Suppr超能文献

甲状腺转录因子-1 阳性原发性乳腺癌:病例报告及文献复习。

Thyroid transcription factor-1 positive primary breast cancer: a case report with review of the literature.

机构信息

Department of Pathology, Vestfold County Hospital, Halfdan Wilhelmsens Alle' 17, N-3116 Tønsberg, Norway.

出版信息

Diagn Pathol. 2010 Jun 17;5:37. doi: 10.1186/1746-1596-5-37.

Abstract

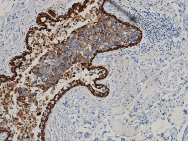
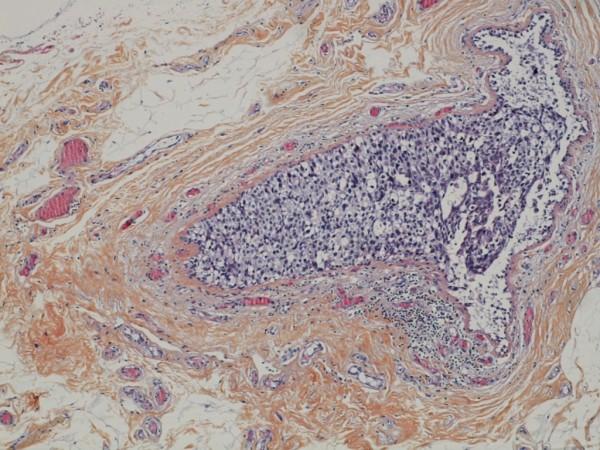
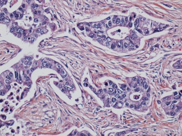
This case describes an infiltrating breast tumour with thyroid transcription factor-1 (TTF-1) positive staining and ductal differentiation in a 72-year-old woman. The presence of ductal carcinoma in situ with positive TTF-1 is a strong indication that this is a primary tumour and not a metastasis from lung.On PET scan and CT follow up there were no other tumours found in this patient. We are not aware of any previously reported TTF-1 positive primary breast carcinoma with ductal differentiation.

摘要

本病例描述了一位 72 岁女性的浸润性乳腺肿瘤,其甲状腺转录因子-1(TTF-1)阳性染色和导管分化。原位导管癌中 TTF-1 阳性强烈提示这是原发性肿瘤,而不是来自肺部的转移。在 PET 扫描和 CT 随访中,未在该患者中发现其他肿瘤。我们尚未发现任何先前报道的 TTF-1 阳性伴导管分化的原发性乳腺癌。

https://cdn.ncbi.nlm.nih.gov/pmc/blobs/66d3/2896353/707adc2fe544/1746-1596-5-37-1.jpg

文献检索

告别复杂PubMed语法,用中文像聊天一样搜索,搜遍4000万医学文献。AI智能推荐,让科研检索更轻松。

立即免费搜索

文件翻译

保留排版,准确专业,支持PDF/Word/PPT等文件格式,支持 12+语言互译。

免费翻译文档

深度研究

AI帮你快速写综述,25分钟生成高质量综述,智能提取关键信息,辅助科研写作。

立即免费体验