Suppr超能文献

原发性结肠印戒细胞癌伴癌细胞血症:一例尸检病例

Primary colonic signet ring cell carcinoma presenting carcinocythemia: an autopsy case.

作者信息

Misawa Ryosuke, Kobayashi Motohiro, Ito Makoto, Kato Mai, Uchikawa Yuji, Takagi Satoshi

机构信息

Department of Surgery, Omachi Municipal General Hospital, Omachi, Japan.

出版信息

Case Rep Gastroenterol. 2008 Sep 30;2(3):301-7. doi: 10.1159/000155146.

Abstract

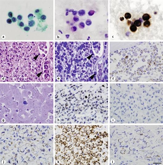
Primary colorectal signet ring cell carcinoma (SRCC) is a rare but distinctive type of mucin-producing adenocarcinoma of the large intestine with still controversial clinicopathological features and prognosis. We encountered primary colonic SRCC in a 51-year-old Japanese man with extensive bone metastasis ultimately leading to carcinocythemia before the initiation of chemotherapy and surgical intervention. Three days before death, besides progressive disseminated intravascular coagulation that had been present on admission, hematological examination showed sudden leukocytosis with nonhematopoietic cells that subsequently turned out to be signet ring cells (SRCs). Carcinocythemia, the presence of circulating cancer cells in peripheral blood, is considered to be a rare but an ominous phenomenon occurring in the advanced stage of certain types of cancers, particularly mammary lobular carcinoma. It can be assumed that carcinoma cells lacking intercellular cohesiveness and polarized cell membrane organization, including SRCs as well as lobular carcinoma cells, can readily get access to the peripheral circulation; however, to our knowledge, this is the first report of primary colorectal SRCC that presented carcinocythemia. Extensive bone metastatic sites, in the present case, may have functioned as a reservoir of circulating SRCs.

摘要

原发性结直肠印戒细胞癌(SRCC)是一种罕见但独特的大肠黏液腺癌,其临床病理特征和预后仍存在争议。我们遇到一名51岁的日本男性原发性结肠SRCC患者,在开始化疗和手术干预之前,他出现了广泛的骨转移,最终导致癌血症。在死亡前三天,除了入院时就已存在的进行性弥散性血管内凝血外,血液学检查显示突然出现白细胞增多,伴有非造血细胞,后来发现这些细胞是印戒细胞(SRCs)。癌血症是指外周血中存在循环癌细胞,被认为是一种罕见但在某些类型癌症晚期出现的不祥现象,尤其是乳腺小叶癌。可以推测,缺乏细胞间黏附性和极化细胞膜组织的癌细胞,包括SRCs以及小叶癌细胞,能够轻易进入外周循环;然而,据我们所知,这是首例出现癌血症的原发性结直肠SRCC报告。在本病例中,广泛的骨转移部位可能起到了循环SRCs储存库的作用。

https://cdn.ncbi.nlm.nih.gov/pmc/blobs/6efc/3075188/be0bfca42703/crg0002-0301-f01.jpg

文献检索

告别复杂PubMed语法,用中文像聊天一样搜索,搜遍4000万医学文献。AI智能推荐,让科研检索更轻松。

立即免费搜索

文件翻译

保留排版,准确专业,支持PDF/Word/PPT等文件格式,支持 12+语言互译。

免费翻译文档

深度研究

AI帮你快速写综述,25分钟生成高质量综述,智能提取关键信息,辅助科研写作。

立即免费体验