Suppr超能文献

儿童肺泡蛋白沉积症:病例系列

Pulmonary alveolar proteinosis in children: a case series.

作者信息

Tabatabaei Seyyed Ahmad, Karimi Abdollah, Tabatabaei Sedigheh Rafiee, Radpay Badiozzaman, Jadali Farzaneh, Shiva Farideh, Jahromy Mana Hadipour

机构信息

Assistant Professor of Pediatrics, Pediatric Pulmonary Fellowship, Mofid Children Hospital, Shahid Beheshti Medical University, Tehran, Iran.

出版信息

J Res Med Sci. 2010 Mar;15(2):120-4.

Abstract

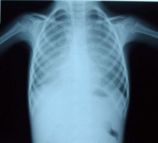
Pulmonary alveolar proteinosis, (PAP) is a rare disease of unknown etiology, characterized by accumulation of intraalveolar proteinaceous material which is rich in lipid and positive on periodic acid-Schiff stain. Two clinically different pediatric types have been defined as congenital PAP which is fulminant and fatal, and a late-onset PAP which is similar to the adult form and less severe. Eight children with late-onset PAP were hospitalized from 1998 to 2005 in Mofid Children Hospital. Characteristics of these patients and the methods of diagnosis and treatment are presented in this case series.

摘要

肺泡蛋白沉积症(PAP)是一种病因不明的罕见疾病,其特征是肺泡内富含脂质的蛋白质物质积聚,且过碘酸-希夫染色呈阳性。临床上已定义了两种不同的儿科类型,即暴发性且致命的先天性PAP,以及与成人形式相似且病情较轻的迟发性PAP。1998年至2005年期间,8名迟发性PAP患儿在莫菲德儿童医院住院。本病例系列介绍了这些患者的特征以及诊断和治疗方法。

https://cdn.ncbi.nlm.nih.gov/pmc/blobs/0aab/3082791/82acf6f3ac55/JRMS-15-120-g001.jpg

文献检索

告别复杂PubMed语法,用中文像聊天一样搜索,搜遍4000万医学文献。AI智能推荐,让科研检索更轻松。

立即免费搜索

文件翻译

保留排版,准确专业,支持PDF/Word/PPT等文件格式,支持 12+语言互译。

免费翻译文档

深度研究

AI帮你快速写综述,25分钟生成高质量综述,智能提取关键信息,辅助科研写作。

立即免费体验