• 文献检索
  • 文档翻译
  • 深度研究
  • 学术资讯
  • Suppr Zotero 插件Zotero 插件
  • 邀请有礼
  • 套餐&价格
  • 历史记录
应用&插件
Suppr Zotero 插件Zotero 插件浏览器插件Mac 客户端Windows 客户端微信小程序
定价
高级版会员购买积分包购买API积分包
服务
文献检索文档翻译深度研究API 文档MCP 服务
关于我们
关于 Suppr公司介绍联系我们用户协议隐私条款
关注我们

Suppr 超能文献

核心技术专利:CN118964589B侵权必究
粤ICP备2023148730 号-1Suppr @ 2026

文献检索

告别复杂PubMed语法,用中文像聊天一样搜索,搜遍4000万医学文献。AI智能推荐,让科研检索更轻松。

立即免费搜索

文件翻译

保留排版,准确专业,支持PDF/Word/PPT等文件格式,支持 12+语言互译。

免费翻译文档

深度研究

AI帮你快速写综述,25分钟生成高质量综述,智能提取关键信息,辅助科研写作。

立即免费体验

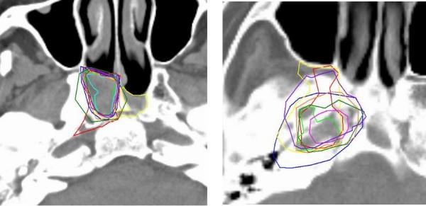
CT-MRI 配准后,鼻咽癌靶区勾画的 3D 观察者间变异性降低。

Decreased 3D observer variation with matched CT-MRI, for target delineation in Nasopharynx cancer.

机构信息

Department of Radiation Oncology, The Netherlands Cancer Institute/Antoni van Leeuwenhoekhuis, Amsterdam, The Netherlands.

出版信息

Radiat Oncol. 2010 Mar 15;5:21. doi: 10.1186/1748-717X-5-21.

DOI:10.1186/1748-717X-5-21
PMID:20230613
原文链接:https://pmc.ncbi.nlm.nih.gov/articles/PMC2842278/
Abstract

PURPOSE

To determine the variation in target delineation of nasopharyngeal carcinoma and the impact of measures to minimize this variation.

MATERIALS AND METHODS

For ten nasopharyngeal cancer patients, ten observers each delineated the Clinical Target Volume (CTV) and the CTV elective. After 3D analysis of the delineated volumes, a second delineation was performed. This implied improved delineation instructions, a combined delineation on CT and co-registered MRI, forced use of sagittal reconstructions, and an on-line anatomical atlas.

RESULTS

Both for the CTV and the CTV elective delineations, the 3D SD decreased from Phase 1 to Phase 2, from 4.4 to 3.3 mm for the CTV and from 5.9 to 4.9 mm for the elective. There was an increase agreement, where the observers intended to delineate the same structure, from 36 to 64 surface % (p = 0.003) for the CTV and from 17 to 59% (p = 0.004) for the elective. The largest variations were at the caudal border of the delineations but these were smaller when an observer utilized the sagittal window. Hence, the use of sagittal side windows was enforced in the second phase and resulted in a decreased standard deviation for this area from 7.7 to 3.3 mm (p = 0.001) for the CTV and 7.9 to 5.6 mm (p = 0.03) for the CTV elective.

DISCUSSION

Attempts to decrease the variation need to be tailored to the specific causes of the variation. Use of delineation instructions multimodality imaging, the use of sagittal windows and an on-line atlas result in a higher agreement on the intended target.

摘要

目的

确定鼻咽癌靶区勾画的变化,并探讨减少这种变化的措施。

材料与方法

对 10 例鼻咽癌患者,10 名观察者分别对临床靶区(CTV)和CTV 选择性勾画。在对勾画体积进行 3D 分析后,进行第二次勾画。这意味着改进了勾画指导,在 CT 和配准的 MRI 上联合勾画,强制使用矢状位重建,并使用在线解剖图谱。

结果

无论是 CTV 还是 CTV 选择性勾画,3D 标准差都从第 1 阶段到第 2 阶段降低,CTV 从 4.4 降至 3.3mm,CTV 选择性从 5.9 降至 4.9mm。观察者对同一结构的勾画意向一致性增加,CTV 从 36%增加到 64%(p=0.003),CTV 选择性从 17%增加到 59%(p=0.004)。勾画的最下部边界变化最大,但当观察者使用矢状位窗时,这些变化较小。因此,在第 2 阶段强制使用矢状位侧窗,使 CTV 和 CTV 选择性的该区域标准差从 7.7 降至 3.3mm(p=0.001)和 7.9 降至 5.6mm(p=0.03)。

讨论

减少变化的尝试需要针对变化的具体原因进行定制。使用勾画指导、多模态成像、矢状位窗和在线图谱可以提高目标勾画的一致性。

https://cdn.ncbi.nlm.nih.gov/pmc/blobs/15cd/2842278/7b95a14c6885/1748-717X-5-21-4.jpg
https://cdn.ncbi.nlm.nih.gov/pmc/blobs/15cd/2842278/368901fb2d58/1748-717X-5-21-1.jpg
https://cdn.ncbi.nlm.nih.gov/pmc/blobs/15cd/2842278/f8e6024e32f8/1748-717X-5-21-2.jpg
https://cdn.ncbi.nlm.nih.gov/pmc/blobs/15cd/2842278/1e1dbbc1780a/1748-717X-5-21-3.jpg
https://cdn.ncbi.nlm.nih.gov/pmc/blobs/15cd/2842278/7b95a14c6885/1748-717X-5-21-4.jpg
https://cdn.ncbi.nlm.nih.gov/pmc/blobs/15cd/2842278/368901fb2d58/1748-717X-5-21-1.jpg
https://cdn.ncbi.nlm.nih.gov/pmc/blobs/15cd/2842278/f8e6024e32f8/1748-717X-5-21-2.jpg
https://cdn.ncbi.nlm.nih.gov/pmc/blobs/15cd/2842278/1e1dbbc1780a/1748-717X-5-21-3.jpg
https://cdn.ncbi.nlm.nih.gov/pmc/blobs/15cd/2842278/7b95a14c6885/1748-717X-5-21-4.jpg

相似文献

1
Decreased 3D observer variation with matched CT-MRI, for target delineation in Nasopharynx cancer.CT-MRI 配准后,鼻咽癌靶区勾画的 3D 观察者间变异性降低。
Radiat Oncol. 2010 Mar 15;5:21. doi: 10.1186/1748-717X-5-21.
2
Dedicated MRI simulation for cervical cancer radiation treatment planning: Assessing the impact on clinical target volume delineation.用于宫颈癌放射治疗计划的专用MRI模拟:评估对临床靶区勾画的影响。
J Med Imaging Radiat Oncol. 2019 Apr;63(2):236-243. doi: 10.1111/1754-9485.12831. Epub 2018 Dec 3.
3
MRI and CT imaging for preoperative target volume delineation in breast-conserving therapy.保乳治疗中用于术前靶区勾画的MRI和CT成像
Radiat Oncol. 2014 Feb 26;9:63. doi: 10.1186/1748-717X-9-63.
4
Target volume delineation in breast conserving radiotherapy: are co-registered CT and MR images of added value?保乳放疗中的靶区勾画:配准的CT和MR图像是否具有附加价值?
Radiat Oncol. 2014 Feb 26;9:65. doi: 10.1186/1748-717X-9-65.
5
[Changes in target volumes definition by using MRI for prostate bed radiotherapy planning--preliminary results].[利用MRI进行前列腺床放射治疗计划时靶区体积定义的变化——初步结果]
Klin Onkol. 2010;23(4):256-63.
6
Reduction of observer variation using matched CT-PET for lung cancer delineation: a three-dimensional analysis.使用匹配的CT-PET减少肺癌轮廓描绘中的观察者差异:三维分析
Int J Radiat Oncol Biol Phys. 2006 Feb 1;64(2):435-48. doi: 10.1016/j.ijrobp.2005.06.034. Epub 2005 Sep 28.
7
Three-dimensional dosimetric evaluation of a conventional radiotherapy technique for treatment of nasopharyngeal carcinoma.用于治疗鼻咽癌的传统放射治疗技术的三维剂量学评估
Radiother Oncol. 2001 Feb;58(2):143-53. doi: 10.1016/s0167-8140(00)00336-4.
8
Variability in target volume delineation on CT scans of the breast.乳腺CT扫描中靶体积勾画的变异性。
Int J Radiat Oncol Biol Phys. 2001 Aug 1;50(5):1366-72. doi: 10.1016/s0360-3016(01)01635-2.
9
Observer variation in target volume delineation of lung cancer related to radiation oncologist-computer interaction: a 'Big Brother' evaluation.与放射肿瘤学家-计算机交互相关的肺癌靶区勾画中的观察者差异:一项“老大哥”评估。
Radiother Oncol. 2005 Nov;77(2):182-90. doi: 10.1016/j.radonc.2005.09.017. Epub 2005 Oct 26.
10
Interobserver variability in target volume delineation for CT/MRI simulation and MRI-guided adaptive radiotherapy in rectal cancer.CT/MRI 模拟和 MRI 引导自适应放疗中直肠癌靶区勾画的观察者间变异性。
Br J Radiol. 2021 Dec;94(1128):20210350. doi: 10.1259/bjr.20210350. Epub 2021 Nov 2.

引用本文的文献

1
Adaptive radiotherapy for head and neck cancer: Pitfalls and possibilities from the radiation oncologist's point of view.头颈部癌症的自适应放疗:从放射肿瘤学家的角度看潜在问题和可能性。
Cancer Med. 2024 Apr;13(8):e7192. doi: 10.1002/cam4.7192.
2
Channel-wise attention enhanced and structural similarity constrained cycleGAN for effective synthetic CT generation from head and neck MRI images.基于通道注意力增强和结构相似性约束的循环生成对抗网络实现头颈部 MRI 图像到 CT 图像的有效合成
Radiat Oncol. 2024 Mar 14;19(1):37. doi: 10.1186/s13014-024-02429-2.
3
Evaluating the Hounsfield unit assignment and dose differences between CT-based standard and deep learning-based synthetic CT images for MRI-only radiation therapy of the head and neck.

本文引用的文献

1
18F-fluorodeoxyglucose positron emission tomography to evaluate cervical node metastases in patients with head and neck squamous cell carcinoma: a meta-analysis.18F-氟脱氧葡萄糖正电子发射断层扫描评估头颈部鳞状细胞癌患者颈部淋巴结转移:一项荟萃分析
J Natl Cancer Inst. 2008 May 21;100(10):712-20. doi: 10.1093/jnci/djn125. Epub 2008 May 13.
2
The impact of 18F-FDG PET/CT on assessment of nasopharyngeal carcinoma at diagnosis.18F-FDG PET/CT对鼻咽癌诊断评估的影响。
Br J Radiol. 2008 Apr;81(964):291-8. doi: 10.1259/bjr/73751469.
3
Observer variation in target volume delineation of lung cancer related to radiation oncologist-computer interaction: a 'Big Brother' evaluation.
评估基于 CT 的标准图像和基于深度学习的合成 CT 图像的亨氏单位赋值和剂量差异,用于头颈部仅接受 MRI 放疗。
J Appl Clin Med Phys. 2024 Jan;25(1):e14239. doi: 10.1002/acm2.14239. Epub 2023 Dec 21.
4
Development and implementation of optimized endogenous contrast sequences for delineation in adaptive radiotherapy on a 1.5T MR-linear-accelerator: a prospective R-IDEAL stage 0-2a quantitative/qualitative evaluation of site-specific quality-assurance using a 3D T2 fat-suppressed platform for head and neck cancer.在1.5T磁共振直线加速器上开发和实施用于自适应放疗中勾画的优化内源性对比序列:使用3D T2脂肪抑制平台对头颈部癌进行特定部位质量保证的前瞻性R-IDEAL 0-2a期定量/定性评估
J Med Imaging (Bellingham). 2023 Nov;10(6):065501. doi: 10.1117/1.JMI.10.6.065501. Epub 2023 Nov 6.
5
Compensation cycle consistent generative adversarial networks (Comp-GAN) for synthetic CT generation from MR scans with truncated anatomy.基于截断解剖的磁共振成像到 CT 合成的补偿循环一致生成对抗网络(Comp-GAN)。
Med Phys. 2023 Jul;50(7):4399-4414. doi: 10.1002/mp.16246. Epub 2023 Feb 4.
6
Inter-Observer Variability in MR-Based Target Volume Delineation of Uveal Melanoma.基于磁共振成像的葡萄膜黑色素瘤靶区勾画的观察者间变异性
Adv Radiat Oncol. 2022 Dec 24;8(3):101149. doi: 10.1016/j.adro.2022.101149. eCollection 2023 May-Jun.
7
Magnetic Resonance-Guided Radiation Therapy for Head and Neck Cancers.磁共振引导的头颈部癌症放射治疗。
Curr Oncol. 2022 Oct 31;29(11):8302-8315. doi: 10.3390/curroncol29110655.
8
Target Definition in MR-Guided Adaptive Radiotherapy for Head and Neck Cancer.头颈部癌磁共振引导自适应放射治疗中的靶区定义
Cancers (Basel). 2022 Jun 20;14(12):3027. doi: 10.3390/cancers14123027.
9
Comprehensive Quantitative Evaluation of Variability in Magnetic Resonance-Guided Delineation of Oropharyngeal Gross Tumor Volumes and High-Risk Clinical Target Volumes: An R-IDEAL Stage 0 Prospective Study.磁共振引导下口咽大体肿瘤体积和高危临床靶区勾画变异性的综合定量评估:一项 R-IDEAL 阶段 0 前瞻性研究。
Int J Radiat Oncol Biol Phys. 2022 Jun 1;113(2):426-436. doi: 10.1016/j.ijrobp.2022.01.050. Epub 2022 Feb 4.
10
A Prospectively Validated Prognostic Model for Patients with Locally Advanced Squamous Cell Carcinoma of the Head and Neck Based on Radiomics of Computed Tomography Images.基于计算机断层扫描图像放射组学的局部晚期头颈部鳞状细胞癌患者前瞻性验证预后模型
Cancers (Basel). 2021 Jun 29;13(13):3271. doi: 10.3390/cancers13133271.
与放射肿瘤学家-计算机交互相关的肺癌靶区勾画中的观察者差异:一项“老大哥”评估。
Radiother Oncol. 2005 Nov;77(2):182-90. doi: 10.1016/j.radonc.2005.09.017. Epub 2005 Oct 26.
4
Reduction of observer variation using matched CT-PET for lung cancer delineation: a three-dimensional analysis.使用匹配的CT-PET减少肺癌轮廓描绘中的观察者差异:三维分析
Int J Radiat Oncol Biol Phys. 2006 Feb 1;64(2):435-48. doi: 10.1016/j.ijrobp.2005.06.034. Epub 2005 Sep 28.
5
Target definition in prostate, head, and neck.前列腺、头部和颈部的靶区定义。
Semin Radiat Oncol. 2005 Jul;15(3):136-45. doi: 10.1016/j.semradonc.2005.01.005.
6
The role of PET-CT fusion in head and neck cancer.PET-CT融合在头颈癌中的作用。
Oncology (Williston Park). 2005 Feb;19(2):241-6; dicussion 246, 249-50, 253.
7
Quantification of shape variation of prostate and seminal vesicles during external beam radiotherapy.外照射放疗期间前列腺和精囊形状变化的量化
Int J Radiat Oncol Biol Phys. 2005 Jan 1;61(1):228-38. doi: 10.1016/j.ijrobp.2004.09.023.
8
CT-based delineation of lymph node levels in the neck: can we optimize the Consensus?基于CT的颈部淋巴结分区:我们能否优化共识?
Radiother Oncol. 2004 Dec;73(3):383-4; author reply 384-6. doi: 10.1016/j.radonc.2004.07.023.
9
Positron-emission tomography in prognostic and therapeutic assessment of lung cancer: systematic review.正电子发射断层扫描在肺癌预后和治疗评估中的应用:系统评价
Lancet Oncol. 2004 Sep;5(9):531-40. doi: 10.1016/S1470-2045(04)01564-5.
10
Tumor volume in pharyngolaryngeal squamous cell carcinoma: comparison at CT, MR imaging, and FDG PET and validation with surgical specimen.咽喉部鳞状细胞癌的肿瘤体积:CT、磁共振成像及氟代脱氧葡萄糖正电子发射断层显像的比较及手术标本验证
Radiology. 2004 Oct;233(1):93-100. doi: 10.1148/radiol.2331030660. Epub 2004 Aug 18.