Suppr超能文献

门静脉气体所致气体栓塞:病例报告及文献综述

Gas embolism caused by portal vein gas: case report and literature review.

作者信息

Kamikado Chiaki, Nagano Shinjiro, Takumi Kouji, Senokuchi Terutoshi, Kubo Masaaki, Mitsue Shinji, Fukumoto Toshitaka, Natugoe Shouji, Aikou Takashi

机构信息

Department of Surgery, Kagoshima Prefectural Sastunan Hospital, Minamisatuma City, Japan.

出版信息

Case Rep Gastroenterol. 2008 Aug 15;2(2):262-71. doi: 10.1159/000146064.

Abstract

INTRODUCTION

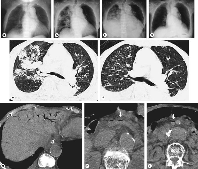
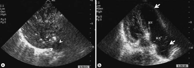
We describe a case of pulmonary gas embolism caused by portal vein gas (PVG) observed using echocardiography. Echography revealed gas flowing through the hepatic vein, inferior vena cava, right atrium, and right ventricle, as well as pulmonary hypertension. The patient was diagnosed as having pulmonary gas embolism caused by PVG.

OBJECTIVE

We consider PVG routes to pulmonary circulation, diagnosis of gas embolism caused by PVG, and treatment of gas embolism caused by PVG.

METHODS

We reviewed reports of eight cases of gas embolism caused by PVG and compared these cases to cases of gas embolism without PVG.

RESULTS

Mortality of gas embolism caused by PVG was 67%, positive blood culture was observed in six cases, and pulmonary edema was seen in three cases. PVG initially excites microbubble formation, which causes tissue damage in the liver and liver abscess. A large volume of PVG causes portal obstruction. As a result, portal hypertension, a portosystemic shunt or gastrointestinal congestion can occur. PVG can travel to the systemic vein through the liver or portosystemic shunt without anomaly and cause pulmonary gas embolism, followed by arterial embolism. In this environment, sepsis easily occurs. Echocardiography is useful for diagnosis of gas embolism caused by PVG, but the gas can be seen intermittently. The view of pulmonary edema is important for pulmonary gas embolism caused by PVG.

CONCLUSION

It is important to treat the underlying disease, but PVG must be considered and treated as the gas embolism's source.

摘要

引言

我们描述了一例通过超声心动图观察到的由门静脉气体(PVG)引起的肺气体栓塞病例。超声检查显示气体流经肝静脉、下腔静脉、右心房和右心室,同时伴有肺动脉高压。该患者被诊断为由PVG引起的肺气体栓塞。

目的

我们探讨PVG进入肺循环的途径、由PVG引起的气体栓塞的诊断以及由PVG引起的气体栓塞的治疗。

方法

我们回顾了8例由PVG引起的气体栓塞病例报告,并将这些病例与无PVG的气体栓塞病例进行比较。

结果

由PVG引起的气体栓塞死亡率为67%,6例血培养呈阳性,3例出现肺水肿。PVG最初会激发微泡形成,导致肝脏组织损伤和肝脓肿。大量的PVG会导致门静脉阻塞。结果,可能会发生门静脉高压、门体分流或胃肠道充血。PVG可通过肝脏或门体分流无异常地进入体循环静脉,引起肺气体栓塞,随后导致动脉栓塞。在这种情况下,败血症很容易发生。超声心动图对诊断由PVG引起的气体栓塞很有用,但气体可能会间歇性出现。肺水肿的表现对由PVG引起的肺气体栓塞很重要。

结论

治疗基础疾病很重要,但必须将PVG视为气体栓塞的来源并进行治疗。

https://cdn.ncbi.nlm.nih.gov/pmc/blobs/5ea2/3075153/a25f12a8df5c/crg0002-0262-f01.jpg

文献检索

告别复杂PubMed语法,用中文像聊天一样搜索,搜遍4000万医学文献。AI智能推荐,让科研检索更轻松。

立即免费搜索

文件翻译

保留排版,准确专业,支持PDF/Word/PPT等文件格式,支持 12+语言互译。

免费翻译文档

深度研究

AI帮你快速写综述,25分钟生成高质量综述,智能提取关键信息,辅助科研写作。

立即免费体验