Suppr超能文献

经钻孔活检联合内镜黏膜切除术诊断的原发性直肠印戒细胞癌

Primary Signet Ring Cell Carcinoma of Rectum Diagnosed by Boring Biopsy in Combination with Endoscopic Mucosal Resection.

作者信息

Hirata Yoshito, Kanno Keishi, Kishikawa Nobusuke, Tomoda Shinji, Kimura Kazuki, Kobayashi Tomoki, Miyamori Daisuke, Otani Yuichiro, Mizooka Masafumi, Arihiro Koji, Oka Shiro, Tanaka Shinji, Tazuma Susumu

机构信息

Department of General Internal Medicine, Hiroshima University Hospital, 1-2-3 Kasumi, Minami-ku, Hiroshima 734-8551, Japan.

Department of Anatomical Pathology, Hiroshima University Hospital, 1-2-3 Kasumi, Minami-ku, Hiroshima 734-8551, Japan.

出版信息

Case Rep Med. 2018 Jan 10;2018:5860815. doi: 10.1155/2018/5860815. eCollection 2018.

Abstract

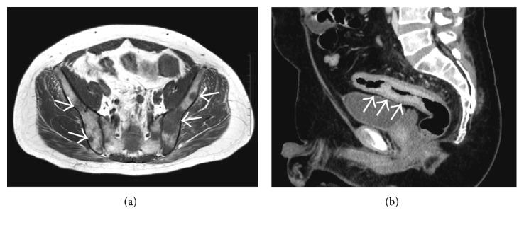
A 46-year-old man with severe back pain visited our hospital. Magnetic resonance imaging revealed extensive bone metastasis and rectal wall thickness. Colonoscopy revealed circumferential stenosis with edematous mucosa, suggesting colon cancer. However, histological findings of biopsy specimens revealed inflammatory cells but no malignant cells. The patient underwent endoscopic ultrasound, which demonstrated edematous wall thickness without destruction of the normal layer structure. After unsuccessful detection of neoplastic cells by boring biopsies, we performed endoscopic mucosal resection followed by boring biopsies that finally revealed signet ring cell carcinoma. Herein, we present a case and provide a review of the literature.

摘要

一名46岁的严重背痛男子前来我院就诊。磁共振成像显示广泛的骨转移和直肠壁增厚。结肠镜检查发现环形狭窄,黏膜水肿,提示结肠癌。然而,活检标本的组织学检查结果显示有炎性细胞,但无恶性细胞。患者接受了内镜超声检查,显示肠壁增厚且水肿,但正常层结构未被破坏。在通过钻取活检未能检测到肿瘤细胞后,我们进行了内镜黏膜切除术,随后再次进行钻取活检,最终发现印戒细胞癌。在此,我们报告一例病例并对相关文献进行综述。

https://cdn.ncbi.nlm.nih.gov/pmc/blobs/673e/5818929/0153987624e3/CRIM2018-5860815.001.jpg

文献检索

告别复杂PubMed语法,用中文像聊天一样搜索,搜遍4000万医学文献。AI智能推荐,让科研检索更轻松。

立即免费搜索

文件翻译

保留排版,准确专业,支持PDF/Word/PPT等文件格式,支持 12+语言互译。

免费翻译文档

深度研究

AI帮你快速写综述,25分钟生成高质量综述,智能提取关键信息,辅助科研写作。

立即免费体验