• 文献检索
  • 文档翻译
  • 深度研究
  • 学术资讯
  • Suppr Zotero 插件Zotero 插件
  • 邀请有礼
  • 套餐&价格
  • 历史记录
应用&插件
Suppr Zotero 插件Zotero 插件浏览器插件Mac 客户端Windows 客户端微信小程序
定价
高级版会员购买积分包购买API积分包
服务
文献检索文档翻译深度研究API 文档MCP 服务
关于我们
关于 Suppr公司介绍联系我们用户协议隐私条款
关注我们

Suppr 超能文献

核心技术专利:CN118964589B侵权必究
粤ICP备2023148730 号-1Suppr @ 2026

文献检索

告别复杂PubMed语法,用中文像聊天一样搜索,搜遍4000万医学文献。AI智能推荐,让科研检索更轻松。

立即免费搜索

文件翻译

保留排版,准确专业,支持PDF/Word/PPT等文件格式,支持 12+语言互译。

免费翻译文档

深度研究

AI帮你快速写综述,25分钟生成高质量综述,智能提取关键信息,辅助科研写作。

立即免费体验

同性恋男性直肠黏膜的乙状结肠镜检查及显微镜下表现。

Sigmoidoscopic and microscopic appearance of the rectal mucosa in homosexual men.

作者信息

McMillan A, Lee F D

出版信息

Gut. 1981 Dec;22(12):1035-41. doi: 10.1136/gut.22.12.1035.

DOI:10.1136/gut.22.12.1035
PMID:6895627
原文链接:https://pmc.ncbi.nlm.nih.gov/articles/PMC1419482/
Abstract

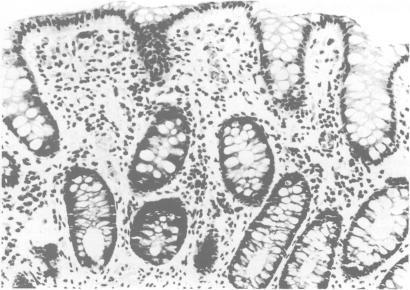
The aims of the study were to determine what microscopic changes occur in the rectal mucosa of men who have had anal intercourse and to correlate the sigmoidoscopic and microscopic appearances. Histological abnormalities were found in 29 of 100 men who attended consecutively a sexually-transmitted diseases clinic. The histopathology of rectal gonorrhoea, as observed in 18 patients, is described as are the microscopic findings in the rectal mucosa of 10 patients with early syphilis. Of 70 men without any detectable rectal infection, biopsies from 15 (21.4%) were abnormal. Intestinal spirochaetosis was observed in biopsies from 36 of these 100 men. With the use of strict criteria to describe the macroscopic appearance of the rectal mucosa, the sigmoidoscopic findings correlated well with the histology.

摘要

该研究的目的是确定有肛交行为的男性直肠黏膜会出现哪些微观变化,并将乙状结肠镜检查结果与微观表现进行关联。在连续就诊于一家性传播疾病诊所的100名男性中,有29人发现了组织学异常。描述了18例患者中观察到的直肠淋病的组织病理学情况,以及10例早期梅毒患者直肠黏膜的微观检查结果。在70名未检测到直肠感染的男性中,15例(21.4%)的活检结果异常。在这100名男性中的36例活检中观察到肠道螺旋体病。使用严格标准描述直肠黏膜的宏观表现时,乙状结肠镜检查结果与组织学结果相关性良好。

https://cdn.ncbi.nlm.nih.gov/pmc/blobs/a27c/1419482/6a1fb1d8b51c/gut00433-0071-a.jpg
https://cdn.ncbi.nlm.nih.gov/pmc/blobs/a27c/1419482/ed4e7e1caa79/gut00433-0068-a.jpg
https://cdn.ncbi.nlm.nih.gov/pmc/blobs/a27c/1419482/e3ea98643fbc/gut00433-0069-a.jpg
https://cdn.ncbi.nlm.nih.gov/pmc/blobs/a27c/1419482/6a1fb1d8b51c/gut00433-0071-a.jpg
https://cdn.ncbi.nlm.nih.gov/pmc/blobs/a27c/1419482/ed4e7e1caa79/gut00433-0068-a.jpg
https://cdn.ncbi.nlm.nih.gov/pmc/blobs/a27c/1419482/e3ea98643fbc/gut00433-0069-a.jpg
https://cdn.ncbi.nlm.nih.gov/pmc/blobs/a27c/1419482/6a1fb1d8b51c/gut00433-0071-a.jpg

相似文献

1
Sigmoidoscopic and microscopic appearance of the rectal mucosa in homosexual men.同性恋男性直肠黏膜的乙状结肠镜检查及显微镜下表现。
Gut. 1981 Dec;22(12):1035-41. doi: 10.1136/gut.22.12.1035.
2
Spectrum of rectal biopsy abnormalities in homosexual men with intestinal symptoms.有肠道症状的男同性恋者直肠活检异常情况的范围
Gastroenterology. 1986 Sep;91(3):651-9. doi: 10.1016/0016-5085(86)90635-9.
3
Histology of rectal gonorrhoea in men, with a note on anorectal infection with Neisseria meningitidis.男性直肠淋病的组织学,兼论脑膜炎奈瑟菌引起的肛门直肠感染
J Clin Pathol. 1983 May;36(5):511-4. doi: 10.1136/jcp.36.5.511.
4
Proctitis in homosexual men. A diagnostic problem.同性恋男性的直肠炎。一个诊断难题。
Br J Vener Dis. 1983 Aug;59(4):260-4. doi: 10.1136/sti.59.4.260.
5
Rectal spirochaetosis in homosexual men: characterisation of the organism and pathophysiology.同性恋男性的直肠螺旋体病:病原体特征及病理生理学
Genitourin Med. 1986 Feb;62(1):47-52. doi: 10.1136/sti.62.1.47.
6
[Intestinal spirochaetosis].[肠道螺旋体病]
Tidsskr Nor Laegeforen. 1989 Feb 28;109(6):698-9.
7
Prevalence of sexually transmitted disease among male patients presenting with proctitis.患有直肠炎的男性患者中性传播疾病的患病率。
Gut. 1988 Mar;29(3):332-5. doi: 10.1136/gut.29.3.332.
8
Rectal spirochaetosis.直肠螺旋体病。
Br J Vener Dis. 1984 Apr;60(2):106-9. doi: 10.1136/sti.60.2.106.
9
Proctitis and herpes simplex virus in homosexual men.同性恋男性中的直肠炎与单纯疱疹病毒
Br J Vener Dis. 1980 Apr;56(2):111-4. doi: 10.1136/sti.56.2.111.
10
Intestinal spirochetosis in homosexual men.
Am J Med. 1987 Mar 23;82(3 Spec No):587-92. doi: 10.1016/0002-9343(87)90104-5.

引用本文的文献

1
Increased Prevalence of Symptomatic Human Intestinal Spirochetosis in MSM with High-Risk Sexual Behavior in a Cohort of 165 Individuals.在一个165人的队列中,有高危性行为的男男性接触者中症状性人类肠道螺旋体病患病率增加。
Trop Med Infect Dis. 2023 Apr 26;8(5):250. doi: 10.3390/tropicalmed8050250.
2
Ulcerative Proctitis: An Unusual Case of Intestinal Spirochetosis.溃疡性直肠炎:一例罕见的肠道螺旋体病病例。
Cureus. 2022 Dec 28;14(12):e33046. doi: 10.7759/cureus.33046. eCollection 2022 Dec.
3
Human intestinal spirochetosis, irritable bowel syndrome, and colonic polyps: A systematic review and meta-analysis.

本文引用的文献

1
Sigmoidoscopy and cytology in the detection of microscopic disease of the rectal mucosa in ulcerative colitis.乙状结肠镜检查及细胞学检查在溃疡性结肠炎直肠黏膜微小病变检测中的应用
Gut. 1966 Jun;7(3):288-94. doi: 10.1136/gut.7.3.288.
2
Anorectal gonorrhoea.
Proc R Soc Med. 1962 Oct;55:871-3.
3
Chlamydial infection in homosexual men. Frequency of isolation of Chlamydia trachomatis from the urethra, ano-rectum, and pharynx.男同性恋者的衣原体感染。沙眼衣原体从尿道、肛门直肠和咽部的分离频率。
Br J Vener Dis. 1981 Feb;57(1):47-9. doi: 10.1136/sti.57.1.47.
人类肠道螺旋体病、肠易激综合征和结肠息肉:系统评价和荟萃分析。
J Gastroenterol Hepatol. 2022 Jul;37(7):1222-1234. doi: 10.1111/jgh.15851. Epub 2022 Apr 24.
4
Hiding in Plain Sight: Colonic Spirochetosis in Humans.藏身于众目睽睽之下:人类结肠螺旋体病。
J Bacteriol. 2019 Oct 4;201(21). doi: 10.1128/JB.00465-19. Print 2019 Nov 1.
5
Intestinal Spirochetosis: A Case Series and Review of the Literature.肠道螺旋体病:病例系列及文献综述
Pediatr Gastroenterol Hepatol Nutr. 2019 Mar;22(2):193-200. doi: 10.5223/pghn.2019.22.2.193. Epub 2019 Mar 8.
6
The Spirochete Brachyspira pilosicoli, Enteric Pathogen of Animals and Humans.螺旋体短螺旋体,动物和人类的肠道病原体。
Clin Microbiol Rev. 2017 Nov 29;31(1). doi: 10.1128/CMR.00087-17. Print 2018 Jan.
7
Human intestinal spirochetosis in an immunocompromised host: evaluation of eradication therapy by endoscopy, histopathology and bacteriology.免疫功能低下宿主的人体肠道螺旋体病:通过内镜检查、组织病理学和细菌学评估根除治疗效果
Clin J Gastroenterol. 2012 Feb;5(1):69-73. doi: 10.1007/s12328-011-0265-2. Epub 2011 Nov 27.
8
Brachyspira species and gastroenteritis in humans.短螺旋体物种与人类的胃肠炎。
J Clin Microbiol. 2013 Jul;51(7):2411-3. doi: 10.1128/JCM.01069-13. Epub 2013 May 1.
9
Human intestinal spirochetosis--a review.人类肠道螺旋体病——综述
Ger Med Sci. 2010 Jan 7;8:Doc01. doi: 10.3205/000090.
10
Rectal syphilis mimicking rectal cancer.直肠梅毒酷似直肠癌。
Yonsei Med J. 2010 Mar;51(2):276-8. doi: 10.3349/ymj.2010.51.2.276. Epub 2010 Feb 12.
4
Campylobacter proctitis in a homosexual man.一名同性恋男性患弯曲杆菌性直肠炎。
Ann Intern Med. 1980 Sep;93(3):458-9. doi: 10.7326/0003-4819-93-3-458.
5
Intestinal parasites in homosexual men.男同性恋者体内的肠道寄生虫。
Scott Med J. 1980 Jan;25(1):33-5. doi: 10.1177/003693308002500107.
6
Proctitis and herpes simplex virus in homosexual men.同性恋男性中的直肠炎与单纯疱疹病毒
Br J Vener Dis. 1980 Apr;56(2):111-4. doi: 10.1136/sti.56.2.111.
7
Intestinal spirochaetosis.肠道螺旋体病
Br Med J. 1967 Sep 16;3(5567):718-9. doi: 10.1136/bmj.3.5567.718.
8
Relation of TRIC agent to "non-specific genital infection".TRIC病原体与“非特异性生殖器感染”的关系。
Br J Vener Dis. 1966 Jun;42(2):77-87. doi: 10.1136/sti.42.2.77.
9
Primary syphilis of the anorectal region.肛门直肠区域的一期梅毒。
Dis Colon Rectum. 1968 Nov;11(6):462-6. doi: 10.1007/BF02616779.
10
Intestinal spirochaetosis.肠道螺旋体病
Gut. 1971 Feb;12(2):126-33. doi: 10.1136/gut.12.2.126.