Suppr超能文献

一例罕见的神经性肌萎缩病例,表现为双侧膈神经和声带麻痹。

An unusual case of neuralgic amyotrophy presenting with bilateral phrenic nerve and vocal cord paresis.

作者信息

Holtbernd F, Zehnhoff-Dinnesen A Am, Duning T, Kemmling A, Ringelstein E B

机构信息

Departments of Neurology, University Hospital of Muenster, Muenster, Germany.

出版信息

Case Rep Neurol. 2011 Feb 23;3(1):69-74. doi: 10.1159/000325061.

Abstract

BACKGROUND

Neuralgic amyotrophy (brachial plexus neuropathy, brachial plexus neuritis, or Parsonage-Turner syndrome) is an uncommon inflammatory condition typically characterized by acute and severe shoulder pain followed by paresis with muscle weakness and atrophy of the upper limb or shoulder girdle. We report an unusual clinical manifestation of neuralgic amyotrophy, namely bilateral phrenic nerve palsy with concomitant laryngeal paresis.

CASE REPORT

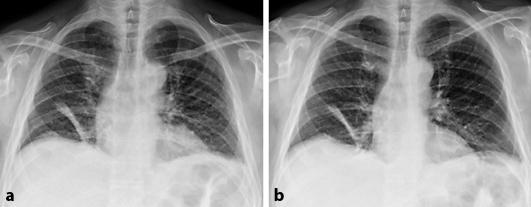
A 55-year-old male presented with orthopnea and aphonia after an episode of bilateral shoulder pain preceded by an upper respiratory tract infection. Spirometry, chest X-ray and videolaryngoscopy revealed bilateral and simultaneous paresis of the diaphragm and the vocal cords. Clinical examination at admission and at the 2-month follow-up did not show upper limb weakness or atrophy, except for a mild atrophy of the right supraspinatus muscle. An electromyography of the upper limb muscles and nerve conduction studies did not reveal signs of denervation. Analysis of the cerebrospinal fluid and an MRI of the neuraxis were unremarkable. After treatment with prednisolone, vocal cord function markedly improved within 8 weeks, whereas paresis of the diaphragm persisted.

CONCLUSION

Shoulder pain followed by diaphragmatic paralysis with dyspnea and hoarseness may be a manifestation of neuralgic amyotrophy even if upper limb or shoulder girdle palsies are absent.

摘要

背景

神经性肌萎缩(臂丛神经病、臂丛神经炎或帕森热-特纳综合征)是一种罕见的炎症性疾病,其典型特征为急性剧烈肩部疼痛,随后出现上肢或肩胛带肌无力和萎缩的麻痹症状。我们报告了一例神经性肌萎缩的不寻常临床表现,即双侧膈神经麻痹伴喉麻痹。

病例报告

一名55岁男性,在上呼吸道感染后出现双侧肩部疼痛,随后出现端坐呼吸和失音。肺活量测定、胸部X线检查和电子喉镜检查显示双侧膈肌和声带同时麻痹。入院时及2个月随访时的临床检查未发现上肢无力或萎缩,仅右侧冈上肌轻度萎缩。上肢肌肉的肌电图和神经传导研究未发现失神经迹象。脑脊液分析和神经轴MRI检查无异常。使用泼尼松龙治疗后,声带功能在8周内明显改善,而膈肌麻痹持续存在。

结论

即使没有上肢或肩胛带麻痹,肩部疼痛后出现膈肌麻痹伴呼吸困难和声音嘶哑也可能是神经性肌萎缩的表现。

https://cdn.ncbi.nlm.nih.gov/pmc/blobs/e38d/3072197/fb9cf993b3a5/crn0003-0069-f01.jpg

文献检索

告别复杂PubMed语法,用中文像聊天一样搜索,搜遍4000万医学文献。AI智能推荐,让科研检索更轻松。

立即免费搜索

文件翻译

保留排版,准确专业,支持PDF/Word/PPT等文件格式,支持 12+语言互译。

免费翻译文档

深度研究

AI帮你快速写综述,25分钟生成高质量综述,智能提取关键信息,辅助科研写作。

立即免费体验