1. Institute of Medicine, Chung Shan Medical University, Taiwan.
J Cancer. 2010 Jun 1;1:6-13. doi: 10.7150/jca.1.6.
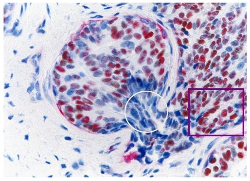
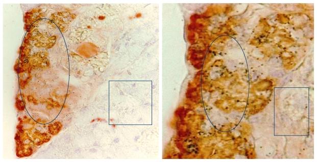
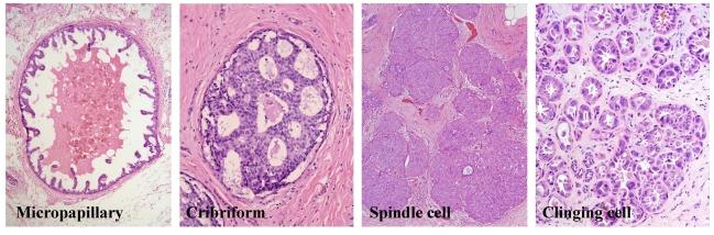
Human breast cancer represents a group of highly heterogeneous lesions consisting of about 20 morphologically distinct subtypes with substantially different molecular and/or biochemical signatures, clinical courses, and prognoses. This study analyzed the possible correlation between the morphological presentations of breast cancer and two hypothesized models of carcinogenesis, in order to identify the intrinsic mechanism(s) and clinical implications of breast cancer heterogeneity.
人类乳腺癌代表了一组高度异质性的病变,由大约 20 种形态上不同的亚型组成,这些亚型具有明显不同的分子和/或生化特征、临床过程和预后。本研究分析了乳腺癌的形态表现与两种假设的癌变模型之间的可能相关性,以确定乳腺癌异质性的内在机制和临床意义。