Suppr超能文献

未被怀疑的单组淋巴结阳性且侵犯降主动脉的非小细胞肺癌(NSCLC)患者的手术切除与生存情况

Surgical resection and survival of patients with unsuspected single node positive lung cancer (NSCLC) invading the descending aorta.

作者信息

Wex Peter, Graeter Thomas, Zaraca Francesco, Haas Victor, Decker Steffen, Bugdayev Hansanali, Ebner Heinrich

机构信息

Department of Thoracic and Vascular Surgery, Clinic Loewenstein, Germany.

出版信息

Thorac Surg Sci. 2009 Jul 14;6:Doc02. doi: 10.3205/tss000016.

Abstract

BACKGROUND

Surgical treatment of non-small cell lung cancer (NSCLC) with aortic invasion is still debated.

METHODS

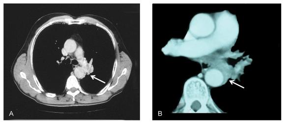
Thirteen patients with locally advanced (T4) NSCLC and invasion of the descending aorta underwent pneumonectomy (n=9) or lobectomy (n=4) together with aorta en bloc resection and reconstruction (n=8) or subadventitial dissection (n=5), complete lymph node dissection, and had microscopic unsuspected node metastasis at N1 (n=5) and N2/3 (n=8) levels of whom 12 received radiation therapy. Clamp-and-sew was used to resect and reconstruct the aorta.

RESULTS

Operative mortality and morbidity rate was 0% and 23%, respectively. Four patients died of systemic tumor relapse and 2 of local recurrence. Six patients were alive after a median follow-up of 40 months (range 15-125 months). Overall 5-year survival rate was 45%. Median survival time and 5-year survival rate of patients after aortic resection was 35 months and 67%, respectively, and was 17 months and 0%, respectively, after aortic subadventi-tial dissection (p=0.001). N1 and N2 nodal status adversely affected survival, but survival difference was not significant (N1 versus N2/3; 52% versus 39% at 5 years; p=0.998).

CONCLUSIONS

Aortic resection with single station node positive T4 lung cancer can achieve long-term survival. The data indicate that aortic resection-reconstruction is associated with better outcome than subadventitial dissection.

摘要

背景

非小细胞肺癌(NSCLC)合并主动脉侵犯的手术治疗仍存在争议。

方法

13例局部晚期(T4)NSCLC且降主动脉受侵的患者接受了肺切除术(n = 9)或肺叶切除术(n = 4),同时进行主动脉整块切除和重建(n = 8)或外膜下剥离术(n = 5)、完整的淋巴结清扫术,其中12例患者有镜下未怀疑的N1(n = 5)和N2/3(n = 8)水平淋巴结转移,12例接受了放射治疗。采用钳夹缝合技术切除并重建主动脉。

结果

手术死亡率和发病率分别为0%和23%。4例患者死于全身肿瘤复发,2例死于局部复发。中位随访40个月(范围15 - 125个月)后,6例患者存活。总体5年生存率为45%。主动脉切除术后患者的中位生存时间和5年生存率分别为35个月和67%,主动脉外膜下剥离术后分别为17个月和0%(p = 0.001)。N1和N2淋巴结状态对生存有不利影响,但生存差异不显著(N1与N2/3相比;5年时分别为52%和39%;p = 0.998)。

结论

单站淋巴结阳性的T4肺癌行主动脉切除可实现长期生存。数据表明,主动脉切除重建术比外膜下剥离术预后更好。

https://cdn.ncbi.nlm.nih.gov/pmc/blobs/3ad2/3011294/9e171bfd8002/TSS-06-02-t-001.jpg

文献检索

告别复杂PubMed语法,用中文像聊天一样搜索,搜遍4000万医学文献。AI智能推荐,让科研检索更轻松。

立即免费搜索

文件翻译

保留排版,准确专业,支持PDF/Word/PPT等文件格式,支持 12+语言互译。

免费翻译文档

深度研究

AI帮你快速写综述,25分钟生成高质量综述,智能提取关键信息,辅助科研写作。

立即免费体验