Suppr超能文献

夹竹桃科中的斯蒂夫多苷激活:走向一个“核定时炸弹”?

Strictosidine activation in Apocynaceae: towards a "nuclear time bomb"?

机构信息

Université François Rabelais de Tours, EA 2106 Biomolécules et Biotechnologies Végétales, Tours, France.

出版信息

BMC Plant Biol. 2010 Aug 19;10:182. doi: 10.1186/1471-2229-10-182.

Abstract

BACKGROUND

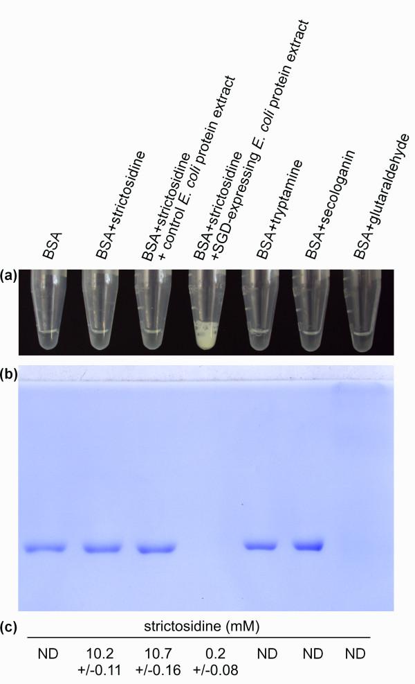
The first two enzymatic steps of monoterpene indole alkaloid (MIA) biosynthetic pathway are catalysed by strictosidine synthase (STR) that condensates tryptamine and secologanin to form strictosidine and by strictosidine beta-D-glucosidase (SGD) that subsequently hydrolyses the glucose moiety of strictosidine. The resulting unstable aglycon is rapidly converted into a highly reactive dialdehyde, from which more than 2,000 MIAs are derived. Many studies were conducted to elucidate the biosynthesis and regulation of pharmacologically valuable MIAs such as vinblastine and vincristine in Catharanthus roseus or ajmaline in Rauvolfia serpentina. However, very few reports focused on the MIA physiological functions.

RESULTS

In this study we showed that a strictosidine pool existed in planta and that the strictosidine deglucosylation product(s) was (were) specifically responsible for in vitro protein cross-linking and precipitation suggesting a potential role for strictosidine activation in plant defence. The spatial feasibility of such an activation process was evaluated in planta. On the one hand, in situ hybridisation studies showed that CrSTR and CrSGD were coexpressed in the epidermal first barrier of C. roseus aerial organs. However, a combination of GFP-imaging, bimolecular fluorescence complementation and electromobility shift-zymogram experiments revealed that STR from both C. roseus and R. serpentina were localised to the vacuole whereas SGD from both species were shown to accumulate as highly stable supramolecular aggregates within the nucleus. Deletion and fusion studies allowed us to identify and to demonstrate the functionality of CrSTR and CrSGD targeting sequences.

CONCLUSIONS

A spatial model was drawn to explain the role of the subcellular sequestration of STR and SGD to control the MIA metabolic flux under normal physiological conditions. The model also illustrates the possible mechanism of massive activation of the strictosidine vacuolar pool upon enzyme-substrate reunion occurring during potential herbivore feeding constituting a so-called "nuclear time bomb" in reference to the "mustard oil bomb" commonly used to describe the myrosinase-glucosinolate defence system in Brassicaceae.

摘要

背景

单萜吲哚生物碱(MIA)生物合成途径的前两个酶促步骤由斯特罗辛合酶(STR)催化,该酶将色胺和_secologanin 缩合形成斯特罗辛,然后由斯特罗辛-β-D-葡萄糖苷酶(SGD)水解斯特罗辛的葡萄糖部分。所得不稳定的糖苷配基迅速转化为高反应性的二醛,由此衍生出 2000 多种 MIA。许多研究旨在阐明长春花或蛇根木中具有药理价值的 MIA(如长春碱和长春新碱)或罗芙木中的阿马林的生物合成和调控。然而,很少有报道关注 MIA 的生理功能。

结果

本研究表明,植物体内存在斯特罗辛库,斯特罗辛去糖基化产物特异性负责体外蛋白质交联和沉淀,表明斯特罗辛激活在植物防御中可能具有作用。在植物体内评估了这种激活过程的空间可行性。一方面,原位杂交研究表明,CrSTR 和 CrSGD 在长春花气生器官的表皮第一道屏障中共同表达。然而,GFP 成像、双分子荧光互补和电泳迁移率变化-印迹实验的组合表明,来自长春花和蛇根木的 STR 均定位于液泡,而来自两种物种的 SGD 则被证明在核内积聚为高度稳定的超分子聚集体。缺失和融合研究使我们能够识别并证明 CrSTR 和 CrSGD 靶向序列的功能。

结论

绘制了一个空间模型来解释在正常生理条件下,STR 和 SGD 的亚细胞隔离对 MIA 代谢通量的控制作用。该模型还说明了在潜在的食草动物取食过程中发生的酶-底物重聚时,大量激活液泡中斯特罗辛库的可能机制,这构成了所谓的“核定时炸弹”,以参照在芸薹科中常用的“芥子油炸弹”来描述糜蛋白酶-葡萄糖硫苷防御系统。

https://cdn.ncbi.nlm.nih.gov/pmc/blobs/135f/3095312/984671004991/1471-2229-10-182-1.jpg

文献AI研究员

20分钟写一篇综述,助力文献阅读效率提升50倍。

立即体验

用中文搜PubMed

大模型驱动的PubMed中文搜索引擎

马上搜索

文档翻译

学术文献翻译模型,支持多种主流文档格式。

立即体验