• 文献检索
  • 文档翻译
  • 深度研究
  • 学术资讯
  • Suppr Zotero 插件Zotero 插件
  • 邀请有礼
  • 套餐&价格
  • 历史记录
应用&插件
Suppr Zotero 插件Zotero 插件浏览器插件Mac 客户端Windows 客户端微信小程序
定价
高级版会员购买积分包购买API积分包
服务
文献检索文档翻译深度研究API 文档MCP 服务
关于我们
关于 Suppr公司介绍联系我们用户协议隐私条款
关注我们

Suppr 超能文献

核心技术专利:CN118964589B侵权必究
粤ICP备2023148730 号-1Suppr @ 2026

文献检索

告别复杂PubMed语法,用中文像聊天一样搜索,搜遍4000万医学文献。AI智能推荐,让科研检索更轻松。

立即免费搜索

文件翻译

保留排版,准确专业,支持PDF/Word/PPT等文件格式,支持 12+语言互译。

免费翻译文档

深度研究

AI帮你快速写综述,25分钟生成高质量综述,智能提取关键信息,辅助科研写作。

立即免费体验

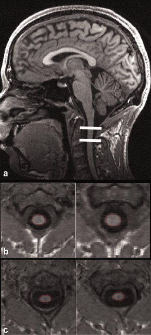
使用 3D-MDEFT 进行基于体素的脑和颈椎脊髓区域测量的同步形态测量方法。

Method for simultaneous voxel-based morphometry of the brain and cervical spinal cord area measurements using 3D-MDEFT.

机构信息

Department of Brain Repair and Rehabilitation, UCL Institute of Neurology, London, United Kingdom.

出版信息

J Magn Reson Imaging. 2010 Nov;32(5):1242-7. doi: 10.1002/jmri.22340.

DOI:10.1002/jmri.22340
PMID:21031531
原文链接:https://pmc.ncbi.nlm.nih.gov/articles/PMC3078516/
Abstract

PURPOSE

To investigate whether a 3D-modified driven equilibrium Fourier transform (MDEFT)-based acquisition protocol established for brain morphometry also yields reliable information about the cross-sectional spinal cord area (SCA).

MATERIALS AND METHODS

Images of brain and cervical cord of 10 controls and eight subjects with spinal cord injury (SCI) were acquired with the 3D-MDEFT-based imaging protocol and an 8-channel receive head coil. The new protocol was validated by two observers 1) comparing the SCA measured with the standard acquisition protocol (3D magnetization-prepared rapid acquisition gradient echo [MPRAGE] and dedicated spine coil) and the new protocol; and 2) determining the scan-rescan reproducibility of the new protocol.

RESULTS

Scan-rescan reproducibility of SCA measurements with the MDEFT approach showed a similar precision for both observers with standard deviation (SD) <4.5 mm(2) and coefficient of variation (CV) ≤5.1%. Analysis of variance (ANOVA) revealed a main effect of observer and interaction between observer and scan protocol that could be primarily attributed to a small observer bias for MPRAGE (difference in SCA <2.1 mm(2)). No bias was observed for 3D-MDEFT vs. 3D-MPRAGE.

CONCLUSION

The 3D-MDEFT method allows for robust unbiased assessment of SCA in addition to brain morphology.

摘要

目的

研究基于三维修正驱动平衡傅里叶变换(MDEFT)的脑形态测量采集方案是否也能提供关于脊髓横截面积(SCA)的可靠信息。

材料与方法

10 例健康对照者和 8 例脊髓损伤(SCI)患者的脑和颈髓图像采用基于 3D-MDEFT 的成像方案和 8 通道接收线圈进行采集。新方案通过两位观察者进行了验证:1)比较标准采集方案(3D 磁化准备快速获取梯度回波[MPRAGE]和专用脊柱线圈)和新方案测量的 SCA;2)确定新方案的扫描-再扫描可重复性。

结果

MDEFT 方法测量 SCA 的扫描-再扫描可重复性对于两位观察者具有相似的精度,标准偏差(SD)<4.5mm2,变异系数(CV)≤5.1%。方差分析(ANOVA)显示观察者和扫描方案之间存在主要交互作用,这主要归因于 MPRAGE 的观察者偏倚较小(SCA 差异<2.1mm2)。与 3D-MPRAGE 相比,3D-MDEFT 没有观察到偏差。

结论

除了脑形态学外,3D-MDEFT 方法还可以对 SCA 进行稳健、无偏的评估。

https://cdn.ncbi.nlm.nih.gov/pmc/blobs/ed09/3078516/a0ee6c707b29/jmri0032-1242-f2.jpg
https://cdn.ncbi.nlm.nih.gov/pmc/blobs/ed09/3078516/327a9e8f7082/jmri0032-1242-f1.jpg
https://cdn.ncbi.nlm.nih.gov/pmc/blobs/ed09/3078516/a0ee6c707b29/jmri0032-1242-f2.jpg
https://cdn.ncbi.nlm.nih.gov/pmc/blobs/ed09/3078516/327a9e8f7082/jmri0032-1242-f1.jpg
https://cdn.ncbi.nlm.nih.gov/pmc/blobs/ed09/3078516/a0ee6c707b29/jmri0032-1242-f2.jpg

相似文献

1
Method for simultaneous voxel-based morphometry of the brain and cervical spinal cord area measurements using 3D-MDEFT.使用 3D-MDEFT 进行基于体素的脑和颈椎脊髓区域测量的同步形态测量方法。
J Magn Reson Imaging. 2010 Nov;32(5):1242-7. doi: 10.1002/jmri.22340.
2
Regional corpus callosum morphometry: effect of field strength and pulse sequence.区域性胼胝体形态测量:场强和脉冲序列的影响。
J Magn Reson Imaging. 2009 Nov;30(5):1184-90. doi: 10.1002/jmri.21932.
3
Reliability of spinal cord measures based on synthetic T-weighted MRI derived from multiparametric mapping (MPM).基于多参数图谱(MPM)衍生的合成 T 加权 MRI 的脊髓测量的可靠性。
Neuroimage. 2023 May 1;271:120046. doi: 10.1016/j.neuroimage.2023.120046. Epub 2023 Mar 21.
4
Feasibility of grey matter and white matter segmentation of the upper cervical cord in vivo: a pilot study with application to magnetisation transfer measurements.上颈髓灰质和白质分割的可行性:一项初步研究及其在磁化传递测量中的应用。
Neuroimage. 2012 Nov 15;63(3):1054-9. doi: 10.1016/j.neuroimage.2012.07.048. Epub 2012 Jul 28.
5
Improved MRI quantification of spinal cord atrophy in multiple sclerosis.多发性硬化症中脊髓萎缩的磁共振成像定量分析改进
J Magn Reson Imaging. 2014 Mar;39(3):617-23. doi: 10.1002/jmri.24194. Epub 2013 Apr 30.
6
Sensitivity of voxel-based morphometry analysis to choice of imaging protocol at 3 T.基于体素的形态测量分析在3T时对成像协议选择的敏感性。
Neuroimage. 2009 Feb 1;44(3):827-38. doi: 10.1016/j.neuroimage.2008.09.053. Epub 2008 Oct 19.
7
Clinically Feasible Microstructural MRI to Quantify Cervical Spinal Cord Tissue Injury Using DTI, MT, and T2*-Weighted Imaging: Assessment of Normative Data and Reliability.利用扩散张量成像(DTI)、磁化传递成像(MT)和T2*加权成像进行临床可行的微观结构磁共振成像以量化颈脊髓组织损伤:正常数据评估及可靠性分析
AJNR Am J Neuroradiol. 2017 Jun;38(6):1257-1265. doi: 10.3174/ajnr.A5163. Epub 2017 Apr 20.
8
3D MDEFT imaging of the human brain at 4.7 T with reduced sensitivity to radiofrequency inhomogeneity.在4.7T磁场下对人脑进行3D MDEFT成像,对射频不均匀性的敏感度降低。
Magn Reson Med. 2005 Jun;53(6):1452-8. doi: 10.1002/mrm.20482.
9
Considerations for Mean Upper Cervical Cord Area Implementation in a Longitudinal MRI Setting: Methods, Interrater Reliability, and MRI Quality Control.考虑在纵向 MRI 设置中实施平均上颈椎脊髓面积的方法、评估者间可靠性和 MRI 质量控制。
AJNR Am J Neuroradiol. 2020 Feb;41(2):343-350. doi: 10.3174/ajnr.A6394. Epub 2020 Jan 23.
10
Measurement of magnetization transfer ratio (MTR) from cervical spinal cord: Multicenter reproducibility and variability.颈椎脊髓磁化转移率(MTR)的测量:多中心可重复性和变异性。
J Magn Reson Imaging. 2019 Jun;49(6):1777-1785. doi: 10.1002/jmri.26537. Epub 2018 Oct 22.

引用本文的文献

1
Optimization of cervical cord synthetic T -weighted MRI for enhancing clinical application in neurodegenerative spinal cord disorders.优化颈椎合成T加权磁共振成像以增强其在神经退行性脊髓疾病中的临床应用。
Imaging Neurosci (Camb). 2024 Jul 15;2. doi: 10.1162/imag_a_00225. eCollection 2024.
2
Long-Term Spinal Cord Stimulation After Chronic Complete Spinal Cord Injury Enables Volitional Movement in the Absence of Stimulation.慢性完全性脊髓损伤后的长期脊髓刺激可在无刺激情况下实现自主运动。
Front Syst Neurosci. 2020 Jun 30;14:35. doi: 10.3389/fnsys.2020.00035. eCollection 2020.
3
Cord cross-sectional area at foramen magnum as a correlate of disability in amyotrophic lateral sclerosis.

本文引用的文献

1
Rapid semi-automatic segmentation of the spinal cord from magnetic resonance images: application in multiple sclerosis.快速半自动磁共振图像脊髓分割:在多发性硬化中的应用。
Neuroimage. 2010 Apr 1;50(2):446-55. doi: 10.1016/j.neuroimage.2009.12.121. Epub 2010 Jan 7.
2
A comparison between voxel-based cortical thickness and voxel-based morphometry in normal aging.正常衰老过程中基于体素的皮质厚度与基于体素的形态测量学的比较。
Neuroimage. 2009 Nov 1;48(2):371-80. doi: 10.1016/j.neuroimage.2009.06.043. Epub 2009 Jun 25.
3
Sensitivity of voxel-based morphometry analysis to choice of imaging protocol at 3 T.
枕骨大孔处脊髓横截面积与肌萎缩侧索硬化症残疾程度的相关性
Eur Radiol Exp. 2018 Jun 22;2:13. doi: 10.1186/s41747-018-0045-6. eCollection 2018 Dec.
4
A Review of the Segmental Diameter of the Healthy Human Spinal Cord.健康人体脊髓节段直径综述。
Front Neurol. 2016 Dec 23;7:238. doi: 10.3389/fneur.2016.00238. eCollection 2016.
5
Motor recovery at 6 months after admission is related to structural and functional reorganization of the spine and brain in patients with spinal cord injury.入院后6个月时的运动恢复与脊髓损伤患者脊柱和大脑的结构及功能重组有关。
Hum Brain Mapp. 2016 Jun;37(6):2195-209. doi: 10.1002/hbm.23163. Epub 2016 Mar 3.
6
Association of pain and CNS structural changes after spinal cord injury.脊髓损伤后疼痛与中枢神经系统结构变化的关联。
Sci Rep. 2016 Jan 6;6:18534. doi: 10.1038/srep18534.
7
Whole Brain Volume Measured from 1.5T versus 3T MRI in Healthy Subjects and Patients with Multiple Sclerosis.在健康受试者和多发性硬化症患者中,通过1.5T与3T磁共振成像测量全脑体积。
J Neuroimaging. 2016 Jan-Feb;26(1):62-7. doi: 10.1111/jon.12271. Epub 2015 Jun 28.
8
Fast and accurate semi-automated segmentation method of spinal cord MR images at 3T applied to the construction of a cervical spinal cord template.3T下脊髓MR图像的快速准确半自动分割方法应用于颈髓模板构建
PLoS One. 2015 Mar 27;10(3):e0122224. doi: 10.1371/journal.pone.0122224. eCollection 2015.
9
The use of the lumbosacral enlargement as an intrinsic imaging biomarker: feasibility of grey matter and white matter cross-sectional area measurements using MRI at 3T.将腰骶膨大作为一种内在成像生物标志物的应用:利用3T磁共振成像测量灰质和白质横截面积的可行性。
PLoS One. 2014 Aug 29;9(8):e105544. doi: 10.1371/journal.pone.0105544. eCollection 2014.
10
Characteristics of spondylotic myelopathy on 3D driven-equilibrium fast spin echo and 2D fast spin echo magnetic resonance imaging: a retrospective cross-sectional study.三维驱动平衡快速自旋回波和二维快速自旋回波磁共振成像下脊髓型颈椎病的特征:一项回顾性横断面研究。
PLoS One. 2014 Jul 15;9(7):e100964. doi: 10.1371/journal.pone.0100964. eCollection 2014.
基于体素的形态测量分析在3T时对成像协议选择的敏感性。
Neuroimage. 2009 Feb 1;44(3):827-38. doi: 10.1016/j.neuroimage.2008.09.053. Epub 2008 Oct 19.
4
Anatomical changes in human motor cortex and motor pathways following complete thoracic spinal cord injury.完全性胸段脊髓损伤后人类运动皮层和运动通路的解剖学变化。
Cereb Cortex. 2009 Jan;19(1):224-32. doi: 10.1093/cercor/bhn072. Epub 2008 May 14.
5
Automatic classification of MR scans in Alzheimer's disease.阿尔茨海默病中磁共振成像扫描的自动分类
Brain. 2008 Mar;131(Pt 3):681-9. doi: 10.1093/brain/awm319. Epub 2008 Jan 17.
6
Upper cervical spinal cord cross-sectional area in relapsing remitting multiple sclerosis: application of a new technique for measuring cross-sectional area on magnetic resonance images.复发缓解型多发性硬化症中上颈段脊髓横截面积:一种在磁共振图像上测量横截面积的新技术的应用
J Magn Reson Imaging. 2007 Jul;26(1):61-5. doi: 10.1002/jmri.20959.
7
Upper cervical cord area in early relapsing-remitting multiple sclerosis: cross-sectional study of factors influencing cord size.早期复发缓解型多发性硬化症的颈髓上段区域:影响脊髓大小因素的横断面研究
J Magn Reson Imaging. 2006 Apr;23(4):473-6. doi: 10.1002/jmri.20545.
8
Improvement of the image quality of T1-weighted anatomical brain scans.提高T1加权脑部解剖扫描的图像质量。
Neuroimage. 2006 Feb 1;29(3):930-7. doi: 10.1016/j.neuroimage.2005.08.004. Epub 2005 Sep 8.
9
Measurement of cervical spinal cord cross-sectional area by MRI using edge detection and partial volume correction.使用边缘检测和部分容积校正的MRI测量颈脊髓横截面积。
J Magn Reson Imaging. 2005 Mar;21(3):197-203. doi: 10.1002/jmri.20253.
10
Optimisation of the 3D MDEFT sequence for anatomical brain imaging: technical implications at 1.5 and 3 T.用于脑部解剖成像的3D MDEFT序列优化:1.5T和3T的技术影响
Neuroimage. 2004 Feb;21(2):757-67. doi: 10.1016/j.neuroimage.2003.09.062.