Suppr超能文献

结直肠癌的食管转移

Oesophageal metastasis from colorectal cancer.

作者信息

Thomasset Sarah C, Garcea Giuseppe, Berry David P

机构信息

Department of Hepatobiliary and Pancreatic Surgery, Leicester General Hospital, Leicester, UK.

出版信息

Case Rep Gastroenterol. 2008 Feb 19;2(1):40-4. doi: 10.1159/000113217.

Abstract

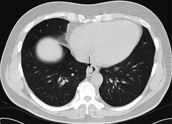
Metastasis to the oesophagus is most frequently described in association with lung or breast cancer. Diagnosis is frequently complicated as often only normal tissue is present in endoscopic biopsy specimens. Although oesophagectomy for metastasis has been described, few patients are suitable for curative resection. We report the case of a 62-year-old man who developed an oesophageal metastasis from colorectal cancer and review the available literature.

摘要

食管癌转移最常被描述为与肺癌或乳腺癌相关。诊断常常很复杂,因为在内镜活检标本中通常仅存在正常组织。尽管已经报道了针对转移灶的食管切除术,但很少有患者适合进行根治性切除。我们报告了一例62岁男性发生结直肠癌食管转移的病例,并对现有文献进行了综述。

https://cdn.ncbi.nlm.nih.gov/pmc/blobs/b3b5/3075164/5315bb8fa2ae/crg0002-0040-f01.jpg

文献检索

告别复杂PubMed语法,用中文像聊天一样搜索,搜遍4000万医学文献。AI智能推荐,让科研检索更轻松。

立即免费搜索

文件翻译

保留排版,准确专业,支持PDF/Word/PPT等文件格式,支持 12+语言互译。

免费翻译文档

深度研究

AI帮你快速写综述,25分钟生成高质量综述,智能提取关键信息,辅助科研写作。

立即免费体验