Suppr超能文献

紧密连接蛋白4在卵巢癌不同亚型间存在差异表达,并在球体形成中发挥作用。

Claudin 4 Is differentially expressed between ovarian cancer subtypes and plays a role in spheroid formation.

作者信息

Boylan Kristin L M, Misemer Benjamin, De Rycke Melissa S, Andersen John D, Harrington Katherine M, Kalloger Steve E, Gilks C Blake, Pambuccian Stefan E, Skubitz Amy P N

机构信息

Department of Laboratory Medicine and Pathology, University of Minnesota, Minneapolis, MN 55455, USA; E-Mails:

出版信息

Int J Mol Sci. 2011 Feb 22;12(2):1334-58. doi: 10.3390/ijms12021334.

Abstract

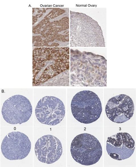
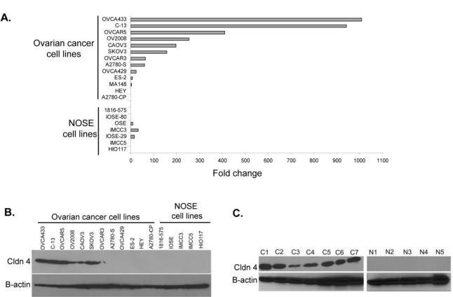
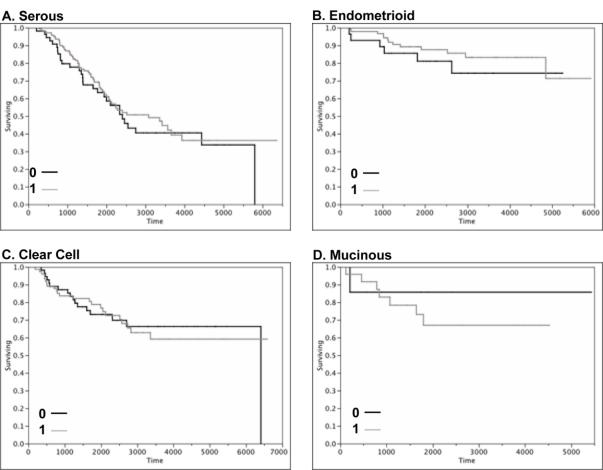
Claudin 4 is a cellular adhesion molecule that is frequently overexpressed in ovarian cancer and other epithelial cancers. In this study, we sought to determine whether the expression of claudin 4 is associated with outcome in ovarian cancer patients and may be involved in tumor progression. We examined claudin 4 expression in ovarian cancer tissues and cell lines, as well as by immunohistochemical staining of tissue microarrays (TMAs; n = 500), spheroids present in patients' ascites, and spheroids formed in vitro. Claudin 4 was expressed in nearly 70% of the ovarian cancer tissues examined and was differentially expressed across ovarian cancer subtypes, with the lowest expression in clear cell subtype. No association was found between claudin 4 expression and disease-specific survival in any subtype. Claudin 4 expression was also observed in multicellular spheroids obtained from patients' ascites. Using an in vitro spheroid formation assay, we found that NIH:OVCAR5 cells treated with shRNA against claudin 4 required a longer time to form compact spheroids compared to control NIH:OVCAR5 cells that expressed high levels of claudin 4. The inability of the NIH:OVCAR5 cells treated with claudin 4 shRNA to form compact spheroids was verified by FITC-dextran exclusion. These results demonstrate a role for claudin 4 and tight junctions in spheroid formation and integrity.

摘要

Claudin 4是一种细胞粘附分子,在卵巢癌和其他上皮癌中经常过度表达。在本研究中,我们试图确定Claudin 4的表达是否与卵巢癌患者的预后相关,以及是否可能参与肿瘤进展。我们检测了卵巢癌组织和细胞系中Claudin 4的表达,以及通过组织微阵列(TMAs;n = 500)、患者腹水中存在的球体和体外形成的球体的免疫组织化学染色进行检测。在所检测的近70%的卵巢癌组织中表达了Claudin 4,并且在不同的卵巢癌亚型中差异表达,在透明细胞亚型中表达最低。在任何亚型中,均未发现Claudin 4表达与疾病特异性生存之间存在关联。在从患者腹水中获得的多细胞球体中也观察到了Claudin 4的表达。使用体外球体形成试验,我们发现与表达高水平Claudin 4的对照NIH:OVCAR5细胞相比,用针对Claudin 4的shRNA处理的NIH:OVCAR5细胞形成紧密球体所需的时间更长。通过FITC-葡聚糖排除法验证了用Claudin 4 shRNA处理的NIH:OVCAR5细胞无法形成紧密球体。这些结果证明了Claudin 4和紧密连接在球体形成和完整性中的作用。

https://cdn.ncbi.nlm.nih.gov/pmc/blobs/e341/3083709/7d4d9e776d8c/ijms-12-01334f1.jpg

文献检索

告别复杂PubMed语法,用中文像聊天一样搜索,搜遍4000万医学文献。AI智能推荐,让科研检索更轻松。

立即免费搜索

文件翻译

保留排版,准确专业,支持PDF/Word/PPT等文件格式,支持 12+语言互译。

免费翻译文档

深度研究

AI帮你快速写综述,25分钟生成高质量综述,智能提取关键信息,辅助科研写作。

立即免费体验