Suppr超能文献

色素性鲍温病的皮肤镜表现酷似早期浅表扩散型黑色素瘤

Dermoscopy of Pigmented Bowen's Disease Mimicking Early Superficial Spreading Melanoma.

作者信息

Hayashi Yuka, Tanaka Masaru, Suzaki Reiko, Mori Nuiko, Konohana Izumi

机构信息

Department of Dermatology, Hiratsuka City Hospital, Hiratsuka, Japan.

出版信息

Case Rep Dermatol. 2009 Jul 29;1(1):11-15. doi: 10.1159/000227284.

Abstract

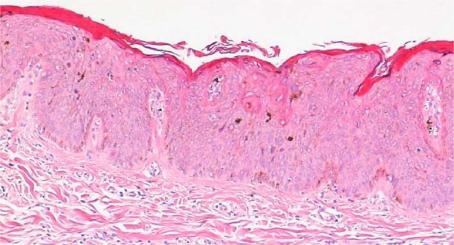
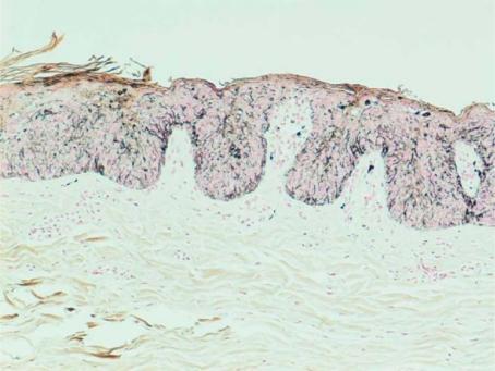
A 89-year-old Japanese woman presented at our clinic because of a several months' history of an asymptomatic gradually enlarging pigmented skin lesion on the dorsum of the left foot. Physical examination revealed a single hyperpigmented oval macule of 5 mm with a rough surface. The color of the lesion was dark brown to light brown. Dermoscopic examination demonstrated atypical pigment network with small dotted vessels. Irregular streaks were also partially noted at the periphery. We suspected superficial spreading melanoma and performed an excision. The histologic features were consistent with a diagnosis of pigmented Bowen's disease. We could not completely account for dermoscopic aspects from the pathological findings of hematoxylin and eosin-stained specimens; therefore, specimens were stained with Fontana-Masson stain. It clearly demonstrated the distribution of melanin in the epidermis. We concluded that atypical network was due to an uneven melanin deposition in the variably thickened epidermal rete ridges.

摘要

一位89岁的日本女性因左脚背部出现一个无症状且逐渐增大的色素沉着性皮肤病变数月而前来我院就诊。体格检查发现一个直径5毫米的单一色素沉着椭圆形斑疹,表面粗糙。病变颜色为深棕色至浅棕色。皮肤镜检查显示有非典型色素网及小的点状血管。在周边部分也可见不规则条纹。我们怀疑是浅表扩散性黑色素瘤并进行了切除。组织学特征与色素性鲍温病的诊断相符。从苏木精和伊红染色标本的病理结果中,我们无法完全解释皮肤镜表现;因此,标本用Fontana-Masson染色。它清楚地显示了表皮中黑色素的分布。我们得出结论,非典型网络是由于在不同增厚的表皮 rete 嵴中黑色素沉积不均匀所致。

https://cdn.ncbi.nlm.nih.gov/pmc/blobs/0cbd/2895203/5ae60c24b28b/cde0001-0011-f01.jpg

文献检索

告别复杂PubMed语法,用中文像聊天一样搜索,搜遍4000万医学文献。AI智能推荐,让科研检索更轻松。

立即免费搜索

文件翻译

保留排版,准确专业,支持PDF/Word/PPT等文件格式,支持 12+语言互译。

免费翻译文档

深度研究

AI帮你快速写综述,25分钟生成高质量综述,智能提取关键信息,辅助科研写作。

立即免费体验