Suppr超能文献

在波兰弗罗茨瓦夫环境与生命科学大学马、狗和猫临床兽医系内科,诊断出患有化学感受器瘤的犬病例。

Cases with manifestation of chemodectoma diagnosed in dogs in Department of Internal Diseases with Horses, Dogs and Cats Clinic, Veterinary Medicine Faculty, University of Environmental and Life Sciences, Wroclaw, Poland.

机构信息

Department of Internal Diseases with Horses, Dogs and Cats Clinic, Veterinary Medicine Faculty, University of Environmental and Life Sciences Wroclaw 50-366, Poland.

出版信息

Acta Vet Scand. 2010 May 22;52(1):35. doi: 10.1186/1751-0147-52-35.

Abstract

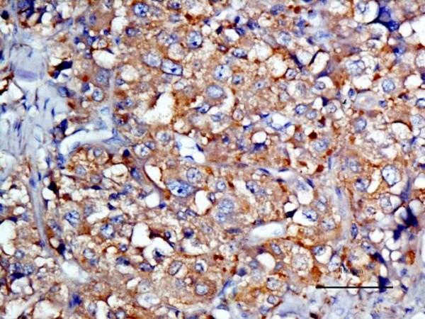
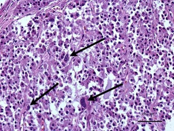
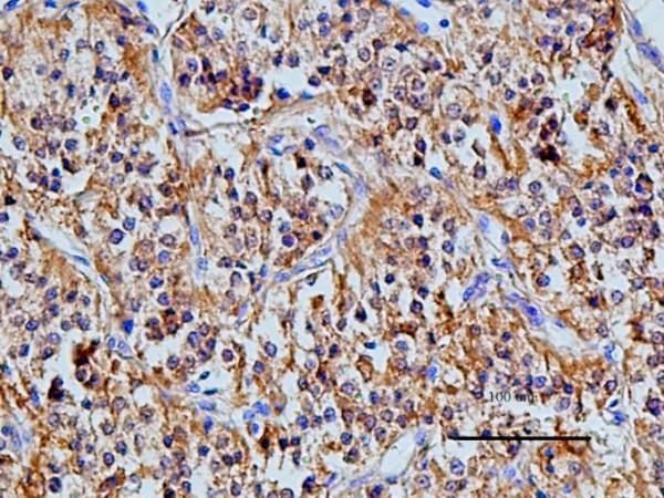
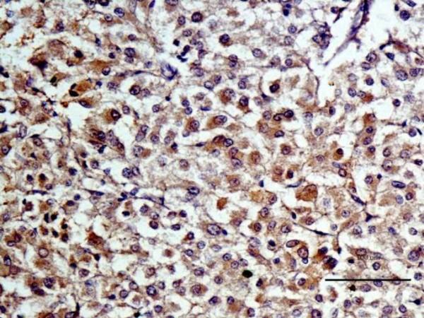
In the period of 3 years, 9 tumours of chemodectoma were supravitally diagnosed and histopathologically verified in dogs. In this period 15 351 dogs were admitted to the Clinic of Dogs and Cats and 2 145 dogs were examined in the cardiological outpatient clinic for dogs. This tumour is located in a typical place--at the base of the heart. Most frequently the tumour manifested in older boxers. Only in one case such a tumour was diagnosed in another breed of dogs. The tumours ranged in size between 3 and 16 cm in diameter. The principal sign accompanying tumours of cardiac base involved dyspnoea but in 3 cases the tumours yielded no clinical signs. All the diagnoses were additionally verified using immunohistochemical examination. We used antibodies to chromogranin A (clone DAK-A3 1:100), synaptophysin (clone SY38 1:20) and neuron-specific enolase (clone BBS/NC/VI-H14 1:150). An immunohistochemical examination is vital for the diagnosis since it allows to differentiate histologically distinct types of neoplasia which may locate in the same site and may manifest a similar histological pattern.

摘要

在 3 年的时间里,我们在狗身上成功诊断并通过组织病理学验证了 9 例嗜铬细胞瘤。在此期间,有 15351 只狗到犬猫诊所就诊,有 2145 只狗在犬心脏科门诊进行了检查。这种肿瘤通常位于心脏底部这个典型位置。大多数情况下,这种肿瘤出现在老年拳击犬身上。只有在一个病例中,在另一个品种的狗身上诊断出了这种肿瘤。肿瘤直径在 3 至 16 厘米之间。伴随心脏基底肿瘤的主要症状是呼吸困难,但在 3 例中,肿瘤没有产生任何临床症状。所有诊断均通过免疫组织化学检查进一步验证。我们使用了针对嗜铬粒蛋白 A(克隆 DAK-A3,1:100)、突触素(克隆 SY38,1:20)和神经元特异性烯醇化酶(克隆 BBS/NC/VI-H14,1:150)的抗体。免疫组织化学检查对于诊断至关重要,因为它可以区分可能位于同一部位并表现出相似组织学模式的组织学上不同类型的肿瘤。

https://cdn.ncbi.nlm.nih.gov/pmc/blobs/14b2/2886050/7000ff20fa01/1751-0147-52-35-1.jpg

文献AI研究员

20分钟写一篇综述,助力文献阅读效率提升50倍。

立即体验

用中文搜PubMed

大模型驱动的PubMed中文搜索引擎

马上搜索

文档翻译

学术文献翻译模型,支持多种主流文档格式。

立即体验