Suppr超能文献

白细胞介素-10质粒DNA对NC/Nga小鼠特应性皮炎样皮肤损伤发展的抑制作用。

Inhibitory effects of interleukin-10 plasmid DNA on the development of atopic dermatitis-like skin lesions in NC/Nga mice.

作者信息

Jung Bock Gie, Cho Sun Ju, Ko Jae Hyung, Lee Bong Joo

机构信息

College of Veterinary Medicine, Chonnam National University, Gwangju 500-757, Korea.

出版信息

J Vet Sci. 2010 Sep;11(3):213-20. doi: 10.4142/jvs.2010.11.3.213.

Abstract

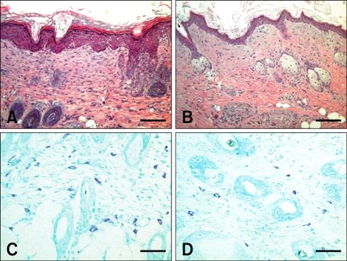
Interleukin (IL)-10 exerts potent anti-inflammatory effects by suppression of both T-help (Th) 1 and Th2 cells. Previous studies have reported that IL-10 can ameliorate various inflammatory disorders. The present study was performed to examine whether IL-10 plasmid DNA could suppress development of atopic dermatitis (AD)-like skin lesions in NC/Nga mice, as an initial step towards the development of an appliance for use in dogs with AD. Intradermal injection of IL-10 plasmid DNA markedly inhibited the development of AD-like skin lesions, as evidenced by a marked decrease in skin symptoms and reduced inflammation within the skin lesions. Efficacy was confirmed by significant decreases in eosinophil ratio and serum IgE concentration, and a reduction in the number of Staphylococcus aureus recovered from the ear. Moreover, relative mRNA expression levels of IL-4 and interferon-gamma in the skin lesions of mice injected with IL-10 plasmid DNA were also decreased compared with those of control mice. Of note, higher serum IL-10 levels in mice injected with IL-10 plasmid DNA were maintained compared with those in control mice. Taken together, the results indicate that IL-10 plasmid DNA can suppress the development of AD-like skin lesions by suppressing both Th1 and Th2 cell responses. Beneficial effects of IL-10 plasmid DNA may be expected in dogs with AD.

摘要

白细胞介素(IL)-10 通过抑制辅助性 T 细胞(Th)1 和 Th2 细胞发挥强大的抗炎作用。先前的研究报道,IL-10 可改善多种炎症性疾病。本研究旨在探讨 IL-10 质粒 DNA 是否能抑制 NC/Nga 小鼠特应性皮炎(AD)样皮肤损伤的发展,作为开发用于患有 AD 的犬类的器具的第一步。皮内注射 IL-10 质粒 DNA 显著抑制了 AD 样皮肤损伤的发展,皮肤症状明显减轻以及皮肤损伤内炎症减轻证明了这一点。嗜酸性粒细胞比例和血清 IgE 浓度显著降低,以及从耳部分离出的金黄色葡萄球菌数量减少证实了其疗效。此外,与对照小鼠相比,注射 IL-10 质粒 DNA 的小鼠皮肤损伤中 IL-4 和干扰素 -γ 的相对 mRNA 表达水平也降低。值得注意的是,与对照小鼠相比,注射 IL-10 质粒 DNA 的小鼠血清 IL-10 水平维持在较高水平。综上所述,结果表明 IL-10 质粒 DNA 可通过抑制 Th1 和 Th2 细胞反应来抑制 AD 样皮肤损伤的发展。在患有 AD 的犬类中可能期望 IL-10 质粒 DNA 产生有益效果。

https://cdn.ncbi.nlm.nih.gov/pmc/blobs/4fd7/2924482/f05079481251/jvs-11-213-g001.jpg

文献AI研究员

20分钟写一篇综述,助力文献阅读效率提升50倍。

立即体验

用中文搜PubMed

大模型驱动的PubMed中文搜索引擎

马上搜索

文档翻译

学术文献翻译模型,支持多种主流文档格式。

立即体验