• 文献检索
  • 文档翻译
  • 深度研究
  • 学术资讯
  • Suppr Zotero 插件Zotero 插件
  • 邀请有礼
  • 套餐&价格
  • 历史记录
应用&插件
Suppr Zotero 插件Zotero 插件浏览器插件Mac 客户端Windows 客户端微信小程序
定价
高级版会员购买积分包购买API积分包
服务
文献检索文档翻译深度研究API 文档MCP 服务
关于我们
关于 Suppr公司介绍联系我们用户协议隐私条款
关注我们

Suppr 超能文献

核心技术专利:CN118964589B侵权必究
粤ICP备2023148730 号-1Suppr @ 2026

文献检索

告别复杂PubMed语法,用中文像聊天一样搜索,搜遍4000万医学文献。AI智能推荐,让科研检索更轻松。

立即免费搜索

文件翻译

保留排版,准确专业,支持PDF/Word/PPT等文件格式,支持 12+语言互译。

免费翻译文档

深度研究

AI帮你快速写综述,25分钟生成高质量综述,智能提取关键信息,辅助科研写作。

立即免费体验

半胱氨酸蛋白酶抑制剂 C 缺乏促进 K14-HPV16 转基因小鼠的表皮发育不良。

Cystatin C deficiency promotes epidermal dysplasia in K14-HPV16 transgenic mice.

机构信息

Department of Medicine, Brigham and Women's Hospital and Harvard Medical School, Boston, Massachusetts, United States of America.

出版信息

PLoS One. 2010 Nov 15;5(11):e13973. doi: 10.1371/journal.pone.0013973.

DOI:10.1371/journal.pone.0013973
PMID:21085595
原文链接:https://pmc.ncbi.nlm.nih.gov/articles/PMC2981574/
Abstract

BACKGROUND

Cysteine protease cathepsins are important in extracellular matrix protein degradation, cell apoptosis, and angiogenesis. Mice lacking cathepsins are protected from tumor progression in several animal models, suggesting that the regulation of cathepsin activities controls the growth of various malignant tumors.

METHODS AND RESULTS

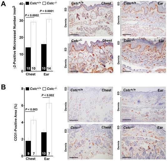
We tested the role of cathepsins using a mouse model of multistage epithelial carcinogenesis, in which the human keratin-14 promoter/enhancer drove the expression of human papillomavirus type 16 (HPV16) early region E6/E7 transgenes. During the progression of premalignant dysplasia, we observed increased expression of cysteine protease cathepsin S, but concomitantly reduced expression of cathepsin endogenous inhibitor cystatin C in the skin tissue extract. Absence of cystatin C in these transgenic mice resulted in more progression of dysplasia to carcinoma in situ on the face, ear, chest, and tail. Chest and ear skin extract real time PCR and immunoblot analysis, mouse serum sample ELISA, tissue immunohistological analysis, and tissue extract-mediated in vitro elastinolysis and collagenolysis assays demonstrated that cystatin C deficiency significantly increased cathepsin expression and activity. In skin from both the chest and ear, we found that the absence of cystatin C reduced epithelial cell apoptosis but increased proliferation. From the same tissue preparations, we detected significantly higher levels of pro-angiogenic laminin 5-derived γ2 peptides and concurrently increased neovascularization in cystatin C-deficient mice, compared to those from wild-type control mice.

CONCLUSION

Enhanced cathepsin expression and activity in cystatin C-deficient mice contributed to the progression of dysplasia by altering premalignant tissue epithelial proliferation, apoptosis, and neovascularization.

摘要

背景

半胱氨酸蛋白酶组织蛋白酶在细胞外基质蛋白降解、细胞凋亡和血管生成中起着重要作用。几种动物模型中缺乏组织蛋白酶的小鼠免受肿瘤进展的影响,这表明组织蛋白酶活性的调节控制着各种恶性肿瘤的生长。

方法和结果

我们使用多阶段上皮癌发生的小鼠模型来测试组织蛋白酶的作用,其中人角蛋白 14 启动子/增强子驱动人乳头瘤病毒 16(HPV16)早期区域 E6/E7 转基因的表达。在癌前发育不良的进展过程中,我们观察到皮肤组织提取物中半胱氨酸蛋白酶组织蛋白酶 S 的表达增加,但同时内源性组织蛋白酶抑制剂胱抑素 C 的表达减少。这些转基因小鼠中胱抑素 C 的缺失导致面部、耳朵、胸部和尾巴的发育不良更倾向于原位癌。胸部和耳部皮肤提取物实时 PCR 和免疫印迹分析、小鼠血清样本 ELISA、组织免疫组织化学分析以及组织提取物介导的体外弹性溶解和胶原蛋白溶解测定表明,胱抑素 C 缺乏显著增加了组织蛋白酶的表达和活性。在胸部和耳部皮肤中,我们发现胱抑素 C 的缺失减少了上皮细胞凋亡,但增加了增殖。从相同的组织制备中,我们发现缺乏胱抑素 C 的小鼠中,促血管生成的层粘连蛋白 5 衍生的 γ2 肽水平显著升高,同时新血管生成增加,与野生型对照小鼠相比。

结论

胱抑素 C 缺乏的小鼠中增强的组织蛋白酶表达和活性通过改变癌前组织上皮细胞的增殖、凋亡和新血管生成,促进了发育不良的进展。

https://cdn.ncbi.nlm.nih.gov/pmc/blobs/c8fb/2981574/48cff34d38eb/pone.0013973.g009.jpg
https://cdn.ncbi.nlm.nih.gov/pmc/blobs/c8fb/2981574/7ed2360e1821/pone.0013973.g001.jpg
https://cdn.ncbi.nlm.nih.gov/pmc/blobs/c8fb/2981574/1b4dd01b4ed0/pone.0013973.g002.jpg
https://cdn.ncbi.nlm.nih.gov/pmc/blobs/c8fb/2981574/0f850f2c4d4b/pone.0013973.g003.jpg
https://cdn.ncbi.nlm.nih.gov/pmc/blobs/c8fb/2981574/fe019d0c12c4/pone.0013973.g004.jpg
https://cdn.ncbi.nlm.nih.gov/pmc/blobs/c8fb/2981574/7b269c039927/pone.0013973.g005.jpg
https://cdn.ncbi.nlm.nih.gov/pmc/blobs/c8fb/2981574/371fe2cdcc1f/pone.0013973.g006.jpg
https://cdn.ncbi.nlm.nih.gov/pmc/blobs/c8fb/2981574/d16c9e9cabc8/pone.0013973.g007.jpg
https://cdn.ncbi.nlm.nih.gov/pmc/blobs/c8fb/2981574/d17e50ab94aa/pone.0013973.g008.jpg
https://cdn.ncbi.nlm.nih.gov/pmc/blobs/c8fb/2981574/48cff34d38eb/pone.0013973.g009.jpg
https://cdn.ncbi.nlm.nih.gov/pmc/blobs/c8fb/2981574/7ed2360e1821/pone.0013973.g001.jpg
https://cdn.ncbi.nlm.nih.gov/pmc/blobs/c8fb/2981574/1b4dd01b4ed0/pone.0013973.g002.jpg
https://cdn.ncbi.nlm.nih.gov/pmc/blobs/c8fb/2981574/0f850f2c4d4b/pone.0013973.g003.jpg
https://cdn.ncbi.nlm.nih.gov/pmc/blobs/c8fb/2981574/fe019d0c12c4/pone.0013973.g004.jpg
https://cdn.ncbi.nlm.nih.gov/pmc/blobs/c8fb/2981574/7b269c039927/pone.0013973.g005.jpg
https://cdn.ncbi.nlm.nih.gov/pmc/blobs/c8fb/2981574/371fe2cdcc1f/pone.0013973.g006.jpg
https://cdn.ncbi.nlm.nih.gov/pmc/blobs/c8fb/2981574/d16c9e9cabc8/pone.0013973.g007.jpg
https://cdn.ncbi.nlm.nih.gov/pmc/blobs/c8fb/2981574/d17e50ab94aa/pone.0013973.g008.jpg
https://cdn.ncbi.nlm.nih.gov/pmc/blobs/c8fb/2981574/48cff34d38eb/pone.0013973.g009.jpg

相似文献

1
Cystatin C deficiency promotes epidermal dysplasia in K14-HPV16 transgenic mice.半胱氨酸蛋白酶抑制剂 C 缺乏促进 K14-HPV16 转基因小鼠的表皮发育不良。
PLoS One. 2010 Nov 15;5(11):e13973. doi: 10.1371/journal.pone.0013973.
2
Cathepsin S controls angiogenesis and tumor growth via matrix-derived angiogenic factors.组织蛋白酶S通过基质衍生的血管生成因子控制血管生成和肿瘤生长。
J Biol Chem. 2006 Mar 3;281(9):6020-9. doi: 10.1074/jbc.M509134200. Epub 2005 Dec 19.
3
Deficiency for the cysteine protease cathepsin L promotes tumor progression in mouse epidermis.半胱氨酸蛋白酶组织蛋白酶 L 的缺失促进了小鼠表皮中的肿瘤进展。
Oncogene. 2010 Mar 18;29(11):1611-21. doi: 10.1038/onc.2009.466. Epub 2009 Dec 21.
4
Transcriptional profiling of dysplastic lesions in K14-HPV16 transgenic mice using laser microdissection.利用激光显微切割技术对K14-HPV16转基因小鼠发育异常病变进行转录谱分析。
FASEB J. 2004 Aug;18(11):1243-5. doi: 10.1096/fj.03-0946fje. Epub 2004 Jun 4.
5
Progressive squamous epithelial neoplasia in K14-human papillomavirus type 16 transgenic mice.K14-人乳头瘤病毒16型转基因小鼠中的进行性鳞状上皮瘤变
J Virol. 1994 Jul;68(7):4358-68. doi: 10.1128/JVI.68.7.4358-4368.1994.
6
3,3'-Diindolylmethane increases serum interferon-γ levels in the K14-HPV16 transgenic mouse model for cervical cancer.3,3'-二吲哚甲烷可提高宫颈癌 K14-HPV16 转基因小鼠模型血清干扰素-γ水平。
In Vivo. 2012 Mar-Apr;26(2):207-11.
7
Human papillomavirus E6/E7 oncogenes promote mouse ear regeneration by increasing the rate of wound re-epithelization and epidermal growth.人乳头瘤病毒E6/E7癌基因通过提高伤口再上皮化速率和表皮生长来促进小鼠耳部再生。
J Invest Dermatol. 2008 Dec;128(12):2894-903. doi: 10.1038/jid.2008.156. Epub 2008 Jun 12.
8
DMBA/TPA-induced tumor formation is aggravated in human papillomavirus type 16 E6/E7 transgenic mouse skin.在人乳头瘤病毒16型E6/E7转基因小鼠皮肤中,二甲基苯并蒽/十四烷酰佛波醇乙酯诱导的肿瘤形成加剧。
Oncol Res. 2007;16(7):325-32. doi: 10.3727/000000006783980964.
9
Difluoromethylornithine chemoprevention of epidermal carcinogenesis in K14-HPV16 transgenic mice.二氟甲基鸟氨酸对K14-HPV16转基因小鼠表皮癌发生的化学预防作用。
Cancer Res. 1999 Aug 1;59(15):3610-20.
10
Transcriptional gene silencing of HPV16 E6/E7 induces growth inhibition via apoptosis in vitro and in vivo.HPV16E6/E7 的转录基因沉默通过体外和体内的细胞凋亡诱导生长抑制。
Gynecol Oncol. 2012 Feb;124(2):296-302. doi: 10.1016/j.ygyno.2011.10.028. Epub 2011 Nov 3.

引用本文的文献

1
Key Matrix Remodeling Enzymes: Functions and Targeting in Cancer.关键的基质重塑酶:在癌症中的功能及靶向作用
Cancers (Basel). 2021 Mar 22;13(6):1441. doi: 10.3390/cancers13061441.
2
Cold-inducible RNA binding protein promotes breast cancer cell malignancy by regulating Cystatin C levels.冷诱导 RNA 结合蛋白通过调节胱抑素 C 水平促进乳腺癌细胞的恶性转化。
RNA. 2021 Feb;27(2):190-201. doi: 10.1261/rna.076422.120. Epub 2020 Nov 10.
3
Cystatin C deficiency suppresses tumor growth in a breast cancer model through decreased proliferation of tumor cells.

本文引用的文献

1
Antibody-mediated inhibition of cathepsin S blocks colorectal tumor invasion and angiogenesis.抗体介导的组织蛋白酶S抑制可阻断结直肠癌的侵袭和血管生成。
Clin Cancer Res. 2009 Oct 1;15(19):6042-51. doi: 10.1158/1078-0432.CCR-09-1262. Epub 2009 Sep 29.
2
Critical role of mast cell chymase in mouse abdominal aortic aneurysm formation.肥大细胞糜蛋白酶在小鼠腹主动脉瘤形成中的关键作用。
Circulation. 2009 Sep 15;120(11):973-82. doi: 10.1161/CIRCULATIONAHA.109.849679. Epub 2009 Aug 31.
3
Glioblastoma and endothelial cells cross-talk, mediated by SDF-1, enhances tumour invasion and endothelial proliferation by increasing expression of cathepsins B, S, and MMP-9.
胱抑素C缺乏通过降低肿瘤细胞增殖抑制乳腺癌模型中的肿瘤生长。
Oncotarget. 2017 Apr 24;8(43):73793-73809. doi: 10.18632/oncotarget.17379. eCollection 2017 Sep 26.
4
Cathepsin K activity controls cardiotoxin-induced skeletal muscle repair in mice.组织蛋白酶 K 活性控制着肌肉毒素诱导的小鼠骨骼肌修复。
J Cachexia Sarcopenia Muscle. 2018 Feb;9(1):160-175. doi: 10.1002/jcsm.12248. Epub 2017 Oct 23.
5
Cysteine cathepsin proteases: regulators of cancer progression and therapeutic response.半胱氨酸组织蛋白酶蛋白酶:癌症进展和治疗反应的调节剂。
Nat Rev Cancer. 2015 Dec;15(12):712-29. doi: 10.1038/nrc4027.
6
Glyoxalase I is differentially expressed in cutaneous neoplasms and contributes to the progression of squamous cell carcinoma.一氧戊二酸酶 I 在皮肤肿瘤中差异表达,并有助于鳞状细胞癌的进展。
J Invest Dermatol. 2015 Feb;135(2):589-598. doi: 10.1038/jid.2014.377. Epub 2014 Sep 3.
7
Momordica charantia (Bitter Melon) reduces obesity-associated macrophage and mast cell infiltration as well as inflammatory cytokine expression in adipose tissues.苦瓜可减少肥胖相关的巨噬细胞和肥大细胞浸润,以及脂肪组织中炎症细胞因子的表达。
PLoS One. 2013 Dec 17;8(12):e84075. doi: 10.1371/journal.pone.0084075. eCollection 2013.
8
Cathepsin K activity controls injury-related vascular repair in mice.组织蛋白酶 K 活性控制小鼠损伤相关的血管修复。
Hypertension. 2014 Mar;63(3):607-15. doi: 10.1161/HYPERTENSIONAHA.113.02141. Epub 2013 Dec 16.
9
Differential Impact of Cysteine Cathepsins on Genetic Mouse Models of De novo Carcinogenesis: Cathepsin B as Emerging Therapeutic Target.半胱氨酸组织蛋白酶对新发癌基因小鼠模型的不同影响:组织蛋白酶B作为新兴治疗靶点
Front Pharmacol. 2012 Jul 11;3:133. doi: 10.3389/fphar.2012.00133. eCollection 2012.
10
Cysteine cathepsins: from structure, function and regulation to new frontiers.半胱氨酸组织蛋白酶:从结构、功能与调控到新前沿领域
Biochim Biophys Acta. 2012 Jan;1824(1):68-88. doi: 10.1016/j.bbapap.2011.10.002. Epub 2011 Oct 12.
胶质母细胞瘤和内皮细胞通过 SDF-1 相互作用,增强肿瘤侵袭和内皮细胞增殖,通过增加组织蛋白酶 B、S 和 MMP-9 的表达来实现。
Cancer Lett. 2010 Mar 1;289(1):53-61. doi: 10.1016/j.canlet.2009.07.014. Epub 2009 Aug 22.
4
Intratumoral gene delivery of anti-cathepsin L single-chain variable fragment by lentiviral vector inhibits tumor progression induced by human melanoma cells.通过慢病毒载体进行抗组织蛋白酶L单链可变片段的瘤内基因递送可抑制人黑色素瘤细胞诱导的肿瘤进展。
Cancer Gene Ther. 2008 Sep;15(9):591-604. doi: 10.1038/cgt.2008.51. Epub 2008 Jul 11.
5
RNAi-mediated abrogation of cathepsin B and MMP-9 gene expression in a malignant meningioma cell line leads to decreased tumor growth, invasion and angiogenesis.RNA干扰介导的恶性脑膜瘤细胞系中组织蛋白酶B和基质金属蛋白酶-9基因表达的消除导致肿瘤生长、侵袭和血管生成减少。
Int J Oncol. 2007 Nov;31(5):1039-50.
6
Type IV collagen-derived angiogenesis inhibitors.IV型胶原衍生的血管生成抑制剂。
Microvasc Res. 2007 Sep-Nov;74(2-3):85-9. doi: 10.1016/j.mvr.2007.05.005. Epub 2007 May 25.
7
Cathepsin L deficiency reduces diet-induced atherosclerosis in low-density lipoprotein receptor-knockout mice.组织蛋白酶L缺乏可减轻低密度脂蛋白受体基因敲除小鼠的饮食诱导性动脉粥样硬化。
Circulation. 2007 Apr 17;115(15):2065-75. doi: 10.1161/CIRCULATIONAHA.107.688523. Epub 2007 Apr 2.
8
Cysteine cathepsins: multifunctional enzymes in cancer.半胱氨酸组织蛋白酶:癌症中的多功能酶
Nat Rev Cancer. 2006 Oct;6(10):764-75. doi: 10.1038/nrc1949.
9
Aberrant expression of cystatin C in prostate cancer is associated with neuroendocrine differentiation.胱抑素C在前列腺癌中的异常表达与神经内分泌分化相关。
BJU Int. 2006 Jul;98(1):189-96. doi: 10.1111/j.1464-410X.2006.06345.x.
10
Distinct roles for cysteine cathepsin genes in multistage tumorigenesis.半胱氨酸组织蛋白酶基因在多阶段肿瘤发生中的不同作用。
Genes Dev. 2006 Mar 1;20(5):543-56. doi: 10.1101/gad.1407406. Epub 2006 Feb 15.