Epilepsy Society MRI Unit, Department of Clinical and Experimental Epilepsy, UCL Institute of Neurology, London, United Kingdom.
Epilepsia. 2011 Aug;52(8):1430-8. doi: 10.1111/j.1528-1167.2011.03088.x. Epub 2011 May 13.
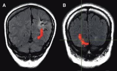
About one-third of patients with epilepsy are refractory to medical treatment and may be amenable to surgery. However, in patients with lesions on or near the presumed course of the optic radiation, the potential benefits of resection must be balanced against the risk of a visual field deficit. This study demonstrates the utility of diffusion tensor imaging (DTI) tractography in delineating the course of the optic radiation and its relationship to the epileptogenic lesion prior to epilepsy surgery.
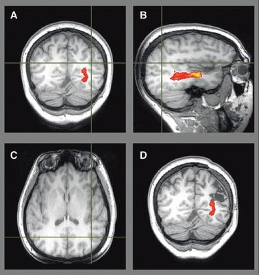
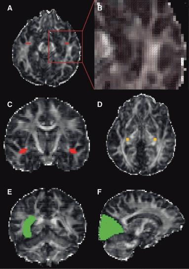
Anatomic and DTI scans were acquired on 10 patients with medically refractory epilepsy undergoing presurgical evaluation at the National Hospital for Neurology and Neurosurgery. Five patients underwent surgery and repeat scans postoperatively. The optic radiation was delineated and visualized in relation to the lesions on anatomic images and in three-dimensional (3D) reconstructions. Preoperative and postoperative visual fields were acquired by Goldmann perimetry.
The entire optic radiation was reliably delineated bilaterally in all patients. The results provide helpful additional information in informing the patient of the risks of surgery and in planning the surgical procedure and approach. Postoperative imaging findings correlated with the visual field data.
The optic radiation shows significant anatomic variability, but can be reliably delineated by tractography. Because surgical disruption of the optic radiation has serious consequences for the patient, DTI tractography is a useful technique in this population. Future integration with real-time neuronavigation will minimize the risks of neurosurgery.
约三分之一的癫痫患者对药物治疗无反应,可能适合手术治疗。然而,对于病变位于或靠近假定的视辐射路径的患者,切除的潜在益处必须与视野缺陷的风险相平衡。本研究展示了弥散张量成像(DTI)示踪技术在癫痫手术前描绘视辐射的路径及其与致痫病变的关系方面的应用。
对 10 名在国家神经病学和神经外科学院接受术前评估的药物难治性癫痫患者进行了解剖和 DTI 扫描。其中 5 名患者接受了手术,并在术后进行了重复扫描。在解剖图像和三维(3D)重建中,描绘和可视化视辐射与病变的关系。通过 Goldmann 视野计获取术前和术后的视野。
所有患者双侧均可靠地描绘出整个视辐射。这些结果为患者提供了有关手术风险的有用的额外信息,并有助于规划手术程序和方法。术后影像学发现与视野数据相关。
视辐射表现出显著的解剖变异性,但可以通过示踪技术可靠地描绘。由于视辐射的手术干扰对患者有严重后果,因此 DTI 示踪技术在该人群中是一种有用的技术。未来与实时神经导航的整合将最大限度地降低神经外科手术的风险。