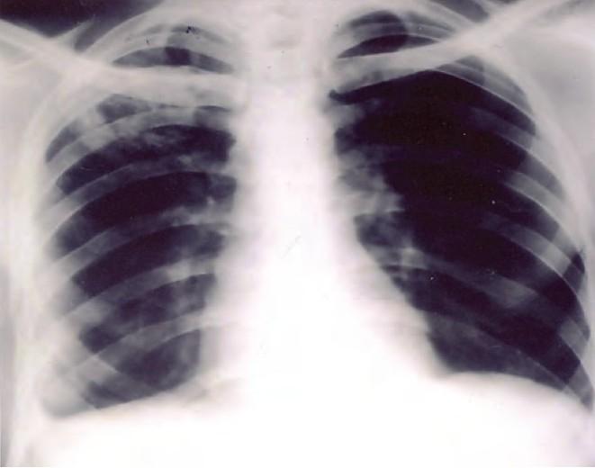
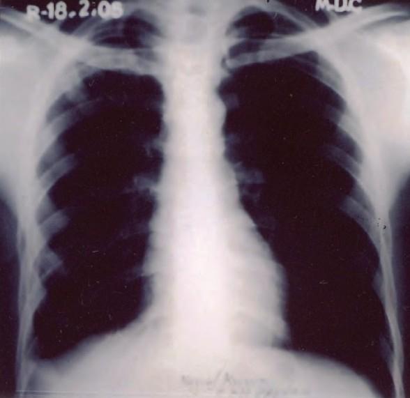
A 24-year old male developed left sided pleural effusion 10 days after the start of anti tubercular chemotherapy for right-sided pleural effusion and parenchymal lesion. This effusion seemed to be a paradoxical response as it resolved on follow up.

摘要

一名24岁男性在开始针对右侧胸腔积液和实质病变进行抗结核化疗10天后出现左侧胸腔积液。这种积液似乎是一种反常反应,因为在随访中它自行消退了。

https://cdn.ncbi.nlm.nih.gov/pmc/blobs/4bd1/2822335/cbd6ffff1b38/LI-25-124-g001.jpg

文献检索

告别复杂PubMed语法,用中文像聊天一样搜索,搜遍4000万医学文献。AI智能推荐,让科研检索更轻松。

立即免费搜索

文件翻译

保留排版,准确专业,支持PDF/Word/PPT等文件格式,支持 12+语言互译。

免费翻译文档

深度研究

AI帮你快速写综述,25分钟生成高质量综述,智能提取关键信息,辅助科研写作。

立即免费体验