Suppr超能文献

从慢性萎缩性胃炎到胃癌的进展;用高丽红参来梳理、调整、应对。

Progression from chronic atrophic gastritis to gastric cancer; tangle, toggle, tackle with Korea red ginseng.

机构信息

Department of Gastroenterology Gachon Graduate School of Medicine, 7-45 Songdo-dong, Yeonsu-gu, Incheon 406-840, Korea.

出版信息

J Clin Biochem Nutr. 2010 May;46(3):195-204. doi: 10.3164/jcbn.10-03. Epub 2010 Apr 10.

Abstract

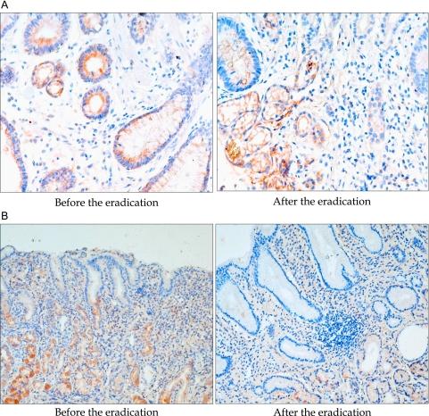
Key molecular players that link inflammation to carcinogenesis are prostaglandins, cytokines, nuclear factor-kappaB (NF-kappaB), chemokines, angiogenic growth factors, and free radicals, all of which lead to increased mutations and altered functions of important enzymes and proteins, for example, activation of oncogenic products and/or inhibition of tumor suppressor proteins, in inflamed tissues, thus contributing to multi-stage carcinogenesis process. Interpreted reversely, the identification of the molecular mechanisms by which chronic inflammation increases cancer risk or optimal intervention of targeted drugs or agents during the inflammation-associated carcinogenic process could be a necessary basis for developing new strategy of cancer prevention at many sites. In this review, we discuss the possibilities for cancer prevention by controlling inflammation process in Helicobacter pylori (H. pylori)-associated inflamed stomach with Korea red ginseng. Korea red ginseng is a good example of a natural herb that has ubiquitous properties that are conductive to stop inflammatory carcinogenesis that is un wanted outcome of H. pylori infection, rendering rejuvenation of chronic atrophic gastritis.

摘要

将炎症与癌变联系起来的关键分子参与者包括前列腺素、细胞因子、核因子-κB(NF-κB)、趋化因子、血管生成生长因子和自由基,所有这些都导致突变增加和重要酶和蛋白质的功能改变,例如,在炎症组织中激活致癌产物和/或抑制肿瘤抑制蛋白,从而促进多阶段癌变过程。反过来解释,通过鉴定慢性炎症增加癌症风险的分子机制,或者在与炎症相关的致癌过程中最佳干预靶向药物或制剂,可能是在许多部位开发癌症预防新策略的必要基础。在这篇综述中,我们讨论了通过控制与幽门螺杆菌(H. pylori)相关的炎症过程来预防癌症的可能性,该过程与韩国红参相关。韩国红参是一种天然草药的一个很好的例子,它具有无处不在的特性,有助于阻止炎症性致癌发生,这是 H. pylori 感染的不良后果,使慢性萎缩性胃炎得以恢复活力。

https://cdn.ncbi.nlm.nih.gov/pmc/blobs/08c6/2872224/d4a05b9fde72/jcbn10-03f01.jpg

文献AI研究员

20分钟写一篇综述,助力文献阅读效率提升50倍。

立即体验

用中文搜PubMed

大模型驱动的PubMed中文搜索引擎

马上搜索

文档翻译

学术文献翻译模型,支持多种主流文档格式。

立即体验