• 文献检索
  • 文档翻译
  • 深度研究
  • 学术资讯
  • Suppr Zotero 插件Zotero 插件
  • 邀请有礼
  • 套餐&价格
  • 历史记录
应用&插件
Suppr Zotero 插件Zotero 插件浏览器插件Mac 客户端Windows 客户端微信小程序
定价
高级版会员购买积分包购买API积分包
服务
文献检索文档翻译深度研究API 文档MCP 服务
关于我们
关于 Suppr公司介绍联系我们用户协议隐私条款
关注我们

Suppr 超能文献

核心技术专利:CN118964589B侵权必究
粤ICP备2023148730 号-1Suppr @ 2026

文献检索

告别复杂PubMed语法,用中文像聊天一样搜索,搜遍4000万医学文献。AI智能推荐,让科研检索更轻松。

立即免费搜索

文件翻译

保留排版,准确专业,支持PDF/Word/PPT等文件格式,支持 12+语言互译。

免费翻译文档

深度研究

AI帮你快速写综述,25分钟生成高质量综述,智能提取关键信息,辅助科研写作。

立即免费体验

尼帕病毒样颗粒的疫苗潜力。

Vaccine potential of Nipah virus-like particles.

机构信息

Department of Microbiology, Center for Biodefense and Emerging Infectious Disease, University of Texas Medical Branch, Galveston, Texas, United States of America.

出版信息

PLoS One. 2011 Apr 6;6(4):e18437. doi: 10.1371/journal.pone.0018437.

DOI:10.1371/journal.pone.0018437
PMID:21494680
原文链接:https://pmc.ncbi.nlm.nih.gov/articles/PMC3071823/
Abstract

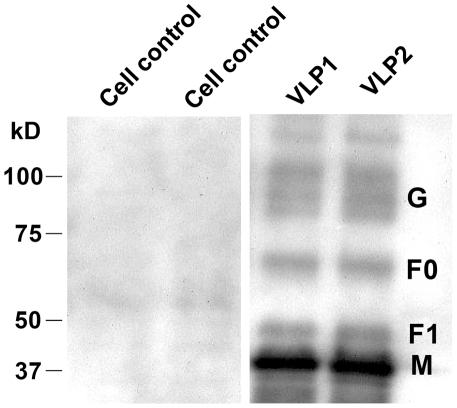
Nipah virus (NiV) was first recognized in 1998 in a zoonotic disease outbreak associated with highly lethal febrile encephalitis in humans and a predominantly respiratory disease in pigs. Periodic deadly outbreaks, documentation of person-to-person transmission, and the potential of this virus as an agent of agroterror reinforce the need for effective means of therapy and prevention. In this report, we describe the vaccine potential of NiV virus-like particles (NiV VLPs) composed of three NiV proteins G, F and M. Co-expression of these proteins under optimized conditions resulted in quantifiable amounts of VLPs with many virus-like/vaccine desirable properties including some not previously described for VLPs of any paramyxovirus: The particles were fusogenic, inducing syncytia formation; PCR array analysis showed NiV VLP-induced activation of innate immune defense pathways; the surface structure of NiV VLPs imaged by cryoelectron microscopy was dense, ordered, and repetitive, and consistent with similarly derived structure of paramyxovirus measles virus. The VLPs were composed of all the three viral proteins as designed, and their intracellular processing also appeared similar to NiV virions. The size, morphology and surface composition of the VLPs were consistent with the parental virus, and importantly, they retained their antigenic potential. Finally, these particles, formulated without adjuvant, were able to induce neutralizing antibody response in Balb/c mice. These findings indicate vaccine potential of these particles and will be the basis for undertaking future protective efficacy studies in animal models of NiV disease.

摘要

尼帕病毒(NiV)于 1998 年首次在与人类高度致命性发热性脑炎和猪主要呼吸道疾病相关的人畜共患疾病爆发中被发现。周期性的致命性爆发、人际传播的记录以及这种病毒作为农业恐怖主义手段的潜力,都加强了对有效治疗和预防手段的需求。在本报告中,我们描述了由尼帕病毒三种蛋白 G、F 和 M 组成的尼帕病毒样颗粒(NiV VLPs)的疫苗潜力。在优化条件下共表达这些蛋白会产生可量化的 VLPs,具有许多病毒样/疫苗所需的特性,其中一些特性以前从未在任何副粘病毒的 VLPs 中描述过:这些颗粒具有融合性,可诱导合胞体形成;PCR 数组分析显示 NiV VLP 诱导了先天免疫防御途径的激活;冷冻电子显微镜下观察到 NiV VLPs 的表面结构密集、有序且具有重复性,与类似来源的副粘病毒麻疹病毒的结构一致。VLPs 如设计的那样由三种病毒蛋白组成,其细胞内加工也似乎与 NiV 病毒粒子相似。VLPs 的大小、形态和表面组成与亲本病毒一致,重要的是,它们保留了其抗原性潜力。最后,这些颗粒在没有佐剂的情况下被制成制剂,能够在 Balb/c 小鼠中诱导中和抗体反应。这些发现表明这些颗粒具有疫苗潜力,并将成为在 NiV 疾病动物模型中进行未来保护效力研究的基础。

https://cdn.ncbi.nlm.nih.gov/pmc/blobs/cd88/3071823/d78c17793e64/pone.0018437.g006.jpg
https://cdn.ncbi.nlm.nih.gov/pmc/blobs/cd88/3071823/d8554dadf9e2/pone.0018437.g001.jpg
https://cdn.ncbi.nlm.nih.gov/pmc/blobs/cd88/3071823/4d46ac722164/pone.0018437.g002.jpg
https://cdn.ncbi.nlm.nih.gov/pmc/blobs/cd88/3071823/b78652840971/pone.0018437.g003.jpg
https://cdn.ncbi.nlm.nih.gov/pmc/blobs/cd88/3071823/e7ac6fd36dc8/pone.0018437.g004.jpg
https://cdn.ncbi.nlm.nih.gov/pmc/blobs/cd88/3071823/c6f2faf1ae33/pone.0018437.g005.jpg
https://cdn.ncbi.nlm.nih.gov/pmc/blobs/cd88/3071823/d78c17793e64/pone.0018437.g006.jpg
https://cdn.ncbi.nlm.nih.gov/pmc/blobs/cd88/3071823/d8554dadf9e2/pone.0018437.g001.jpg
https://cdn.ncbi.nlm.nih.gov/pmc/blobs/cd88/3071823/4d46ac722164/pone.0018437.g002.jpg
https://cdn.ncbi.nlm.nih.gov/pmc/blobs/cd88/3071823/b78652840971/pone.0018437.g003.jpg
https://cdn.ncbi.nlm.nih.gov/pmc/blobs/cd88/3071823/e7ac6fd36dc8/pone.0018437.g004.jpg
https://cdn.ncbi.nlm.nih.gov/pmc/blobs/cd88/3071823/c6f2faf1ae33/pone.0018437.g005.jpg
https://cdn.ncbi.nlm.nih.gov/pmc/blobs/cd88/3071823/d78c17793e64/pone.0018437.g006.jpg

相似文献

1
Vaccine potential of Nipah virus-like particles.尼帕病毒样颗粒的疫苗潜力。
PLoS One. 2011 Apr 6;6(4):e18437. doi: 10.1371/journal.pone.0018437.
2
Structure-Based Design of Nipah Virus Vaccines: A Generalizable Approach to Paramyxovirus Immunogen Development.基于结构的尼帕病毒疫苗设计:副黏液病毒免疫原开发的通用方法。
Front Immunol. 2020 Jun 11;11:842. doi: 10.3389/fimmu.2020.00842. eCollection 2020.
3
Recombinant measles virus vaccine expressing the Nipah virus glycoprotein protects against lethal Nipah virus challenge.表达尼帕病毒糖蛋白的重组麻疹病毒疫苗可预防致死性尼帕病毒攻击。
PLoS One. 2013;8(3):e58414. doi: 10.1371/journal.pone.0058414. Epub 2013 Mar 14.
4
A highly effective ferritin-based divalent nanoparticle vaccine shields Syrian hamsters against lethal Nipah virus.一种高效的基于铁蛋白的二价纳米颗粒疫苗可保护叙利亚仓鼠免受致命性尼帕病毒的侵害。
Front Immunol. 2024 Jun 6;15:1387811. doi: 10.3389/fimmu.2024.1387811. eCollection 2024.
5
Immune responses in mice and pigs after oral vaccination with rabies virus vectored Nipah disease vaccines.口服接种狂犬病毒载体尼帕病疫苗后小鼠和猪的免疫反应。
Vet Microbiol. 2020 Feb;241:108549. doi: 10.1016/j.vetmic.2019.108549. Epub 2019 Dec 11.
6
[Study on the DNA immunogenicity of fusion and attachment glycoproteins of Nipah virus].[尼帕病毒融合糖蛋白和附着糖蛋白的DNA免疫原性研究]
Bing Du Xue Bao. 2008 Jan;24(1):47-52.
7
Newcastle disease virus-vectored Nipah encephalitis vaccines induce B and T cell responses in mice and long-lasting neutralizing antibodies in pigs.新城疫病毒载体尼帕脑炎疫苗在小鼠中诱导 B 和 T 细胞应答,并在猪中诱导持久的中和抗体。
Virology. 2012 Oct 25;432(2):327-35. doi: 10.1016/j.virol.2012.06.001. Epub 2012 Jun 21.
8
Single-dose live-attenuated Nipah virus vaccines confer complete protection by eliciting antibodies directed against surface glycoproteins.单剂量减毒尼帕病毒疫苗通过诱导针对表面糖蛋白的抗体来提供完全保护。
Vaccine. 2014 May 7;32(22):2637-44. doi: 10.1016/j.vaccine.2014.02.087. Epub 2014 Mar 12.
9
Quantitative analysis of Nipah virus proteins released as virus-like particles reveals central role for the matrix protein.对作为病毒样颗粒释放的尼帕病毒蛋白进行定量分析,揭示了基质蛋白的核心作用。
Virol J. 2007 Jan 4;4:1. doi: 10.1186/1743-422X-4-1.
10
Proteomic composition of Nipah virus-like particles.尼帕病毒样颗粒的蛋白质组组成。
J Proteomics. 2018 Feb 10;172:190-200. doi: 10.1016/j.jprot.2017.10.012. Epub 2017 Oct 29.

引用本文的文献

1
Single amino acid substitution in Hendra virus attachment glycoprotein induces cross-neutralizing antibodies against Nipah virus.亨德拉病毒附着糖蛋白中的单氨基酸取代可诱导产生针对尼帕病毒的交叉中和抗体。
Signal Transduct Target Ther. 2025 Aug 29;10(1):276. doi: 10.1038/s41392-025-02370-0.
2
Vaccines and Animal Models of Nipah Virus: Current Situation and Future Prospects.尼帕病毒疫苗与动物模型:现状与未来展望
Vaccines (Basel). 2025 Jun 4;13(6):608. doi: 10.3390/vaccines13060608.
3
Emerging and reemerging infectious diseases: global trends and new strategies for their prevention and control.

本文引用的文献

1
Complementing defective viruses that express separate paramyxovirus glycoproteins provide a new vaccine vector approach.补充表达不同副黏病毒糖蛋白的缺陷型病毒为新型疫苗载体方法提供了可能。
J Virol. 2011 Mar;85(5):2004-11. doi: 10.1128/JVI.01852-10. Epub 2010 Dec 22.
2
Induction of neutralizing antibodies to Hendra and Nipah glycoproteins using a Venezuelan equine encephalitis virus in vivo expression system.利用委内瑞拉马脑炎病毒体内表达系统诱导中和抗 Hendra 和 Nipah 糖蛋白抗体。
Vaccine. 2010 Dec 16;29(2):212-20. doi: 10.1016/j.vaccine.2010.10.053. Epub 2010 Nov 2.
3
Poxvirus vector-based HIV vaccines.
新发和再发传染病:全球趋势及预防和控制新策略。
Signal Transduct Target Ther. 2024 Sep 11;9(1):223. doi: 10.1038/s41392-024-01917-x.
4
Highly sensitive and quantitative HiBiT-tagged Nipah virus-like particles: A platform for rapid antibody neutralization studies.高灵敏度定量的带有HiBiT标签的尼帕病毒样颗粒:用于快速抗体中和研究的平台。
Heliyon. 2024 May 24;10(11):e31905. doi: 10.1016/j.heliyon.2024.e31905. eCollection 2024 Jun 15.
5
Overview of Experimental Vaccines and Antiviral Therapeutics for Henipavirus Infection.亨德拉尼帕病毒感染的实验性疫苗和抗病毒治疗概述。
Methods Mol Biol. 2023;2682:1-22. doi: 10.1007/978-1-0716-3283-3_1.
6
Nipah and Hendra Viruses: Deadly Zoonotic Paramyxoviruses with the Potential to Cause the Next Pandemic.尼帕病毒和亨德拉病毒:具有引发下一次大流行潜力的致命人畜共患副粘病毒。
Pathogens. 2022 Nov 25;11(12):1419. doi: 10.3390/pathogens11121419.
7
Recombinant vaccines in 2022: a perspective from the cell factory.2022 年的重组疫苗:来自细胞工厂的视角。
Microb Cell Fact. 2022 Oct 5;21(1):203. doi: 10.1186/s12934-022-01929-8.
8
SARS-CoV-2 Virus-like Particles Produced by a Single Recombinant Baculovirus Generate Anti-S Antibody and Protect against Variant Challenge.SARS-CoV-2 病毒样颗粒由单个重组杆状病毒产生,可产生抗 S 抗体并预防变异株挑战。
Viruses. 2022 Apr 27;14(5):914. doi: 10.3390/v14050914.
9
Medical countermeasures against henipaviruses: a review and public health perspective.抗亨德拉尼帕病毒的医学对策:综述及公共卫生视角。
Lancet Infect Dis. 2022 Jan;22(1):e13-e27. doi: 10.1016/S1473-3099(21)00400-X. Epub 2021 Nov 1.
10
Virus-like particles: preparation, immunogenicity and their roles as nanovaccines and drug nanocarriers.病毒样颗粒:制备、免疫原性及其作为纳米疫苗和药物纳米载体的作用。
J Nanobiotechnology. 2021 Feb 25;19(1):59. doi: 10.1186/s12951-021-00806-7.
痘病毒载体 HIV 疫苗。
Curr Opin HIV AIDS. 2010 Sep;5(5):391-6. doi: 10.1097/COH.0b013e32833d1e87.
4
Structure of the recombinant alphavirus Western equine encephalitis virus revealed by cryoelectron microscopy.通过冷冻电子显微镜观察到重组黄病毒西部马脑炎病毒的结构。
J Virol. 2010 Oct;84(19):9775-82. doi: 10.1128/JVI.00876-10. Epub 2010 Jul 14.
5
Characterization of the antiviral and inflammatory responses against Nipah virus in endothelial cells and neurons.鉴定尼帕病毒在血管内皮细胞和神经元中的抗病毒和炎症反应。
Virology. 2010 Aug 15;404(1):78-88. doi: 10.1016/j.virol.2010.05.005.
6
Correlates of protection induced by vaccination.疫苗接种诱导的保护相关性。
Clin Vaccine Immunol. 2010 Jul;17(7):1055-65. doi: 10.1128/CVI.00131-10. Epub 2010 May 12.
7
Assembly and biological and immunological properties of Newcastle disease virus-like particles.新城疫病毒样颗粒的组装及生物学和免疫学特性。
J Virol. 2010 May;84(9):4513-23. doi: 10.1128/JVI.01931-09. Epub 2010 Feb 24.
8
A virus-like particle vaccine for epidemic Chikungunya virus protects nonhuman primates against infection.一种类似病毒的颗粒疫苗可预防基孔肯雅热病毒,保护非人灵长类动物免受感染。
Nat Med. 2010 Mar;16(3):334-8. doi: 10.1038/nm.2105. Epub 2010 Jan 28.
9
Regulation of adaptive immunity by the innate immune system.先天免疫系统对适应性免疫的调节。
Science. 2010 Jan 15;327(5963):291-5. doi: 10.1126/science.1183021.
10
Combined administration with DNA encoding vesicular stomatitis virus G protein enhances DNA vaccine potency.联合使用 DNA 编码水疱性口炎病毒 G 蛋白可增强 DNA 疫苗效力。
J Virol. 2010 Mar;84(5):2331-9. doi: 10.1128/JVI.01954-09. Epub 2009 Dec 16.