• 文献检索
  • 文档翻译
  • 深度研究
  • 学术资讯
  • Suppr Zotero 插件Zotero 插件
  • 邀请有礼
  • 套餐&价格
  • 历史记录
应用&插件
Suppr Zotero 插件Zotero 插件浏览器插件Mac 客户端Windows 客户端微信小程序
定价
高级版会员购买积分包购买API积分包
服务
文献检索文档翻译深度研究API 文档MCP 服务
关于我们
关于 Suppr公司介绍联系我们用户协议隐私条款
关注我们

Suppr 超能文献

核心技术专利:CN118964589B侵权必究
粤ICP备2023148730 号-1Suppr @ 2026

文献检索

告别复杂PubMed语法,用中文像聊天一样搜索,搜遍4000万医学文献。AI智能推荐,让科研检索更轻松。

立即免费搜索

文件翻译

保留排版,准确专业,支持PDF/Word/PPT等文件格式,支持 12+语言互译。

免费翻译文档

深度研究

AI帮你快速写综述,25分钟生成高质量综述,智能提取关键信息,辅助科研写作。

立即免费体验

一例急性胸脊柱损伤后创伤性乳糜漏:通过严格的饮食控制成功解决。

A case of a traumatic chyle leak following an acute thoracic spine injury: successful resolution with strict dietary manipulation.

机构信息

Department of Surgery, Division of Trauma and Surgical Critical Care, Kern Medical Center, Bakersfield, California.

Department of Nutrition and Dietary Services, Kern Medical Center, Bakersfield, California.

出版信息

World J Emerg Surg. 2011 Mar 28;6:10. doi: 10.1186/1749-7922-6-10.

DOI:10.1186/1749-7922-6-10
PMID:21443785
原文链接:https://pmc.ncbi.nlm.nih.gov/articles/PMC3072950/
Abstract

BACKGROUND

Chylothorax is a rare form of pleural effusion that can be associated with both traumatic and non-traumatic causes. Thoracic duct ligation is often the treatment of choice in postsurgical patients; however the optimal treatment of this disease process after traumatic injury remains unclear 1. We present a rare case of a thoracic duct injury secondary to a blunt thoracic spine fracture and subluxation which was successfully treated non-operatively.

CASE PRESENTATION

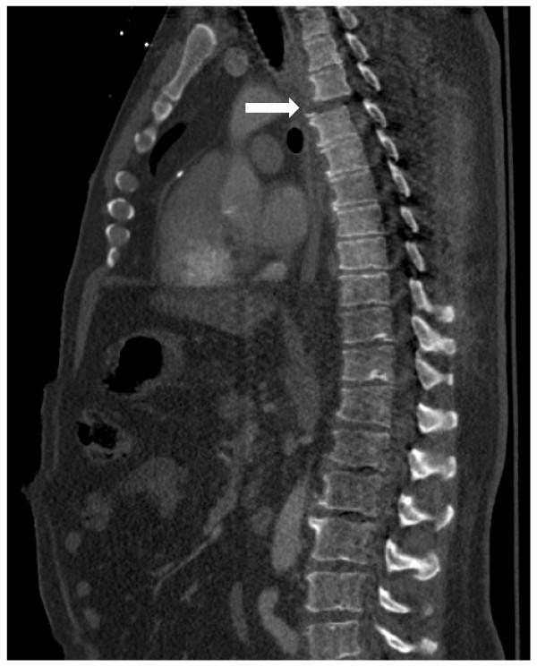
A 51 year old male presented as a tier one trauma code due to an automobile versus bicycle collision. His examination and radiographic work-up revealed fractures and a subluxation at the third and fourth thoracic spine levels resulting in paraplegia. He also sustained bilateral hemothoraces secondary to multiple rib fractures. Drainage of the left hemothorax led to the diagnosis of a traumatic chylothorax. The thoracic spine fractures were addressed with surgical stabilization and the chylothorax was successfully treated with drainage and dietary manipulation.

CONCLUSIONS

This unusual and complex blunt thoracic duct injury required a multidisciplinary approach. Although the spine injury required surgical fixation, successful resolution of the chyle leak was achieved without surgical intervention.

摘要

背景

乳糜胸是一种罕见的胸腔积液形式,可与创伤和非创伤原因有关。胸导管结扎通常是手术后患者的首选治疗方法;然而,创伤后这种疾病过程的最佳治疗方法仍不清楚 1。我们报告了一例继发于钝性胸椎骨折和半脱位的胸导管损伤的罕见病例,该病例经非手术治疗成功治愈。

病例介绍

一名 51 岁男性因汽车与自行车碰撞而被列为一级创伤患者。他的检查和影像学检查显示第三和第四胸椎水平的骨折和半脱位导致截瘫。他还因多发性肋骨骨折而导致双侧血胸。左侧血胸引流导致外伤性乳糜胸的诊断。胸椎骨折采用手术固定,乳糜胸通过引流和饮食管理成功治疗。

结论

这种不常见且复杂的钝性胸导管损伤需要多学科方法。尽管脊柱损伤需要手术固定,但无需手术干预即可成功解决乳糜漏。

https://cdn.ncbi.nlm.nih.gov/pmc/blobs/220e/3072950/4eb6d281766f/1749-7922-6-10-2.jpg
https://cdn.ncbi.nlm.nih.gov/pmc/blobs/220e/3072950/cb62008ee343/1749-7922-6-10-1.jpg
https://cdn.ncbi.nlm.nih.gov/pmc/blobs/220e/3072950/4eb6d281766f/1749-7922-6-10-2.jpg
https://cdn.ncbi.nlm.nih.gov/pmc/blobs/220e/3072950/cb62008ee343/1749-7922-6-10-1.jpg
https://cdn.ncbi.nlm.nih.gov/pmc/blobs/220e/3072950/4eb6d281766f/1749-7922-6-10-2.jpg

相似文献

1
A case of a traumatic chyle leak following an acute thoracic spine injury: successful resolution with strict dietary manipulation.一例急性胸脊柱损伤后创伤性乳糜漏:通过严格的饮食控制成功解决。
World J Emerg Surg. 2011 Mar 28;6:10. doi: 10.1186/1749-7922-6-10.
2
Traumatic chylothorax following blunt thoracic trauma.钝性胸部创伤后创伤性乳糜胸。
Trauma Case Rep. 2024 Sep 15;54:101101. doi: 10.1016/j.tcr.2024.101101. eCollection 2024 Dec.
3
Thoracic duct injury after decortication of lung, new technique to repair thoracic duct in this challenging situation: A case report.肺剥脱术后胸导管损伤,在这种具有挑战性的情况下修复胸导管的新技术:一例报告。
Asian Cardiovasc Thorac Ann. 2021 Jul;29(6):558-561. doi: 10.1177/0218492321997080. Epub 2021 Mar 2.
4
Blunt rupture of the thoracic duct after severe thoracic trauma.严重胸部创伤后胸导管钝性破裂。
Trauma Surg Acute Care Open. 2018 Jun 20;3(1):e000183. doi: 10.1136/tsaco-2018-000183. eCollection 2018.
5
Bilateral chylothorax after blunt thoracic trauma: a case report.钝性胸部创伤后双侧乳糜胸:一例报告
Turk J Pediatr. 2009 Sep-Oct;51(5):504-6.
6
Bilateral Chylothorax Due to Blunt Trauma Without Radiographic Evidence of Traumatic Injury.钝性创伤所致双侧乳糜胸,无创伤性损伤的影像学证据。
Clin Pract Cases Emerg Med. 2017 Mar 15;1(2):111-114. doi: 10.5811/cpcem.2016.12.32937. eCollection 2017 May.
7
A review of traumatic chylothorax.创伤性乳糜胸综述
Injury. 2016 Mar;47(3):545-50. doi: 10.1016/j.injury.2015.12.015. Epub 2015 Dec 23.
8
Unusual airway obstruction due to thoracic duct injury after whiplash injury.因挥鞭伤导致胸导管损伤引起的气道阻塞
Ulus Travma Acil Cerrahi Derg. 2021 Jul;27(4):478-482. doi: 10.14744/tjtes.2020.08055.
9
Traumatic chylothorax following blunt thoracic trauma: two conservatively treated cases.钝性胸部创伤后创伤性乳糜胸:两例保守治疗病例
J Card Surg. 2009 Mar-Apr;24(2):220-2. doi: 10.1111/j.1540-8191.2009.00828.x.
10
Nonoperative thoracic duct embolization for traumatic thoracic duct leak: experience in 109 patients.非手术性胸导管栓塞治疗创伤性胸导管漏:109 例经验。
J Thorac Cardiovasc Surg. 2010 Mar;139(3):584-89; discussion 589-90. doi: 10.1016/j.jtcvs.2009.11.025. Epub 2009 Dec 29.

引用本文的文献

1
Postoperative left-sided chylothorax following posterior approach in late-onset idiopathic scoliosis surgery.迟发性特发性脊柱侧凸手术中后路入路术后左侧乳糜胸
Surg Neurol Int. 2024 Nov 8;15:408. doi: 10.25259/SNI_823_2024. eCollection 2024.

本文引用的文献

1
Medical and surgical management of chylothorax and associated outcomes.乳糜胸的医疗和手术管理及相关结果。
Am J Med Sci. 2010 Apr;339(4):314-8. doi: 10.1097/MAJ.0b013e3181cdcd6c.
2
[Treatment of a persistent postoperative chylothorax with octreotide].[用奥曲肽治疗持续性术后乳糜胸]
Kyobu Geka. 2009 Sep;62(10):885-7.
3
Surgical management of chylothorax.乳糜胸的外科治疗
Thorac Cardiovasc Surg. 2009 Jun;57(4):226-8. doi: 10.1055/s-0029-1185457. Epub 2009 May 20.
4
Traumatic chylothorax following blunt thoracic trauma: two conservatively treated cases.钝性胸部创伤后创伤性乳糜胸:两例保守治疗病例
J Card Surg. 2009 Mar-Apr;24(2):220-2. doi: 10.1111/j.1540-8191.2009.00828.x.
5
Administration of octreotide for management of postoperative high-flow chylothorax.使用奥曲肽治疗术后高流量乳糜胸。
Ann Vasc Surg. 2007 Jan;21(1):90-2. doi: 10.1016/j.avsg.2006.02.001.
6
Pleural effusions of extravascular origin.血管外源性胸腔积液。
Clin Chest Med. 2006 Jun;27(2):285-308. doi: 10.1016/j.ccm.2005.12.004.
7
Etiology of chylothorax in 203 patients.203例乳糜胸的病因
Mayo Clin Proc. 2005 Jul;80(7):867-70. doi: 10.4065/80.7.867.
8
Traumatic chylothorax: a report of a case and a survey of the literature.创伤性乳糜胸:一例报告及文献综述
Br J Surg. 1952 May;39(158):564-8. doi: 10.1002/bjs.18003915822.
9
Traumatic chylothorax; a case after dislocation of the thoracic spine.创伤性乳糜胸;一例胸椎脱位后的病例。
J Bone Joint Surg Br. 1952 Feb;34-B(1):64-7. doi: 10.1302/0301-620X.34B1.64.
10
Management of chylothorax.乳糜胸的管理
Br J Surg. 1997 Dec;84(12):1711-6.