Suppr超能文献

青年女性结节性多动脉炎致急性心肌梗死

Acute Myocardial Infarction due to Polyarteritis Nodosa in a Young Female Patient.

机构信息

Division of Cardiology, Department of Internal Medicine, Yonsei University College of Medicine, Seoul, Korea.

出版信息

Korean Circ J. 2010 Apr;40(4):197-200. doi: 10.4070/kcj.2010.40.4.197. Epub 2010 Apr 22.

Abstract

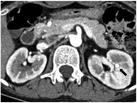
Coronary artery aneurysms are uncommon, are usually associated with atherosclerosis, and rarely involve all three major coronary arteries. The present report describes a rare case of a young female patient presenting with acute myocardial infarction (AMI). Coronary angiography revealed multiple severe aneurysmal and stenotic changes. Based on clinical feature and angiographic findings, it was strongly suspected that the patient had polyarteritis nodosa (PAN) complicated by AMI. The patient was treated with standard cardiac medications and immunosuppressive agents and has remained stable without further complications during a follow-up period of 6 months.

摘要

冠状动脉瘤并不常见,通常与动脉粥样硬化有关,很少累及所有三支主要冠状动脉。本报告描述了一例年轻女性患者急性心肌梗死(AMI)的罕见病例。冠状动脉造影显示多处严重的动脉瘤样和狭窄性改变。根据临床特征和血管造影结果,强烈怀疑患者患有结节性多动脉炎(PAN)合并 AMI。患者接受了标准的心脏药物和免疫抑制剂治疗,在 6 个月的随访期间病情稳定,没有进一步的并发症。

https://cdn.ncbi.nlm.nih.gov/pmc/blobs/5fc0/2859338/4c64bd3ef5ab/kcj-40-197-g001.jpg

文献AI研究员

20分钟写一篇综述,助力文献阅读效率提升50倍。

立即体验

用中文搜PubMed

大模型驱动的PubMed中文搜索引擎

马上搜索

文档翻译

学术文献翻译模型,支持多种主流文档格式。

立即体验