Suppr超能文献

胸腺肽 β4 在人胎儿和成人泌尿生殖系统中的免疫反应性。

Immunoreactivity of thymosin beta 4 in human foetal and adult genitourinary tract.

机构信息

Dipartimento di Citomorfologia, Divisione di Anatomia Patologica, University of Cagliari, Cagliari, Italy.

出版信息

Eur J Histochem. 2010 Oct 13;54(4):e43. doi: 10.4081/ejh.2010.e43.

Abstract

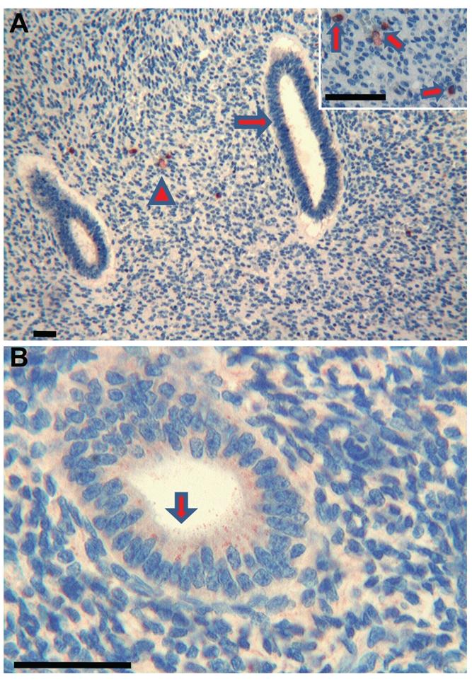
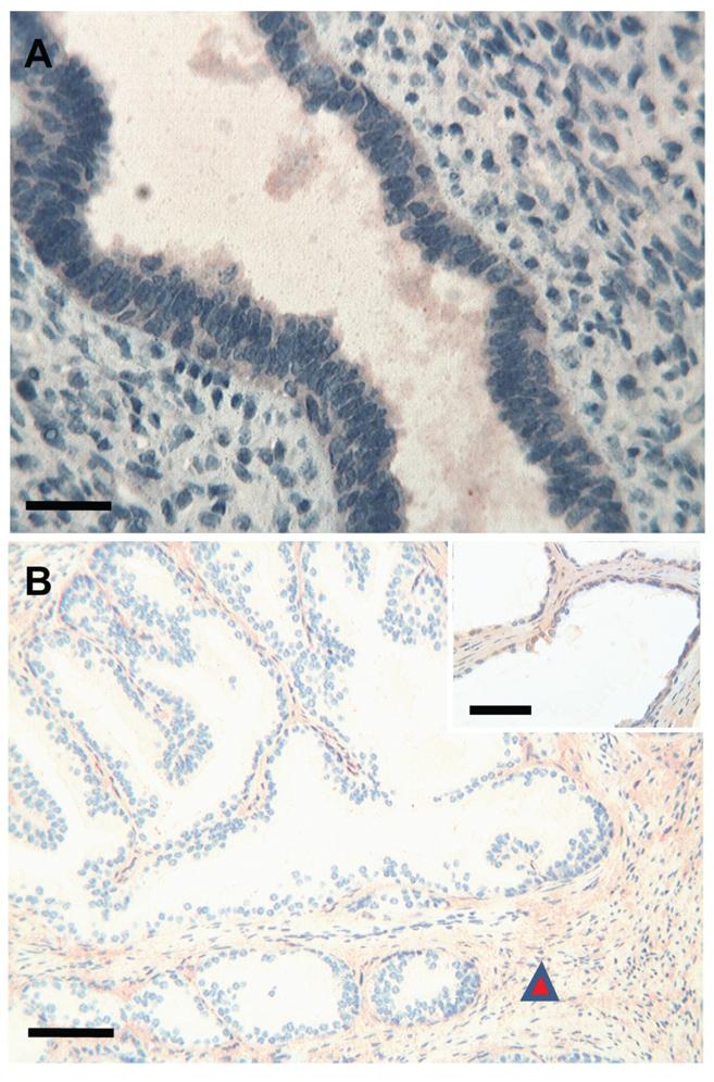
Thymosins beta 4 (Tβ4) is a member of the beta-thymosins family, a family of peptides playing essential roles in many cellular functions. Our recent studies suggested Tβ4 plays a key role in the development of human salivary glands and the gastrointestinal tract. The aim of this study was to analyse the presence of Tβ4 in the human adult and foetal genitourinary tract. Immunolocalization of Tβ4 was studied in autoptic samples of kidney, bladder, uterus, ovary, testicle and prostate obtained from four human foetuses and four adults. Presence of the peptide was observed in cells of different origin: in surface epithelium, in gland epithelial cells and in the interstitial cells. Tβ4 was mainly found in adult and foetal bladder in the transitional epithelial cells; in the adult endometrium, glands and stromal cells were immunoreactive for the peptide; Tβ4 was mainly localized in the glands of foetal prostate while, in the adults a weak Tβ4 reactivity was restricted to the stroma. In adult and foetal kidney, Tβ4 reactivity was restricted to ducts and tubules with completely spared glomeruli; a weak positivity was observed in adult and foetal oocytes; immunoreactivity was mainly localized in the interstitial cells of foetal and adult testis. In this study, we confirm that Tβ4 could play a relevant role during human development, even in the genitourinary tract, and reveal that immunoreactivity for this peptide may change during postnatal and adult life.

摘要

β4 胸腺肽(Tβ4)是β-胸腺肽家族的成员,该家族的肽在许多细胞功能中起着至关重要的作用。我们最近的研究表明,Tβ4 在人唾液腺和胃肠道的发育中起关键作用。本研究旨在分析 Tβ4 在人成年和胎儿泌尿生殖道中的存在。在从四个胎儿和四个成年人获得的肾脏、膀胱、子宫、卵巢、睾丸和前列腺的尸检样本中研究了 Tβ4 的免疫定位。该肽存在于不同来源的细胞中:表面上皮细胞、腺体上皮细胞和间质细胞。Tβ4 主要存在于成人和胎儿膀胱的移行上皮细胞中;在成人子宫内膜中,腺体和基质细胞对该肽呈免疫反应性;Tβ4 主要定位于胎儿前列腺的腺体中,而在成人中,较弱的 Tβ4 反应性仅限于基质。在成人和胎儿肾脏中,Tβ4 反应性仅限于导管和小管,肾小球完全不受影响;在成年和胎儿卵母细胞中观察到弱阳性;免疫反应性主要定位于胎儿和成年睾丸的间质细胞中。在这项研究中,我们证实 Tβ4 可能在人类发育过程中发挥重要作用,甚至在泌尿生殖道中,并且表明该肽的免疫反应性可能在出生后和成年期发生变化。

https://cdn.ncbi.nlm.nih.gov/pmc/blobs/d1e8/3167329/21a742c0f77f/ejh-2010-4-e43-g001.jpg

文献AI研究员

20分钟写一篇综述,助力文献阅读效率提升50倍。

立即体验

用中文搜PubMed

大模型驱动的PubMed中文搜索引擎

马上搜索

文档翻译

学术文献翻译模型,支持多种主流文档格式。

立即体验