• 文献检索
  • 文档翻译
  • 深度研究
  • 学术资讯
  • Suppr Zotero 插件Zotero 插件
  • 邀请有礼
  • 套餐&价格
  • 历史记录
应用&插件
Suppr Zotero 插件Zotero 插件浏览器插件Mac 客户端Windows 客户端微信小程序
定价
高级版会员购买积分包购买API积分包
服务
文献检索文档翻译深度研究API 文档MCP 服务
关于我们
关于 Suppr公司介绍联系我们用户协议隐私条款
关注我们

Suppr 超能文献

核心技术专利:CN118964589B侵权必究
粤ICP备2023148730 号-1Suppr @ 2026

文献检索

告别复杂PubMed语法,用中文像聊天一样搜索,搜遍4000万医学文献。AI智能推荐,让科研检索更轻松。

立即免费搜索

文件翻译

保留排版,准确专业,支持PDF/Word/PPT等文件格式,支持 12+语言互译。

免费翻译文档

深度研究

AI帮你快速写综述,25分钟生成高质量综述,智能提取关键信息,辅助科研写作。

立即免费体验

因腹部运动相关钝性创伤导致孤立性完全性胰腺横断伤的延迟表现。

Delayed presentation of isolated complete pancreatic transection as a result of sport-related blunt trauma to the abdomen.

作者信息

Healey Andrew J, Dimarakis Iannis, Pai Madhava, Jiao Long R

机构信息

HPB Surgery, Division of Surgery, Oncology, Reproductive Biology and Anesthetics, Imperial College of Science, Technology and Medicine, Hammersmith Hospital Campus, London, UK.

出版信息

Case Rep Gastroenterol. 2008 Jan 29;2(1):22-6. doi: 10.1159/000112919.

DOI:10.1159/000112919
PMID:21490833
原文链接:https://pmc.ncbi.nlm.nih.gov/articles/PMC3075161/
Abstract

INTRODUCTION

Blunt abdominal trauma is a rare but well-recognized cause of pancreatic transection. A delayed presentation of pancreatic fracture following sport-related blunt trauma with the coexisting diagnostic pitfalls is presented.

CASE REPORT

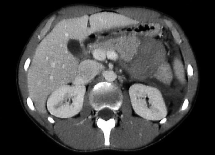
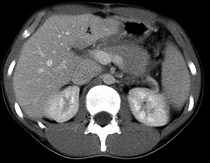
A 17-year-old rugby player was referred to our specialist unit after having been diagnosed with traumatic pancreatic transection, having presented 24 h after a sporting injury. Despite haemodynamic stability, at laparotomy he was found to have a diffuse mesenteric hematoma involving the large and small bowel mesentery, extending down to the sigmoid colon from the splenic flexure, and a large retroperitoneal hematoma arising from the pancreas. The pancreas was completely severed with the superior border of the distal segment remaining attached to the splenic vein that was intact. A distal pancreatectomy with spleen preservation and evacuation of the retroperitoneal hematoma was performed.

DISCUSSION/CONCLUSION: Blunt pancreatic trauma is a serious condition. Diagnosis and treatment may often be delayed, which in turn may drastically increase morbidity and mortality. Diagnostic difficulties apply to both paraclinical and radiological diagnostic methods. A high index of suspicion should be maintained in such cases, with a multi-modality diagnostic approach and prompt surgical intervention as required.

摘要

引言

钝性腹部创伤是胰腺横断的一种罕见但已被充分认识的病因。本文介绍了一例与运动相关的钝性创伤后胰腺骨折的延迟表现以及并存的诊断陷阱。

病例报告

一名17岁的橄榄球运动员在运动损伤24小时后被诊断为创伤性胰腺横断,随后被转诊至我们的专科病房。尽管血流动力学稳定,但在剖腹手术中发现他有弥漫性肠系膜血肿,累及大小肠系膜,从脾曲向下延伸至乙状结肠,还有一个源于胰腺的巨大腹膜后血肿。胰腺完全横断,远端部分的上缘仍与完整的脾静脉相连。进行了保留脾脏的远端胰腺切除术并清除了腹膜后血肿。

讨论/结论:钝性胰腺创伤是一种严重的病症。诊断和治疗常常可能延迟,这反过来可能大幅增加发病率和死亡率。诊断困难适用于辅助临床和放射学诊断方法。在此类病例中应保持高度的怀疑指数,采用多模式诊断方法并根据需要及时进行手术干预。

https://cdn.ncbi.nlm.nih.gov/pmc/blobs/e524/3075161/4c41f8adac50/crg0002-0022-f02.jpg
https://cdn.ncbi.nlm.nih.gov/pmc/blobs/e524/3075161/887fb8e1cd8b/crg0002-0022-f01.jpg
https://cdn.ncbi.nlm.nih.gov/pmc/blobs/e524/3075161/4c41f8adac50/crg0002-0022-f02.jpg
https://cdn.ncbi.nlm.nih.gov/pmc/blobs/e524/3075161/887fb8e1cd8b/crg0002-0022-f01.jpg
https://cdn.ncbi.nlm.nih.gov/pmc/blobs/e524/3075161/4c41f8adac50/crg0002-0022-f02.jpg

相似文献

1
Delayed presentation of isolated complete pancreatic transection as a result of sport-related blunt trauma to the abdomen.因腹部运动相关钝性创伤导致孤立性完全性胰腺横断伤的延迟表现。
Case Rep Gastroenterol. 2008 Jan 29;2(1):22-6. doi: 10.1159/000112919.
2
Experience with totally laparoscopic distal pancreatectomy with splenic preservation for pediatric trauma--2 techniques.经腹腔镜保留脾脏的小儿外伤性胰体尾切除术的经验——2 种技术。
J Pediatr Surg. 2011 Mar;46(3):588-93. doi: 10.1016/j.jpedsurg.2010.07.020.
3
A rare case of central pancreatectomy for isolated complete pancreatic neck transection trauma.一例罕见的因孤立性完全性胰颈部横断伤行全胰切除术的病例。
BMC Surg. 2019 Jul 12;19(1):91. doi: 10.1186/s12893-019-0557-x.
4
Isolated complete jejunal transection following abdominal blunt trauma with delayed presentation.腹部钝性创伤后出现孤立性完全性空肠横断且就诊延迟。
Trauma Case Rep. 2015 Nov 6;1(5-8):60-63. doi: 10.1016/j.tcr.2015.10.010. eCollection 2015 Oct.
5
Conservative management of complete traumatic pancreatic body transection; A case report.创伤性胰腺体部完全横断的保守治疗:一例报告
Int J Surg Case Rep. 2020;71:222-224. doi: 10.1016/j.ijscr.2020.05.011. Epub 2020 May 21.
6
Case report: Evisceration of abdomen after blunt trauma.病例报告:钝性创伤后腹部脏器脱出。
Int J Surg Case Rep. 2020;72:207-211. doi: 10.1016/j.ijscr.2020.05.037. Epub 2020 Jun 1.
7
Horizontal traumatic laceration of the pancreas head: A rare case report.胰头水平外伤性撕裂伤:一例罕见病例报告。
Int J Surg Case Rep. 2017;31:119-123. doi: 10.1016/j.ijscr.2017.01.030. Epub 2017 Jan 17.
8
Small bowell perforation and mesentery injury after an unusual blunt abdominal trauma-Case report.罕见钝性腹部创伤后小肠穿孔及肠系膜损伤——病例报告
Int J Surg Case Rep. 2015;7C:51-3. doi: 10.1016/j.ijscr.2014.12.029. Epub 2014 Dec 24.
9
Seatbelt sign in a case of blunt abdominal trauma; what lies beneath it?钝性腹部创伤病例中的安全带征;其背后隐藏着什么?
BMC Surg. 2015 Oct 30;15:121. doi: 10.1186/s12893-015-0108-z.
10
Isolated pediatric pancreatic transection secondary to ocean-related trauma.继发于海洋相关创伤的孤立性小儿胰腺横断伤。
JOP. 2013 Mar 10;14(2):203-6. doi: 10.6092/1590-8577/1320.

引用本文的文献

1
An isolated mesenteric hematoma following blunt abdominal trauma - case report and literature review.钝性腹部创伤后孤立性肠系膜血肿——病例报告及文献综述
Trauma Case Rep. 2024 Sep 14;54:101104. doi: 10.1016/j.tcr.2024.101104. eCollection 2024 Dec.
2
Delayed distal pancreatectomy for isolated complete pancreatic disruption secondary to "trivial" blunt abdominal injury: A case report and literature review.因“轻微”钝性腹部损伤继发孤立性完全性胰腺断裂行延迟性胰体尾切除术:病例报告及文献复习
Clin Case Rep. 2022 Sep 6;10(9):e6295. doi: 10.1002/ccr3.6295. eCollection 2022 Sep.
3
Diagnostic double strike in the emergency room - two cases of complete pancreatic ruptures due to bicycle handlebar injuries on two consecutive days.

本文引用的文献

1
Blunt trauma of the pancreas and biliary tract: a multimodality imaging approach to diagnosis.胰腺和胆道钝性创伤:一种用于诊断的多模态成像方法
Radiographics. 2004 Sep-Oct;24(5):1381-95. doi: 10.1148/rg.245045002.
2
The use of MRCP in the detection of pancreatic injuries after blunt trauma.磁共振胰胆管造影(MRCP)在钝性创伤后胰腺损伤检测中的应用。
Emerg Radiol. 2003 Apr;10(1):14-8. doi: 10.1007/s10140-003-0278-3. Epub 2003 Mar 26.
3
Management of blunt major pancreatic injury.钝性严重胰腺损伤的处理
急诊室里的诊断双重打击——连续两天因自行车车把损伤导致两例完全性胰腺破裂。
J Med Case Rep. 2018 Mar 26;12(1):85. doi: 10.1186/s13256-018-1594-2.
J Trauma. 2004 Apr;56(4):774-8. doi: 10.1097/01.ta.0000087644.90727.df.
4
An isolated complete pancreatic fracture primarily diagnosed by ultrasound.主要通过超声诊断出的孤立性完全性胰腺骨折。
Ulus Travma Acil Cerrahi Derg. 2004 Apr;10(2):138-40.
5
Predictors of morbidity after traumatic pancreatic injury.创伤性胰腺损伤后发病的预测因素。
J Trauma. 2003 Nov;55(5):898-905. doi: 10.1097/01.TA.0000090755.07769.4C.
6
Pancreatic transection from blunt abdominal trauma: early versus delayed diagnosis and surgical management.钝性腹部创伤所致胰腺横断伤:早期与延迟诊断及手术治疗
Dig Surg. 2003;20(5):408-14. doi: 10.1159/000072708. Epub 2003 Jul 31.
7
Laparoscopic spleen preserving distal pancreatectomy after blunt abdominal trauma.
Injury. 2003 Mar;34(3):233-4. doi: 10.1016/s0020-1383(02)00261-9.
8
Pancreatic trauma in the adult: current knowledge in diagnosis and management.
Pancreatology. 2002;2(4):365-78. doi: 10.1159/000065084.
9
Surgery after pancreatic trauma: less and later. What we can learn from acute pancreatitis.
Pancreatology. 2002;2(4):363-4. doi: 10.1159/000065083.
10
Diagnosis and initial management of blunt pancreatic trauma: guidelines from a multiinstitutional review.钝性胰腺创伤的诊断与初始处理:一项多机构回顾的指南
Ann Surg. 1998 Jun;227(6):861-9. doi: 10.1097/00000658-199806000-00009.