Suppr超能文献

雌激素和孕激素对小鼠子宫中小亮氨酸丰富的蛋白聚糖(SLRPs)表达的调节。

Modulation of small leucine-rich proteoglycans (SLRPs) expression in the mouse uterus by estradiol and progesterone.

机构信息

Laboratory of Reproductive and Extracellular Matrix Biology, Department of Cell and Developmental Biology, Institute of Biomedical Sciences, University of São Paulo, São Paulo, Brazil.

出版信息

Reprod Biol Endocrinol. 2011 Feb 4;9:22. doi: 10.1186/1477-7827-9-22.

Abstract

BACKGROUND

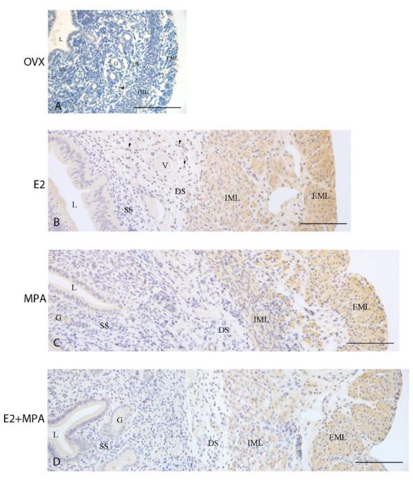
We have previously demonstrated that four members of the family of small leucine-rich-proteoglycans (SLRPs) of the extracellular matrix (ECM), named decorin, biglycan, lumican and fibromodulin, are deeply remodeled in mouse uterine tissues along the estrous cycle and early pregnancy. It is known that the combined action of estrogen (E2) and progesterone (P4) orchestrates the estrous cycle and prepares the endometrium for pregnancy, modulating synthesis, deposition and degradation of various molecules. Indeed, we showed that versican, another proteoglycan of the ECM, is under hormonal control in the uterine tissues.

METHODS

E2 and/or medroxiprogesterone acetate (MPA) were used to demonstrate, by real time PCR and immunoperoxidase staining, respectively, their effects on mRNA expression and protein deposition of these SLRPs, in the uterine tissues.

RESULTS

Decorin and lumican were constitutively expressed and deposited in the ECM in the absence of the ovarian hormones, whereas deposition of biglycan and fibromodulin were abolished from the uterine ECM in the non-treated group. Interestingly, ovariectomy promoted an increase in decorin, lumican and fibromodulin mRNA levels, while biglycan mRNA conspicuously decreased. Hormone replacement with E2 and/or MPA differentially modulates their expression and deposition.

CONCLUSIONS

The patterns of expression of these SLRPs in the uterine tissues were found to be hormone-dependent and uterine compartment-related. These results reinforce the existence of subpopulations of endometrial fibroblasts, localized into distinct functional uterine compartments, resembling the organization into basal and functional layers of the human endometrium.

摘要

背景

我们之前已经证明,细胞外基质 (ECM) 中小亮氨酸丰富的蛋白聚糖 (SLRPs) 家族的四个成员,即饰胶蛋白聚糖、大软骨素蛋白聚糖、亮氨酸丰富的蛋白聚糖和纤维连接蛋白,在小鼠子宫组织中沿着发情周期和早期妊娠被深度重塑。已知雌激素 (E2) 和孕激素 (P4) 的联合作用协调发情周期并为妊娠做准备,调节各种分子的合成、沉积和降解。事实上,我们已经表明,细胞外基质中的另一种蛋白聚糖,即 versican,受激素调控。

方法

使用雌二醇 (E2) 和/或醋酸甲羟孕酮 (MPA) 通过实时 PCR 和免疫过氧化物酶染色,分别证明它们对这些 SLRPs 的 mRNA 表达和蛋白沉积的影响。

结果

在没有卵巢激素的情况下,饰胶蛋白聚糖和亮氨酸丰富的蛋白聚糖被持续表达并沉积在 ECM 中,而大软骨素蛋白聚糖和纤维连接蛋白的沉积则在未处理组中从子宫 ECM 中消失。有趣的是,卵巢切除术促进了饰胶蛋白聚糖、亮氨酸丰富的蛋白聚糖和纤维连接蛋白 mRNA 水平的增加,而大软骨素蛋白聚糖 mRNA 明显减少。E2 和/或 MPA 的激素替代以不同的方式调节它们的表达和沉积。

结论

这些 SLRPs 在子宫组织中的表达模式被发现是依赖于激素和子宫腔相关的。这些结果加强了存在子宫内膜成纤维细胞的亚群,这些细胞被定位到不同的功能子宫腔中,类似于人类子宫内膜的基础层和功能层的组织。

https://cdn.ncbi.nlm.nih.gov/pmc/blobs/dfeb/3041739/2b1c91bbdfed/1477-7827-9-22-1.jpg

文献检索

告别复杂PubMed语法,用中文像聊天一样搜索,搜遍4000万医学文献。AI智能推荐,让科研检索更轻松。

立即免费搜索

文件翻译

保留排版,准确专业,支持PDF/Word/PPT等文件格式,支持 12+语言互译。

免费翻译文档

深度研究

AI帮你快速写综述,25分钟生成高质量综述,智能提取关键信息,辅助科研写作。

立即免费体验