Suppr超能文献

金属对金属髋关节假瘤样组织的组织学特征。

Histological features of pseudotumor-like tissues from metal-on-metal hips.

机构信息

J Vernon Luck Sr MD Orthopaedic Research Center, Orthopaedic Hospital/UCLA, 2400 S Flower Street, Los Angeles, CA 90007, USA.

出版信息

Clin Orthop Relat Res. 2010 Sep;468(9):2321-7. doi: 10.1007/s11999-010-1372-y.

Abstract

BACKGROUND

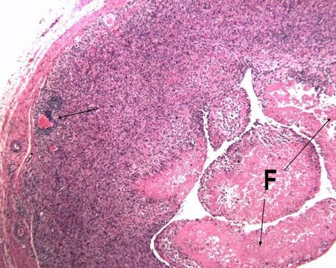
Pseudotumor-like periprosthetic tissue reactions around metal-on-metal (M-M) hip replacements can cause pain and lead to revision surgery. The cause of these reactions is not well understood but could be due to excessive wear, or metal hypersensitivity or an as-yet unknown cause. The tissue features may help distinguish reactions to high wear from those with suspected metal hypersensitivity.

QUESTIONS/PURPOSES: We therefore examined the synovial lining integrity, inflammatory cell infiltrates, tissue organization, necrosis and metal wear particles of pseudotumor-like tissues from M-M hips revised for suspected high wear related and suspected metal hypersensitivity causes.

METHODS

Tissue samples from 32 revised hip replacements with pseudotumor-like reactions were studied. A 10-point histological score was used to rank the degree of aseptic lymphocytic vasculitis-associated lesions (ALVAL) by examination of synovial lining integrity, inflammatory cell infiltrates, and tissue organization. Lymphocytes, macrophages, plasma cells, giant cells, necrosis and metal wear particles were semiquantitatively rated. Implant wear was measured with a coordinate measuring machine. The cases were divided into those suspected of having high wear and those suspected of having metal hypersensitivity based on clinical, radiographic and retrieval findings. The Mann-Whitney test was used to compare the histological features in these two groups.

RESULTS

The tissues from patients revised for suspected high wear had a lower ALVAL score, fewer lymphocytes, but more macrophages and metal particles than those tissues from hips revised for pain and suspected metal hypersensitivity. The highest ALVAL scores occurred in patients who were revised for pain and suspected metal hypersensitivity. Component wear was lower in that group.

CONCLUSIONS

Pseudotumor-like reactions can be caused by high wear, but may also occur around implants with low wear, likely because of a metal hypersensitivity reaction. Histologic features including synovial integrity, inflammatory cell infiltrates, tissue organization, and metal particles may help differentiate these causes.

CLINICAL RELEVANCE

Painful hips with periprosthetic masses may be caused by high wear, but if this can be ruled out, metal hypersensitivity should be considered.

摘要

背景

金属对金属(M-M)髋关节置换术后出现类似假性肿瘤的假体周围组织反应可引起疼痛,并导致翻修手术。这些反应的原因尚不清楚,但可能是由于过度磨损,或金属过敏或尚未知晓的原因。组织特征可能有助于区分与高磨损相关的反应和疑似金属过敏反应。

问题/目的:因此,我们检查了因疑似高磨损相关原因和疑似金属过敏原因而翻修的 M-M 髋关节的假性肿瘤样组织的滑膜衬里完整性、炎症细胞浸润、组织学结构、坏死和金属磨损颗粒。

方法

研究了 32 例因假性肿瘤样反应而翻修的髋关节置换术的组织样本。通过检查滑膜衬里完整性、炎症细胞浸润和组织学结构,使用 10 分组织学评分来对无菌性淋巴细胞血管炎相关病变(ALVAL)的程度进行分级。淋巴细胞、巨噬细胞、浆细胞、巨细胞、坏死和金属磨损颗粒进行半定量评分。使用坐标测量机测量植入物磨损。根据临床、影像学和取出物发现,将病例分为疑似高磨损和疑似金属过敏。使用 Mann-Whitney 检验比较这两组的组织学特征。

结果

因疑似高磨损而翻修的患者组织的 ALVAL 评分较低,淋巴细胞较少,但巨噬细胞和金属颗粒较多,而因疼痛和疑似金属过敏而翻修的患者组织的 ALVAL 评分较高。最高的 ALVAL 评分出现在因疼痛和疑似金属过敏而翻修的患者中。该组的组件磨损较低。

结论

假性肿瘤样反应可能由高磨损引起,但也可能发生在低磨损的植入物周围,可能是由于金属过敏反应。包括滑膜完整性、炎症细胞浸润、组织学结构和金属颗粒等组织学特征有助于区分这些原因。

临床相关性

有假体周围肿块的疼痛髋关节可能是由高磨损引起的,但如果可以排除这种情况,则应考虑金属过敏。

https://cdn.ncbi.nlm.nih.gov/pmc/blobs/4c8c/2919858/ba9bf354fbd5/11999_2010_1372_Fig1_HTML.jpg

文献AI研究员

20分钟写一篇综述,助力文献阅读效率提升50倍。

立即体验

用中文搜PubMed

大模型驱动的PubMed中文搜索引擎

马上搜索

文档翻译

学术文献翻译模型,支持多种主流文档格式。

立即体验