Suppr超能文献

弹道创伤与枪伤的平民视角。

A civilian perspective on ballistic trauma and gunshot injuries.

作者信息

Lichte Philipp, Oberbeck Reiner, Binnebösel Marcel, Wildenauer Rene, Pape Hans-Christoph, Kobbe Philipp

机构信息

Department of Trauma Surgery, University Hospital of the RWTH Aachen, Aachen, Germany.

出版信息

Scand J Trauma Resusc Emerg Med. 2010 Jun 17;18:35. doi: 10.1186/1757-7241-18-35.

Abstract

BACKGROUND

Gun violence is on the rise in some European countries, however most of the literature on gunshot injuries pertains to military weaponry and is difficult to apply to civilians, due to dissimilarities in wound contamination and wounding potential of firearms and ammunition. Gunshot injuries in civilians have more focal injury patterns and should be considered distinct entities.

METHODS

A search of the National Library of Medicine and the National Institutes of Health MEDLINE database was performed using PubMed.

RESULTS

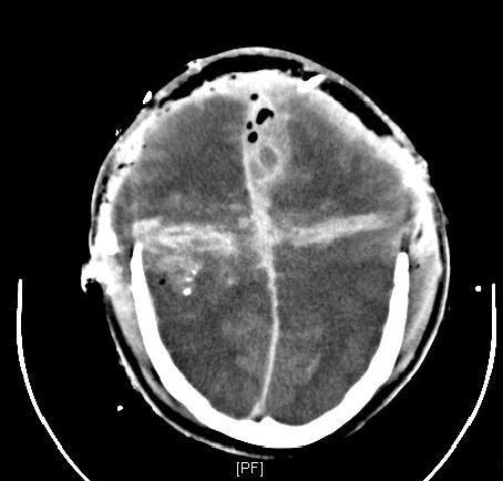
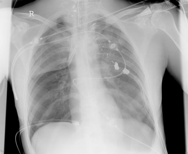
Craniocerebral gunshot injuries are often lethal, especially after suicide attempts. The treatment of non space consuming haematomas and the indications for invasive pressure measurement are controversial. Civilian gunshot injuries to the torso mostly intend to kill; however for those patients who do not die at the scene and are hemodynamically stable, insertion of a chest tube is usually the only required procedure for the majority of penetrating chest injuries. In penetrating abdominal injuries there is a trend towards non-operative care, provided that the patient is hemodynamically stable. Spinal gunshots can also often be treated without operation. Gunshot injuries of the extremities are rarely life-threatening but can be associated with severe morbidity.With the exception of craniocerebral, bowel, articular, or severe soft tissue injury, the use of antibiotics is controversial and may depend on the surgeon's preference.

CONCLUSION

The treatment strategy for patients with gunshot injuries to the torso mostly depends on the hemodynamic status of the patient. Whereas hemodynamically unstable patients require immediate operative measures like thoracotomy or laparotomy, hemodynamically stable patients might be treated with minor surgical procedures (e.g. chest tube) or even conservatively.

摘要

背景

在一些欧洲国家,枪支暴力事件呈上升趋势。然而,大多数关于枪伤的文献都与军事武器有关,由于枪支和弹药在伤口污染及致伤潜力方面存在差异,这些文献难以应用于平民枪伤情况。平民枪伤具有更集中的损伤模式,应被视为不同的实体。

方法

使用PubMed对美国国立医学图书馆和国立卫生研究院的MEDLINE数据库进行检索。

结果

颅脑枪伤通常是致命的,尤其是在自杀未遂后。对于非占位性血肿的治疗以及有创压力测量的指征存在争议。平民躯干枪伤大多意图致死;然而,对于那些没有在现场死亡且血流动力学稳定的患者,对于大多数穿透性胸部损伤而言,插入胸管通常是唯一所需的操作。对于穿透性腹部损伤,如果患者血流动力学稳定,则有采用非手术治疗的趋势。脊柱枪伤通常也可以不通过手术进行治疗。四肢枪伤很少危及生命,但可能伴有严重的发病率。除了颅脑、肠道、关节或严重软组织损伤外,抗生素的使用存在争议,可能取决于外科医生的偏好。

结论

躯干枪伤患者的治疗策略主要取决于患者的血流动力学状态。血流动力学不稳定的患者需要立即采取手术措施,如开胸手术或剖腹手术,而血流动力学稳定的患者可能采用小型外科手术(如胸管插入)甚至保守治疗。

https://cdn.ncbi.nlm.nih.gov/pmc/blobs/cdc1/2898680/6c17f89f61dc/1757-7241-18-35-1.jpg

文献检索

告别复杂PubMed语法,用中文像聊天一样搜索,搜遍4000万医学文献。AI智能推荐,让科研检索更轻松。

立即免费搜索

文件翻译

保留排版,准确专业,支持PDF/Word/PPT等文件格式,支持 12+语言互译。

免费翻译文档

深度研究

AI帮你快速写综述,25分钟生成高质量综述,智能提取关键信息,辅助科研写作。

立即免费体验