Suppr超能文献

在可控气候条件下饲养的犊牛呼吸道对气溶胶中牛疱疹病毒1的反应

Response of the respiratory tract of calves kept at controlled climatic conditions to bovine Herpesvirus 1 in aerosol.

作者信息

Jericho K W, Darcel C Q

出版信息

Can J Comp Med. 1978 Apr;42(2):156-67.

Abstract

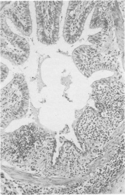
Seven experiments with four calves each were conducted in which the calves spent at least four days of adaptation in an environmental chamber and then were subjected to climatic stress in the form of a number of constant ambient temperature and humidity combinations. On the second day of climatic stress the calves were individually exposed to measured numbers of infectious units of bovine herpesvirus 1 (BHV1, virus of infectious bovine rhinotrachetis) in aerosol. The calves were killed seven or eight days later. Mycoplasma were found in some nasal swabs and in one lung. Certain bacteria but no Pasteurella were often isolated from the lungs. Bovine herpesvirus 1 was isolated from chamber air and from most postinoculation nasal swabs, tracheas and lungs. The number of macro- and microscopic lesions did not appear to be influenced by the climatic conditions of the experiments. The histopathological changes in epithelium at all levels of the respiratory tract were described in detail.

摘要

进行了七项实验,每项实验有四头小牛。小牛在环境舱中至少度过四天的适应期,然后经受多种恒定环境温度和湿度组合形式的气候应激。在气候应激的第二天,小牛被单独暴露于经测量数量的牛疱疹病毒1(BHV1,传染性牛鼻气管炎病毒)气溶胶感染单位中。小牛在七或八天后被宰杀。在一些鼻拭子和一个肺中发现了支原体。肺部经常分离出某些细菌,但未分离到巴氏杆菌。从舱内空气以及大多数接种后鼻拭子、气管和肺中分离出了牛疱疹病毒1。大体和微观病变的数量似乎不受实验气候条件的影响。详细描述了呼吸道各级上皮的组织病理学变化。

https://cdn.ncbi.nlm.nih.gov/pmc/blobs/62b1/1277609/8a65803522c8/compmed00030-0015-a.jpg

文献检索

告别复杂PubMed语法,用中文像聊天一样搜索,搜遍4000万医学文献。AI智能推荐,让科研检索更轻松。

立即免费搜索

文件翻译

保留排版,准确专业,支持PDF/Word/PPT等文件格式,支持 12+语言互译。

免费翻译文档

深度研究

AI帮你快速写综述,25分钟生成高质量综述,智能提取关键信息,辅助科研写作。

立即免费体验