• 文献检索
  • 文档翻译
  • 深度研究
  • 学术资讯
  • Suppr Zotero 插件Zotero 插件
  • 邀请有礼
  • 套餐&价格
  • 历史记录
应用&插件
Suppr Zotero 插件Zotero 插件浏览器插件Mac 客户端Windows 客户端微信小程序
定价
高级版会员购买积分包购买API积分包
服务
文献检索文档翻译深度研究API 文档MCP 服务
关于我们
关于 Suppr公司介绍联系我们用户协议隐私条款
关注我们

Suppr 超能文献

核心技术专利:CN118964589B侵权必究
粤ICP备2023148730 号-1Suppr @ 2026

文献检索

告别复杂PubMed语法,用中文像聊天一样搜索,搜遍4000万医学文献。AI智能推荐,让科研检索更轻松。

立即免费搜索

文件翻译

保留排版,准确专业,支持PDF/Word/PPT等文件格式,支持 12+语言互译。

免费翻译文档

深度研究

AI帮你快速写综述,25分钟生成高质量综述,智能提取关键信息,辅助科研写作。

立即免费体验

肌成纤维细胞在特发性肺纤维化中的作用。活跃的细胞外基质合成部位的超微结构和免疫组化特征。

The roles of the myofibroblast in idiopathic pulmonary fibrosis. Ultrastructural and immunohistochemical features of sites of active extracellular matrix synthesis.

作者信息

Kuhn C, McDonald J A

机构信息

Department of Pathology, Memorial Hospital of Rhode Island, Pawtucket 02860.

出版信息

Am J Pathol. 1991 May;138(5):1257-65.

PMID:2024710
原文链接:https://pmc.ncbi.nlm.nih.gov/articles/PMC1886011/
Abstract

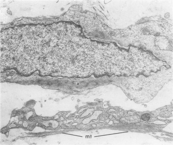
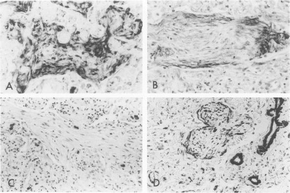
The synthesis of collagen and EIIIA-containing cellular fibronectin in certain forms of pulmonary fibrosis occurs in discrete locations: in the Masson bodies in bronchiolitis obliterans with organizing pneumonia and in focal clusters of fibroblasts (fibroblastic foci) within airspaces in usual interstitial pneumonia. These sites were examined by electron microscopy and immunohistochemistry using antibodies against cytoskeletal markers and extracellular matrix components in biopsies from three patients with bronchiolitis obliterans with organizing pneumonia and four patients with usual interstitial pneumonia. Fibroblasts of both Masson bodies and fibroblastic foci expressed vimentin and alpha smooth muscle actin but not desmin, distinguishing them from true smooth muscle. In both structures fibroblasts with well-formed actin filament bundles were aligned parallel to one another, enmeshed in a matrix of fibronectin-containing fibrils (microtendons) that linked cells and collagen bundles. Similar features characterize the phase of contraction during the healing of skin wounds. This suggests that active contractions of fibroblasts plays a role in the remodeling of the lung in pulmonary fibrosis.

摘要

在某些形式的肺纤维化中,胶原蛋白和含EIIIA的细胞纤连蛋白的合成发生在离散的位置:在闭塞性细支气管炎伴机化性肺炎的Masson小体中,以及在寻常性间质性肺炎气腔内的成纤维细胞局灶性簇(成纤维细胞灶)中。对3例闭塞性细支气管炎伴机化性肺炎患者和4例寻常性间质性肺炎患者的活检组织,采用针对细胞骨架标记物和细胞外基质成分的抗体,通过电子显微镜和免疫组织化学对这些部位进行了检查。Masson小体和成纤维细胞灶的成纤维细胞均表达波形蛋白和α平滑肌肌动蛋白,但不表达结蛋白,这将它们与真正的平滑肌区分开来。在这两种结构中,具有形成良好的肌动蛋白丝束的成纤维细胞彼此平行排列,陷入连接细胞和胶原束的含纤连蛋白原纤维(微肌腱)基质中。类似的特征也见于皮肤伤口愈合过程中的收缩阶段。这表明成纤维细胞的主动收缩在肺纤维化的肺重塑中起作用。

https://cdn.ncbi.nlm.nih.gov/pmc/blobs/7417/1886011/a185a3fc30b8/amjpathol00101-0200-b.jpg
https://cdn.ncbi.nlm.nih.gov/pmc/blobs/7417/1886011/7dd61ae83af1/amjpathol00101-0196-a.jpg
https://cdn.ncbi.nlm.nih.gov/pmc/blobs/7417/1886011/fbae6c67e679/amjpathol00101-0197-a.jpg
https://cdn.ncbi.nlm.nih.gov/pmc/blobs/7417/1886011/ecf9610529d4/amjpathol00101-0198-a.jpg
https://cdn.ncbi.nlm.nih.gov/pmc/blobs/7417/1886011/37d22dd69c8a/amjpathol00101-0199-a.jpg
https://cdn.ncbi.nlm.nih.gov/pmc/blobs/7417/1886011/687739faf04b/amjpathol00101-0200-a.jpg
https://cdn.ncbi.nlm.nih.gov/pmc/blobs/7417/1886011/a185a3fc30b8/amjpathol00101-0200-b.jpg
https://cdn.ncbi.nlm.nih.gov/pmc/blobs/7417/1886011/7dd61ae83af1/amjpathol00101-0196-a.jpg
https://cdn.ncbi.nlm.nih.gov/pmc/blobs/7417/1886011/fbae6c67e679/amjpathol00101-0197-a.jpg
https://cdn.ncbi.nlm.nih.gov/pmc/blobs/7417/1886011/ecf9610529d4/amjpathol00101-0198-a.jpg
https://cdn.ncbi.nlm.nih.gov/pmc/blobs/7417/1886011/37d22dd69c8a/amjpathol00101-0199-a.jpg
https://cdn.ncbi.nlm.nih.gov/pmc/blobs/7417/1886011/687739faf04b/amjpathol00101-0200-a.jpg
https://cdn.ncbi.nlm.nih.gov/pmc/blobs/7417/1886011/a185a3fc30b8/amjpathol00101-0200-b.jpg

相似文献

1
The roles of the myofibroblast in idiopathic pulmonary fibrosis. Ultrastructural and immunohistochemical features of sites of active extracellular matrix synthesis.肌成纤维细胞在特发性肺纤维化中的作用。活跃的细胞外基质合成部位的超微结构和免疫组化特征。
Am J Pathol. 1991 May;138(5):1257-65.
2
Rat alveolar myofibroblasts acquire alpha-smooth muscle actin expression during bleomycin-induced pulmonary fibrosis.在博来霉素诱导的肺纤维化过程中,大鼠肺泡肌成纤维细胞获得α-平滑肌肌动蛋白表达。
Am J Pathol. 1993 Dec;143(6):1754-65.
3
An immunohistochemical study of architectural remodeling and connective tissue synthesis in pulmonary fibrosis.肺纤维化中结构重塑和结缔组织合成的免疫组织化学研究
Am Rev Respir Dis. 1989 Dec;140(6):1693-703. doi: 10.1164/ajrccm/140.6.1693.
4
Proliferative activity in fibrosing lung diseases: a comparative study of Ki-67 immunoreactivity in diffuse alveolar damage, bronchiolitis obliterans-organizing pneumonia, and usual interstitial pneumonia.纤维化性肺疾病中的增殖活性:弥漫性肺泡损伤、闭塞性细支气管炎并机化性肺炎及寻常型间质性肺炎中Ki-67免疫反应性的比较研究
Hum Pathol. 2009 Aug;40(8):1182-8. doi: 10.1016/j.humpath.2009.01.006. Epub 2009 Apr 14.
5
The definition of fibrogenic processes in fibroblastic foci of idiopathic pulmonary fibrosis based on morphometric quantification of extracellular matrices.基于细胞外基质形态计量学定量分析的特发性肺纤维化成纤维细胞灶中纤维化过程的定义。
Hum Pathol. 2009 Sep;40(9):1278-87. doi: 10.1016/j.humpath.2009.01.014. Epub 2009 Apr 22.
6
Immunolocalization of collagen and collagen-binding heat shock protein 47 in fibrotic lung diseases.纤维化肺部疾病中胶原蛋白及胶原结合热休克蛋白47的免疫定位
Mod Pathol. 1998 Dec;11(12):1183-8.
7
Bronchiolitis interstitial pneumonitis: a pathologic study of 31 lung biopsies with features intermediate between bronchiolitis obliterans organizing pneumonia and usual interstitial pneumonitis, with clinical correlation.细支气管炎性间质性肺炎:31例肺活检的病理学研究,其特征介于闭塞性细支气管炎并机化性肺炎和普通间质性肺炎之间,并与临床相关。
Ann Diagn Pathol. 2008 Jun;12(3):171-80. doi: 10.1016/j.anndiagpath.2007.07.002. Epub 2007 Oct 24.
8
[Immunohistochemical study of myofibroblast and S-100 protein positive cells in interstitial pneumonia associated with collagen vascular disease].[胶原血管病相关间质性肺炎中肌成纤维细胞和S-100蛋白阳性细胞的免疫组织化学研究]
Ryumachi. 1997 Feb;37(1):9-15.
9
Intra-alveolar fibrosis of idiopathic bronchiolitis obliterans-organizing pneumonia. Cell-matrix patterns.特发性闭塞性细支气管炎伴机化性肺炎的肺泡内纤维化。细胞-基质模式。
Am J Pathol. 1990 Jul;137(1):155-70.
10
Localization of matrix metalloproteinases-1, -2, and -9 and tissue inhibitor of metalloproteinase-2 in interstitial lung diseases.基质金属蛋白酶-1、-2和-9以及金属蛋白酶组织抑制剂-2在间质性肺疾病中的定位
Lab Invest. 1998 Jun;78(6):687-98.

引用本文的文献

1
Fibroblasts in immune responses, inflammatory diseases and therapeutic implications.成纤维细胞在免疫反应、炎症性疾病及治疗中的意义。
Nat Rev Rheumatol. 2025 May 14. doi: 10.1038/s41584-025-01259-0.
2
The Role of Activated Stromal Cells in Fibrotic Foci Formation and Reversion.活化基质细胞在纤维化病灶形成和逆转中的作用。
Cells. 2024 Dec 13;13(24):2064. doi: 10.3390/cells13242064.
3
Targeting nanoparticles to lung cancer-derived A549 cells based on changes on interstitial stiffness in biomimetic models.基于仿生模型中间质硬度的变化,将纳米颗粒靶向肺癌衍生的A549细胞。

本文引用的文献

1
Fibroblast traction as a mechanism for collagen morphogenesis.成纤维细胞牵引作为胶原蛋白形态发生的一种机制。
Nature. 1981 Mar 19;290(5803):249-51. doi: 10.1038/290249a0.
2
Cryptogenic organizing pneumonitis.
Q J Med. 1983 Summer;52(207):382-94.
3
The myofibroblast anchoring strand--the fibronectin connection in wound healing and the possible loci of collagen fibril assembly.肌成纤维细胞锚定链——伤口愈合中的纤连蛋白连接以及胶原原纤维组装的可能位点。
J Trauma. 1983 Oct;23(10):853-62. doi: 10.1097/00005373-198310000-00001.
iScience. 2024 Sep 23;27(10):111015. doi: 10.1016/j.isci.2024.111015. eCollection 2024 Oct 18.
4
Application of Innovative 3D Pathological Tactic for Diagnosis of Organizing Pneumonia.创新三维病理策略在机化性肺炎诊断中的应用。
In Vivo. 2024 Jul-Aug;38(4):1993-2000. doi: 10.21873/invivo.13656.
5
DNA methylation modification in Idiopathic pulmonary fibrosis.特发性肺纤维化中的DNA甲基化修饰
Front Cell Dev Biol. 2024 Jun 10;12:1416325. doi: 10.3389/fcell.2024.1416325. eCollection 2024.
6
Dysregulated bidirectional epithelial-mesenchymal crosstalk: a core determinant of lung fibrosis progression.上皮-间质双向串扰失调:肺纤维化进展的核心决定因素
Chin Med J Pulm Crit Care Med. 2024 Mar;2(1):27-33. doi: 10.1016/j.pccm.2024.02.001.
7
A Comparison of the Effectiveness of Nintedanib and Pirfenidone in Treating Idiopathic Pulmonary Fibrosis: A Systematic Review.尼达尼布和吡非尼酮治疗特发性肺纤维化有效性的比较:一项系统评价
Cureus. 2024 Feb 15;16(2):e54268. doi: 10.7759/cureus.54268. eCollection 2024 Feb.
8
TGF-β1, pSmad-2/3, Smad-7, and β-Catenin Are Augmented in the Pulmonary Arteries from Patients with Idiopathic Pulmonary Fibrosis (IPF): Role in Driving Endothelial-to-Mesenchymal Transition (EndMT).转化生长因子-β1(TGF-β1)、磷酸化Smad-2/3(pSmad-2/3)、Smad-7和β-连环蛋白在特发性肺纤维化(IPF)患者的肺动脉中表达增加:在驱动内皮-间充质转化(EndMT)中的作用。
J Clin Med. 2024 Feb 19;13(4):1160. doi: 10.3390/jcm13041160.
9
Fibroblast Activation Protein Alpha (FAPα) in Fibrosis: Beyond a Perspective Marker for Activated Stromal Cells?成纤维细胞激活蛋白α(FAPα)在纤维化中的作用:是否超越了激活的基质细胞的标志物?
Biomolecules. 2023 Nov 29;13(12):1718. doi: 10.3390/biom13121718.
10
Chlamydial YAP activation in host endocervical epithelial cells mediates pro-fibrotic paracrine stimulation of fibroblasts.沙眼衣原体在宿主宫颈内上皮细胞中的 YAP 激活介导成纤维细胞的促纤维化旁分泌刺激。
mSystems. 2023 Dec 21;8(6):e0090423. doi: 10.1128/msystems.00904-23. Epub 2023 Oct 24.
4
Monoclonal antibodies specific for vimentin.针对波形蛋白的单克隆抗体。
Eur J Cell Biol. 1984 May;34(1):137-43.
5
Monoclonal antibodies to desmin, the muscle-specific intermediate filament protein.针对结蛋白(一种肌肉特异性中间丝蛋白)的单克隆抗体。
EMBO J. 1983;2(12):2305-12. doi: 10.1002/j.1460-2075.1983.tb01738.x.
6
In vivo co-distribution of fibronectin and actin fibers in granulation tissue: immunofluorescence and electron microscope studies of the fibronexus at the myofibroblast surface.纤维连接蛋白与肌动蛋白纤维在肉芽组织中的体内共分布:成肌纤维细胞表面纤维连接桥粒的免疫荧光和电子显微镜研究
J Cell Biol. 1984 Jun;98(6):2091-106. doi: 10.1083/jcb.98.6.2091.
7
Increased contractility of isolated lung parenchyma in an animal model of pulmonary fibrosis induced by bleomycin.博来霉素诱导的肺纤维化动物模型中,离体肺实质收缩性增强。
Am Rev Respir Dis. 1982 Jan;125(1):89-94. doi: 10.1164/arrd.1982.125.1.89.
8
The influence of fixation and tissue preparation on the immunohistochemical demonstration of fibronectin in human tissue.固定和组织制备对人组织中纤连蛋白免疫组织化学显示的影响。
Histochemistry. 1981;72(2):291-9. doi: 10.1007/BF00517142.
9
Use of avidin-biotin-peroxidase complex (ABC) in immunoperoxidase techniques: a comparison between ABC and unlabeled antibody (PAP) procedures.抗生物素蛋白-生物素-过氧化物酶复合物(ABC)在免疫过氧化物酶技术中的应用:ABC法与未标记抗体(PAP)法的比较。
J Histochem Cytochem. 1981 Apr;29(4):577-80. doi: 10.1177/29.4.6166661.
10
Myofibroblasts in human granulation tissue.人类肉芽组织中的肌成纤维细胞。
Hum Pathol. 1974 Jan;5(1):55-67. doi: 10.1016/s0046-8177(74)80100-0.