• 文献检索
  • 文档翻译
  • 深度研究
  • 学术资讯
  • Suppr Zotero 插件Zotero 插件
  • 邀请有礼
  • 套餐&价格
  • 历史记录
应用&插件
Suppr Zotero 插件Zotero 插件浏览器插件Mac 客户端Windows 客户端微信小程序
定价
高级版会员购买积分包购买API积分包
服务
文献检索文档翻译深度研究API 文档MCP 服务
关于我们
关于 Suppr公司介绍联系我们用户协议隐私条款
关注我们

Suppr 超能文献

核心技术专利:CN118964589B侵权必究
粤ICP备2023148730 号-1Suppr @ 2026

文献检索

告别复杂PubMed语法,用中文像聊天一样搜索,搜遍4000万医学文献。AI智能推荐,让科研检索更轻松。

立即免费搜索

文件翻译

保留排版,准确专业,支持PDF/Word/PPT等文件格式,支持 12+语言互译。

免费翻译文档

深度研究

AI帮你快速写综述,25分钟生成高质量综述,智能提取关键信息,辅助科研写作。

立即免费体验

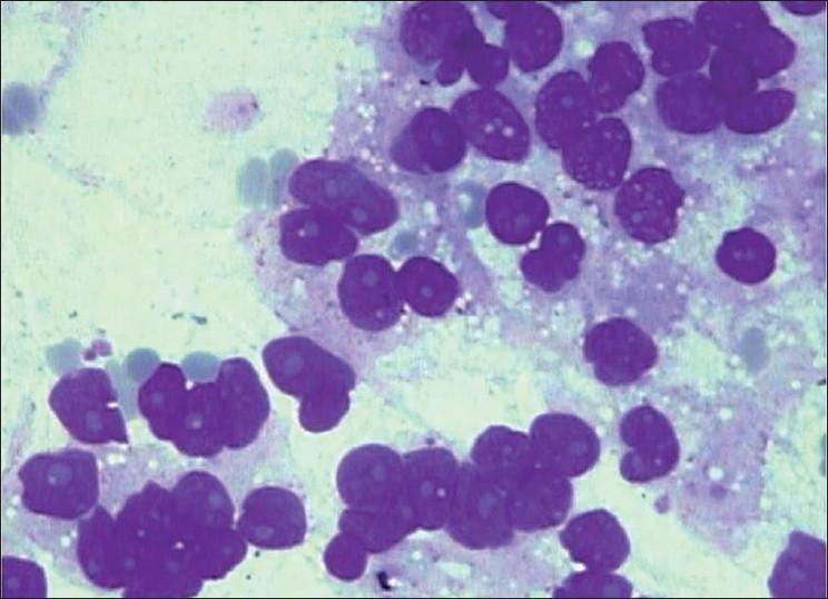
肾细胞癌皮肤转移的细胞诊断:一例报告并文献复习

Cytodiagnosis of cutaneous metastasis from renal cell carcinoma: A case report with review of literature.

作者信息

Dhingra Vishal, Misra Vatsala, Singh Anthony P, Agarwal Stuti

机构信息

Department of Pathology, M.L.N. Medical College, Allahabad - 211 001, Uttar Pradesh, India.

出版信息

J Cytol. 2011 Jan;28(1):30-2. doi: 10.4103/0970-9371.76947.

DOI:10.4103/0970-9371.76947
PMID:21552405
原文链接:https://pmc.ncbi.nlm.nih.gov/articles/PMC3083532/
Abstract

Cytodiagnosis of cutaneous metastasis of renal cell carcinoma (RCC) in the absence of history of primary tumor is difficult as it can be confused with other clear cell tumors. We report here a case of cytodiagnosis of cutaneous metastasis of RCC in a patient who had nephrectomy done 9 years back at some other centre, but did not have any records with him. Clinicians should be aware of the possibility of primary internal organ malignancy in patients presenting with cutaneous lesions and therefore conduct a careful examination and get necessary investigations. Prompt diagnosis and treatment will have its bearing on the eventual outcome.

摘要

在无原发性肿瘤病史的情况下,肾细胞癌(RCC)皮肤转移的细胞诊断很困难,因为它可能与其他透明细胞肿瘤混淆。我们在此报告一例RCC皮肤转移的细胞诊断病例,该患者9年前在其他中心接受了肾切除术,但他没有任何相关记录。临床医生应意识到出现皮肤病变的患者存在原发性内脏恶性肿瘤的可能性,因此要进行仔细检查并开展必要的检查。及时诊断和治疗将对最终结果产生影响。

https://cdn.ncbi.nlm.nih.gov/pmc/blobs/a11c/3083532/a76045f07f55/JCytol-28-30-g003.jpg
https://cdn.ncbi.nlm.nih.gov/pmc/blobs/a11c/3083532/0f79d82af646/JCytol-28-30-g001.jpg
https://cdn.ncbi.nlm.nih.gov/pmc/blobs/a11c/3083532/5fa8fbfcbcbe/JCytol-28-30-g002.jpg
https://cdn.ncbi.nlm.nih.gov/pmc/blobs/a11c/3083532/a76045f07f55/JCytol-28-30-g003.jpg
https://cdn.ncbi.nlm.nih.gov/pmc/blobs/a11c/3083532/0f79d82af646/JCytol-28-30-g001.jpg
https://cdn.ncbi.nlm.nih.gov/pmc/blobs/a11c/3083532/5fa8fbfcbcbe/JCytol-28-30-g002.jpg
https://cdn.ncbi.nlm.nih.gov/pmc/blobs/a11c/3083532/a76045f07f55/JCytol-28-30-g003.jpg

相似文献

1
Cytodiagnosis of cutaneous metastasis from renal cell carcinoma: A case report with review of literature.肾细胞癌皮肤转移的细胞诊断:一例报告并文献复习
J Cytol. 2011 Jan;28(1):30-2. doi: 10.4103/0970-9371.76947.
2
Cytodiagnosis of a Cutaneous Clear Cell Malignancy: Metastatic Renal Cell Carcinoma on Chin.皮肤透明细胞恶性肿瘤的细胞诊断:下巴处转移性肾细胞癌
J Clin Diagn Res. 2016 Jan;10(1):ED12-4. doi: 10.7860/JCDR/2016/15869.7100. Epub 2016 Jan 1.
3
Renal cell carcinoma presenting as a tumor on the scalp: A case report.表现为头皮肿物的肾细胞癌:一例报告。
Int J Surg Case Rep. 2020;76:56-59. doi: 10.1016/j.ijscr.2020.09.122. Epub 2020 Sep 24.
4
Cutaneous metastasis as the first sign of renal cell carcinoma - crossroad between literature analysis and own observations.皮肤转移作为肾细胞癌的首发症状——文献分析与自身观察的交叉点
Postepy Dermatol Alergol. 2022 Jun;39(3):553-558. doi: 10.5114/ada.2021.108275. Epub 2021 Aug 2.
5
Recurrent renal cell carcinoma presenting as a cutaneous metastasis: A case report and review of the literature.复发性肾细胞癌表现为皮肤转移:一例病例报告及文献复习
Urol Ann. 2021 Apr-Jun;13(2):174-176. doi: 10.4103/UA.UA_2_20. Epub 2021 Apr 13.
6
Cutaneous metastasis of renal cell carcinoma: a report of two cases.肾细胞癌皮肤转移:两例报告
Int J Clin Exp Pathol. 2012;5(2):175-8. Epub 2012 Feb 12.
7
[Cutaneous metastasis of renal cell carcinoma: A case report and review of the literature].[肾细胞癌皮肤转移:一例报告并文献复习]
Gac Med Mex. 2015 Jul-Aug;151(4):533-7.
8
Renal cell carcinoma presenting as a solitary cutaneous facial metastasis: case report and review of the literature.以孤立性面部皮肤转移灶为表现的肾细胞癌:病例报告及文献复习
Int Semin Surg Oncol. 2006 Sep 12;3:27. doi: 10.1186/1477-7800-3-27.
9
Cutaneous metastasis of medullary carcinoma thyroid masquerading as subcutaneous nodules anterior chest and mandibular region.甲状腺髓样癌伪装成前胸和下颌区域皮下结节的皮肤转移
Case Rep Dermatol Med. 2014;2014:805205. doi: 10.1155/2014/805205. Epub 2014 Nov 11.
10
Metatarsal metastasis from clear cell renal cell carcinoma: a case report and literature review.跖骨转移的透明细胞肾细胞癌:病例报告及文献复习。
BMC Urol. 2020 Feb 24;20(1):19. doi: 10.1186/s12894-020-00588-4.

引用本文的文献

1
Cutaneous metastasis of renal cell carcinoma masquerading as scrotal growth.伪装成阴囊肿物的肾细胞癌皮肤转移
Indian J Surg. 2015 Apr;77(Suppl 1):59-61. doi: 10.1007/s12262-014-1124-4. Epub 2014 Jun 22.
2
Exophytic parietal skin metastases of renal cell carcinoma.肾细胞癌的外生性顶叶皮肤转移瘤。
Case Rep Dermatol Med. 2013;2013:196016. doi: 10.1155/2013/196016. Epub 2013 Dec 26.

本文引用的文献

1
Cutaneous metastasis from visceral malignancy: A rare presentation.内脏恶性肿瘤的皮肤转移:一种罕见的表现。
J Cytol. 2009 Jul;26(3):109-10. doi: 10.4103/0970-9371.59397.
2
Cutaneous metastasis of renal cell carcinoma through percutaneous fine needle aspiration biopsy: case report.肾细胞癌经皮细针穿刺活检的皮肤转移:病例报告
Dermatol Online J. 2010 Feb 15;16(2):10.
3
Renal cell carcinoma metastatic to the skin.肾细胞癌转移至皮肤。
Anticancer Res. 2000 May-Jun;20(3B):1939-40.
4
Metastatic renal cell carcinoma presenting as a skin nodule: case report and review of the literature.
J Urol. 1994 Dec;152(6 Pt 1):2094-5. doi: 10.1016/s0022-5347(17)32319-4.
5
Clear cell carcinoma of the skin. A variant of the squamous cell carcinoma that simulates sebaceous carcinoma.皮肤透明细胞癌。一种模拟皮脂腺癌的鳞状细胞癌变体。
Am J Surg Pathol. 1980 Dec;4(6):573-83. doi: 10.1097/00000478-198012000-00008.
6
Metastatic tumors of the skin.皮肤转移性肿瘤。
Cancer. 1972 May;29(5):1298-307. doi: 10.1002/1097-0142(197205)29:5<1298::aid-cncr2820290526>3.0.co;2-6.
7
Aggressive treatment of metastatic renal cancer.转移性肾癌的积极治疗。
J Urol. 1986 Oct;136(4):805-7. doi: 10.1016/s0022-5347(17)45085-3.
8
Spontaneous regression of subcutaneous and pulmonary metastases from renal carcinoma.肾癌皮下及肺转移灶的自发消退
Br J Urol. 1989 Jan;63(1):102-3. doi: 10.1111/j.1464-410x.1989.tb05138.x.
9
Parotid gland metastasis from renal carcinoma.
Int Surg. 1990 Jul-Sep;75(3):198-202.
10
Unusual sites of metastases.转移的不常见部位。
Semin Oncol. 1977 Mar;4(1):59-64.