Suppr超能文献

恶性疟原虫 FIKK 激酶成员靶向红细胞膜的不同成分。

Plasmodium falciparum FIKK kinase members target distinct components of the erythrocyte membrane.

机构信息

Unité de Biologie des Interactions Hôte-Parasite, CNRS UR2581-Institut Pasteur, Paris, France.

出版信息

PLoS One. 2010 Jul 23;5(7):e11747. doi: 10.1371/journal.pone.0011747.

Abstract

BACKGROUND

Modulation of infected host cells by intracellular pathogens is a prerequisite for successful establishment of infection. In the human malaria parasite Plasmodium falciparum, potential candidates for erythrocyte remodelling include the apicomplexan-specific FIKK kinase family (20 members), several of which have been demonstrated to be transported into the erythrocyte cytoplasm via Maurer's clefts.

METHODOLOGY

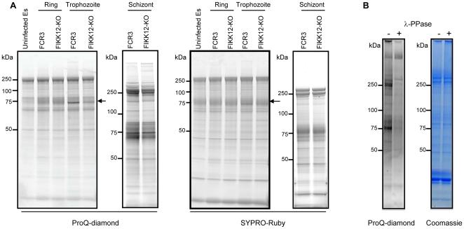
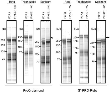
In the current work, we have knocked out two members of this gene family (Pf fikk7.1 and Pf fikk12), whose products are localized at the inner face of the erythrocyte membrane. Both mutant parasite lines were viable and erythrocytes infected with these parasites showed no detectable alteration in their ability to adhere in vitro to endothelial receptors such as chondroitin sulfate A and CD36. However, we observed sizeable decreases in the rigidity of infected erythrocytes in both knockout lines. Mutant parasites were further analyzed using a phospho-proteomic approach, which revealed distinct phosphorylation profiles in ghost preparations of infected erythrocytes. Knockout parasites showed a significant reduction in the level of phosphorylation of a protein of approximately 80 kDa for FIKK12-KO in trophozoite stage and a large protein of about 300 kDa for FIKK7.1-KO in schizont stage.

CONCLUSIONS

Our results suggest that FIKK members phosphorylate different membrane skeleton proteins of the infected erythrocyte in a stage-specific manner, inducing alterations in the mechanical properties of the parasite-infected red blood cell. This suggests that these host cell modifications may contribute to the parasites' survival in the circulation of the human host.

摘要

背景

细胞内病原体对受感染宿主细胞的调节是成功建立感染的前提。在人类疟原虫 Plasmodium falciparum 中,红细胞重塑的潜在候选物包括裂殖体特异性 FIKK 激酶家族(20 个成员),其中一些已被证明通过 Maurer 裂隙转运到红细胞细胞质中。

方法

在目前的工作中,我们敲除了该基因家族的两个成员(Pf fick7.1 和 Pf fick12),它们的产物定位于红细胞膜的内表面。这两种突变寄生虫系都是可行的,并且感染这些寄生虫的红细胞在体外与内皮受体(如硫酸软骨素 A 和 CD36)的粘附能力没有可检测到的改变。然而,我们观察到在这两种敲除系中感染红细胞的刚性有相当大的降低。使用磷酸化蛋白质组学方法进一步分析突变寄生虫,该方法揭示了感染红细胞的幽灵制剂中存在不同的磷酸化谱。敲除寄生虫在裂殖体阶段的 FIKK12-KO 中约 80 kDa 的蛋白和约 300 kDa 的大蛋白的磷酸化水平显著降低,而在 FIKK7.1-KO 中则表现出明显降低。

结论

我们的结果表明,FIKK 成员以阶段特异性的方式磷酸化感染红细胞的不同膜骨架蛋白,导致寄生虫感染的红细胞机械性能发生变化。这表明这些宿主细胞的改变可能有助于寄生虫在人类宿主循环中的存活。

https://cdn.ncbi.nlm.nih.gov/pmc/blobs/53d4/2909202/7b140d0b01e9/pone.0011747.g001.jpg

文献AI研究员

20分钟写一篇综述,助力文献阅读效率提升50倍。

立即体验

用中文搜PubMed

大模型驱动的PubMed中文搜索引擎

马上搜索

文档翻译

学术文献翻译模型,支持多种主流文档格式。

立即体验