• 文献检索
  • 文档翻译
  • 深度研究
  • 学术资讯
  • Suppr Zotero 插件Zotero 插件
  • 邀请有礼
  • 套餐&价格
  • 历史记录
应用&插件
Suppr Zotero 插件Zotero 插件浏览器插件Mac 客户端Windows 客户端微信小程序
定价
高级版会员购买积分包购买API积分包
服务
文献检索文档翻译深度研究API 文档MCP 服务
关于我们
关于 Suppr公司介绍联系我们用户协议隐私条款
关注我们

Suppr 超能文献

核心技术专利:CN118964589B侵权必究
粤ICP备2023148730 号-1Suppr @ 2026

文献检索

告别复杂PubMed语法,用中文像聊天一样搜索,搜遍4000万医学文献。AI智能推荐,让科研检索更轻松。

立即免费搜索

文件翻译

保留排版,准确专业,支持PDF/Word/PPT等文件格式,支持 12+语言互译。

免费翻译文档

深度研究

AI帮你快速写综述,25分钟生成高质量综述,智能提取关键信息,辅助科研写作。

立即免费体验

并发复发性气胸的胸膜曲霉菌病:一例报告

Pleural aspergillosis complicated by recurrent pneumothorax: a case report.

作者信息

Zhang Weihua, Hu Ye, Chen Liang'an, Gao Jie, Xie Lixin

机构信息

Department of Respiratory Medicine, Chinese PLA General Hospital, 28th Fuxing Road, Beijing, 100853, China.

出版信息

J Med Case Rep. 2010 Jun 17;4:180. doi: 10.1186/1752-1947-4-180.

DOI:10.1186/1752-1947-4-180
PMID:20565739
原文链接:https://pmc.ncbi.nlm.nih.gov/articles/PMC2898700/
Abstract

INTRODUCTION

Pneumothorax as the first symptom of pleural aspergillosis is rare.

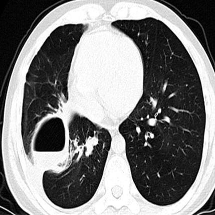
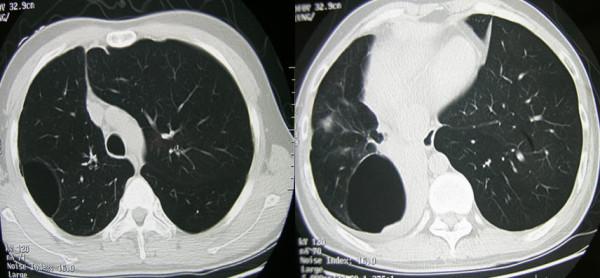
CASE PRESENTATION

A 31-year-old asthmatic Chinese man presented with recurrent spontaneous pneumothorax and underwent lobectomy due to persistent air leakage. Aspergillus was detected histopathologically in the visceral pleural cavity. He was treated with itraconazole at 200 mg a day, and nine months later he had no recurrent pneumothorax or aspergillus infection.

CONCLUSION

Recurrent pneumothorax may be a rare manifestation of aspergillus infection. Aspergillus species infection should be considered in the differential diagnosis of recurrent pneumothorax patients, particularly those with chronic lung disease.

摘要

引言

气胸作为胸膜曲霉菌病的首发症状较为罕见。

病例报告

一名31岁的中国哮喘男性患者出现复发性自发性气胸,因持续漏气接受了肺叶切除术。在内脏胸膜腔中通过组织病理学检测到曲霉菌。他接受了每日200毫克的伊曲康唑治疗,九个月后未再出现复发性气胸或曲霉菌感染。

结论

复发性气胸可能是曲霉菌感染的罕见表现。在复发性气胸患者,尤其是患有慢性肺部疾病的患者的鉴别诊断中应考虑曲霉菌感染。

https://cdn.ncbi.nlm.nih.gov/pmc/blobs/a810/2898700/c08952f854b3/1752-1947-4-180-6.jpg
https://cdn.ncbi.nlm.nih.gov/pmc/blobs/a810/2898700/54c8014485f2/1752-1947-4-180-1.jpg
https://cdn.ncbi.nlm.nih.gov/pmc/blobs/a810/2898700/13583d2e919c/1752-1947-4-180-2.jpg
https://cdn.ncbi.nlm.nih.gov/pmc/blobs/a810/2898700/8c1d1687cdf3/1752-1947-4-180-3.jpg
https://cdn.ncbi.nlm.nih.gov/pmc/blobs/a810/2898700/db917dc77a9a/1752-1947-4-180-4.jpg
https://cdn.ncbi.nlm.nih.gov/pmc/blobs/a810/2898700/9b324271ca09/1752-1947-4-180-5.jpg
https://cdn.ncbi.nlm.nih.gov/pmc/blobs/a810/2898700/c08952f854b3/1752-1947-4-180-6.jpg
https://cdn.ncbi.nlm.nih.gov/pmc/blobs/a810/2898700/54c8014485f2/1752-1947-4-180-1.jpg
https://cdn.ncbi.nlm.nih.gov/pmc/blobs/a810/2898700/13583d2e919c/1752-1947-4-180-2.jpg
https://cdn.ncbi.nlm.nih.gov/pmc/blobs/a810/2898700/8c1d1687cdf3/1752-1947-4-180-3.jpg
https://cdn.ncbi.nlm.nih.gov/pmc/blobs/a810/2898700/db917dc77a9a/1752-1947-4-180-4.jpg
https://cdn.ncbi.nlm.nih.gov/pmc/blobs/a810/2898700/9b324271ca09/1752-1947-4-180-5.jpg
https://cdn.ncbi.nlm.nih.gov/pmc/blobs/a810/2898700/c08952f854b3/1752-1947-4-180-6.jpg

相似文献

1
Pleural aspergillosis complicated by recurrent pneumothorax: a case report.并发复发性气胸的胸膜曲霉菌病:一例报告
J Med Case Rep. 2010 Jun 17;4:180. doi: 10.1186/1752-1947-4-180.
2
A case of aspergilloma detected after surgery for pneumothorax.一例气胸手术后发现的曲菌球病例。
Ann Thorac Cardiovasc Surg. 2006 Aug;12(4):267-9.
3
Chronic necrotizing pulmonary aspergillosis complicated by pneumothorax.慢性坏死性肺曲霉病合并气胸。
Infection. 2004 Aug;32(4):239-41. doi: 10.1007/s15010-004-3105-1.
4
Chronic necrotising pulmonary aspergillosis: an uncommon aetiology of pneumothorax.慢性坏死性肺曲霉病:一种罕见的气胸病因。
BMJ Case Rep. 2014 Sep 23;2014:bcr2014204137. doi: 10.1136/bcr-2014-204137.
5
Subacute invasive pulmonary aspergillosis as a rare cause of pneumothorax in immunocompetent patient: brief report.亚急性侵袭性肺曲霉病作为免疫功能正常患者气胸的罕见病因:简要报告
Infection. 2017 Jun;45(3):377-380. doi: 10.1007/s15010-017-0994-3. Epub 2017 Feb 23.
6
Spontaneous pneumothorax associated with Aspergillus bronchopneumonia in a dog.一只狗患曲霉性支气管肺炎并发自发性气胸。
J Vet Emerg Crit Care (San Antonio). 2013 Nov-Dec;23(6):624-30. doi: 10.1111/vec.12118.
7
The best time for surgery on a patient with recurrent pneumothorax and undetectable culprit lesions is at the exact time air leakage is discovered: a case report.对于复发性气胸且未发现明确病因病变的患者,最佳手术时机是在发现漏气的确切时间:一例病例报告。
J Cardiothorac Surg. 2016 Aug 2;11(1):114. doi: 10.1186/s13019-016-0514-z.
8
Complicated pulmonary aspergillosis with pneumothorax and pneumopericardium in a child with acute lymphoblastic leukemia.一名急性淋巴细胞白血病患儿并发肺曲霉病伴气胸和心包积气
Pediatr Hematol Oncol. 1995 Mar-Apr;12(2):195-9. doi: 10.3109/08880019509029555.
9
Pleuritis clinically diagnosed as aspergillosis during the course of microscopic polyangiitis.在显微镜下多血管炎病程中临床诊断为曲霉病的胸膜炎。
Intern Med. 2014;53(24):2821-4. doi: 10.2169/internalmedicine.53.2168. Epub 2014 Dec 15.
10
A young immunocompetent patient with spontaneous empyema who developed severe eosinophilia.一名年轻的免疫功能正常的患者,患有自发性脓胸,并出现了严重的嗜酸性粒细胞增多症。
Respir Med Case Rep. 2017 Aug 30;22:220-223. doi: 10.1016/j.rmcr.2017.08.022. eCollection 2017.

引用本文的文献

1
Spontaneous pleural aspergillosis in an immunocompetent young adult treated with minimally invasive surgery.一名免疫功能正常的年轻成人自发性胸膜曲霉菌病经微创手术治疗
Respir Med Case Rep. 2023 May 11;44:101869. doi: 10.1016/j.rmcr.2023.101869. eCollection 2023.
2
Invasive Pulmonary Aspergillosis with Hydropneumothorax in a Patient Taking High-Dose Glucocorticoids.高剂量糖皮质激素治疗患者并发侵袭性肺曲霉病伴液气胸。
Am J Case Rep. 2020 Dec 28;21:e928499. doi: 10.12659/AJCR.928499.
3
Spontaneous pneumothorax secondary to chronic cavitary pulmonary histoplasmosis.

本文引用的文献

1
A case of aspergilloma detected after surgery for pneumothorax.一例气胸手术后发现的曲菌球病例。
Ann Thorac Cardiovasc Surg. 2006 Aug;12(4):267-9.
2
Bilateral spontaneous pneumothorax in a patient with pulmonary rheumatoid nodules, secondary infected by Aspergillus.一名患有肺部类风湿结节且继发曲霉菌感染的患者出现双侧自发性气胸。
Clin Rheumatol. 2007 Jul;26(7):1180-2. doi: 10.1007/s10067-006-0319-x. Epub 2006 May 3.
3
[Pneumothorax as a complication of chronic necrotizing pulmonary aspergillosis].
继发于慢性空洞型肺组织胞浆菌病的自发性气胸。
J Community Hosp Intern Med Perspect. 2020 Sep 3;10(5):483-487. doi: 10.1080/20009666.2020.1797285.
4
Pleural aspergillosis in a patient with recurrent spontaneous pneumothorax: The challenge of an optimal therapeutic approach.复发性自发性气胸患者的胸膜曲霉菌病:最佳治疗方法面临的挑战。
Med Mycol Case Rep. 2020 Feb 24;28:4-7. doi: 10.1016/j.mmcr.2020.02.004. eCollection 2020 Jun.
5
Respiratory Fungal Diseases in Adult Patients With Cystic Fibrosis.成年囊性纤维化患者的呼吸道真菌病
Clin Med Insights Circ Respir Pulm Med. 2019 May 22;13:1179548419849939. doi: 10.1177/1179548419849939. eCollection 2019.
6
Pyopneumothorax secondary to Aspergillus infection: a case report.曲霉菌感染继发脓气胸:一例报告
Oman Med J. 2012 Nov;27(6):494-6. doi: 10.5001/omj.2012.118.
Ned Tijdschr Geneeskd. 2005 Mar 12;149(11):598-600.
4
Detection of circulating Aspergillus fumigatus galactomannan: value and limits of the Platelia test for diagnosing invasive aspergillosis.循环烟曲霉半乳甘露聚糖的检测:用于诊断侵袭性曲霉病的普立泰检测的价值与局限性
J Clin Microbiol. 2003 May;41(5):2184-6. doi: 10.1128/JCM.41.5.2184-2186.2003.
5
Trends in the postmortem epidemiology of invasive fungal infections at a university hospital.某大学医院侵袭性真菌感染的尸检流行病学趋势
J Infect. 1996 Jul;33(1):23-32. doi: 10.1016/s0163-4453(96)92700-0.
6
[Chronic necrotizing pulmonary aspergillosis complicated by pneumothorax].[慢性坏死性肺曲霉病合并气胸]
Nihon Kyobu Shikkan Gakkai Zasshi. 1996 Feb;34(2):210-5.
7
[A case of spontaneous pneumothorax due to rupture of bleb infected with aspergillosis].
Nihon Kyobu Shikkan Gakkai Zasshi. 1993 Mar;31(3):364-7.
8
[A case of pulmonary aspergillosis presenting pulmonary bulla and eosinophilic pneumonia].[一例呈现肺大疱和嗜酸性粒细胞性肺炎的肺曲霉病病例]
Nihon Kyobu Shikkan Gakkai Zasshi. 1991 Jul;29(7):904-8.