• 文献检索
  • 文档翻译
  • 深度研究
  • 学术资讯
  • Suppr Zotero 插件Zotero 插件
  • 邀请有礼
  • 套餐&价格
  • 历史记录
应用&插件
Suppr Zotero 插件Zotero 插件浏览器插件Mac 客户端Windows 客户端微信小程序
定价
高级版会员购买积分包购买API积分包
服务
文献检索文档翻译深度研究API 文档MCP 服务
关于我们
关于 Suppr公司介绍联系我们用户协议隐私条款
关注我们

Suppr 超能文献

核心技术专利:CN118964589B侵权必究
粤ICP备2023148730 号-1Suppr @ 2026

文献检索

告别复杂PubMed语法,用中文像聊天一样搜索,搜遍4000万医学文献。AI智能推荐,让科研检索更轻松。

立即免费搜索

文件翻译

保留排版,准确专业,支持PDF/Word/PPT等文件格式,支持 12+语言互译。

免费翻译文档

深度研究

AI帮你快速写综述,25分钟生成高质量综述,智能提取关键信息,辅助科研写作。

立即免费体验

脊髓局灶性粘连性蛛网膜炎:影像学诊断与手术治疗

Focal adhesive arachnoiditis of the spinal cord: Imaging diagnosis and surgical resolution.

作者信息

Morisako Hiroki, Takami Toshihiro, Yamagata Toru, Chokyu Isao, Tsuyuguchi Naohiro, Ohata Kenji

机构信息

Department of Neurosurgery, Osaka City University Graduate School of Medicine, Osaka, Japan.

出版信息

J Craniovertebr Junction Spine. 2010 Jul;1(2):100-6. doi: 10.4103/0974-8237.77673.

DOI:10.4103/0974-8237.77673
PMID:21572630
原文链接:https://pmc.ncbi.nlm.nih.gov/articles/PMC3075825/
Abstract

BACKGROUND

Although adhesive arachnoiditis of the spinal cord can cause progressive symptoms associated with syringomyelia or myelomalacia, its surgical resolution based on the imaging diagnosis is not well characterized. This study aims to describe the use of imaging for the diagnosis of focal adhesive arachnoiditis of the spinal cord and its surgical resolution using microsurgical arachnoidolysis.

MATERIALS AND METHODS

Four consecutive patients with symptomatic syringomyelia or myelomalacia caused by focal adhesive arachnoiditis underwent microsurgical arachnoidolysis. Comprehensive imaging evaluation using constructive interference in steady-state (CISS) magnetic resonance imaging (MRI) or myelographic MR imaging using true fast imaging with steady-state precession (TrueFISP) sequences was included before surgery to determine the surgical indication.

RESULTS

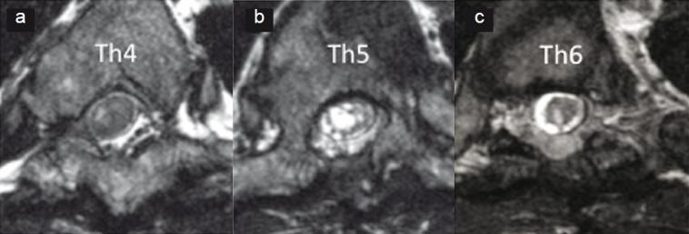
In all four patients a focal adhesion was identified at the cervical or thoracic level of the spinal cord, a consequence of infection or trauma. Three patients showed modest or minor improvement in neurological function, and one patient was unchanged after surgery. The syringomyelia or myelomalacia resolved after surgery and no recurrence was noted within the follow-up period, which ranged from 5 months to 30 months.

CONCLUSIONS

MRI diagnosis of focal adhesive arachnoiditis is critical to determine the surgical indication. Microsurgical arachnoidolysis appears to be a straightforward method for stabilizing the progressive symptoms, though the procedure is technically demanding.

摘要

背景

尽管脊髓粘连性蛛网膜炎可导致与脊髓空洞症或脊髓软化相关的进行性症状,但其基于影像学诊断的手术治疗方法尚未得到充分描述。本研究旨在描述影像学在诊断脊髓局灶性粘连性蛛网膜炎中的应用,以及使用显微外科蛛网膜松解术进行手术治疗的情况。

材料与方法

4例因局灶性粘连性蛛网膜炎导致有症状的脊髓空洞症或脊髓软化的患者接受了显微外科蛛网膜松解术。术前采用稳态构成干扰(CISS)磁共振成像(MRI)或使用稳态进动快速成像(TrueFISP)序列的脊髓造影MRI进行全面的影像学评估,以确定手术指征。

结果

所有4例患者均在脊髓颈段或胸段发现局灶性粘连,这是感染或创伤的结果。3例患者神经功能有中度或轻度改善,1例患者术后无变化。脊髓空洞症或脊髓软化在术后得到缓解,在5个月至30个月的随访期内未发现复发。

结论

MRI对局灶性粘连性蛛网膜炎的诊断对于确定手术指征至关重要。显微外科蛛网膜松解术似乎是稳定进行性症状的一种直接方法,尽管该手术对技术要求较高。

https://cdn.ncbi.nlm.nih.gov/pmc/blobs/d383/3075825/d4187799a513/JCVJS-1-100-g008.jpg
https://cdn.ncbi.nlm.nih.gov/pmc/blobs/d383/3075825/cfe06b991965/JCVJS-1-100-g003.jpg
https://cdn.ncbi.nlm.nih.gov/pmc/blobs/d383/3075825/d45506c72eee/JCVJS-1-100-g004.jpg
https://cdn.ncbi.nlm.nih.gov/pmc/blobs/d383/3075825/3d516ea52cca/JCVJS-1-100-g006.jpg
https://cdn.ncbi.nlm.nih.gov/pmc/blobs/d383/3075825/c88b10a70cd0/JCVJS-1-100-g007.jpg
https://cdn.ncbi.nlm.nih.gov/pmc/blobs/d383/3075825/d4187799a513/JCVJS-1-100-g008.jpg
https://cdn.ncbi.nlm.nih.gov/pmc/blobs/d383/3075825/cfe06b991965/JCVJS-1-100-g003.jpg
https://cdn.ncbi.nlm.nih.gov/pmc/blobs/d383/3075825/d45506c72eee/JCVJS-1-100-g004.jpg
https://cdn.ncbi.nlm.nih.gov/pmc/blobs/d383/3075825/3d516ea52cca/JCVJS-1-100-g006.jpg
https://cdn.ncbi.nlm.nih.gov/pmc/blobs/d383/3075825/c88b10a70cd0/JCVJS-1-100-g007.jpg
https://cdn.ncbi.nlm.nih.gov/pmc/blobs/d383/3075825/d4187799a513/JCVJS-1-100-g008.jpg

相似文献

1
Focal adhesive arachnoiditis of the spinal cord: Imaging diagnosis and surgical resolution.脊髓局灶性粘连性蛛网膜炎:影像学诊断与手术治疗
J Craniovertebr Junction Spine. 2010 Jul;1(2):100-6. doi: 10.4103/0974-8237.77673.
2
Symptomatic spinal cord kinking due to focal adhesive arachnoiditis, with ossification of the ligamentum flavum: a case report.因局灶性粘连性蛛网膜炎伴黄韧带骨化导致的症状性脊髓扭结:一例报告
Spine (Phila Pa 1976). 2014 Apr 15;39(8):E538-41. doi: 10.1097/BRS.0000000000000225.
3
High-resolution constructive interference in a steady state imaging of cervicothoracic adhesive arachnoiditis.高分辨率稳态成像在颈胸段粘连性蛛网膜炎中的应用。
J Comput Assist Tomogr. 2007 Jan-Feb;31(1):143-7. doi: 10.1097/01.rct.0000230006.46145.16.
4
Visualization of regional cerebrospinal fluid flow with a dye injection technique in focal arachnoid pathologies.采用染料注射技术对局部蛛网膜病变区域脑脊液流动进行可视化研究。
J Neurosurg Spine. 2015 May;22(5):554-7. doi: 10.3171/2014.10.SPINE1446. Epub 2015 Feb 13.
5
Adhesive arachnoiditis with extensive syringomyelia and giant arachnoid cyst after spinal and epidural anesthesia: a case report.蛛网膜粘连伴广泛脊髓空洞症和巨大蛛网膜囊肿的椎管内和硬膜外麻醉后:病例报告。
Spine (Phila Pa 1976). 2012 Feb 1;37(3):E195-8. doi: 10.1097/BRS.0b013e31822ba817.
6
Clinical features and pathomechanisms of syringomyelia associated with spinal arachnoiditis.脊髓蛛网膜炎相关脊髓空洞症的临床特征及发病机制
Surg Neurol. 2005 Apr;63(4):350-5; discussion 355-6. doi: 10.1016/j.surneu.2004.05.038.
7
Diagnosis and Treatment Strategies for Arachnoiditis Ossificans Following Subarachnoid Hemorrhage: A Case Report.蛛网膜下腔出血后骨化性蛛网膜炎的诊断与治疗策略:一例报告
NMC Case Rep J. 2022 Sep 15;9:295-299. doi: 10.2176/jns-nmc.2022-0036. eCollection 2022.
8
Flexible thecoscopy for extensive spinal arachnoiditis.用于广泛性脊髓蛛网膜炎的可弯曲性硬脊膜镜检查
J Neurosurg Spine. 2021 Oct 1;36(2):325-335. doi: 10.3171/2021.4.SPINE21483. Print 2022 Feb 1.
9
Safety and Efficacy of Syringoperitoneal Shunting with a Programmable Shunt Valve for Syringomyelia Associated with Extensive Spinal Adhesive Arachnoiditis: Technical Note.鞘内-腹腔分流术联合程控分流阀治疗广泛脊髓蛛网膜炎相关的脊髓空洞症的安全性和有效性:技术说明。
World Neurosurg. 2019 Dec;132:14-20. doi: 10.1016/j.wneu.2019.08.103. Epub 2019 Aug 26.
10
[Treatment of syringomyelia associated with adhesive arachnoiditis].[与粘连性蛛网膜炎相关的脊髓空洞症的治疗]
Zh Vopr Neirokhir Im N N Burdenko. 2017;81(3):39-47. doi: 10.17116/neiro201781339-47.

引用本文的文献

1
Delta Cord as a Radiological Localization Sign of Postoperative Adhesive Arachnoiditis: A Case Report and Literature Review.作为术后粘连性蛛网膜炎放射学定位征象的终丝:一例报告及文献综述
Diagnostics (Basel). 2023 Sep 14;13(18):2942. doi: 10.3390/diagnostics13182942.
2
Spinal Adhesive Arachnoiditis: A Literature Review.脊髓粘连性蛛网膜炎:文献综述
Cureus. 2023 Jan 12;15(1):e33697. doi: 10.7759/cureus.33697. eCollection 2023 Jan.
3
Spinal arachnoiditis and syringomyelia: Review of literature with emphasis on postinfectious inflammation and treatment.

本文引用的文献

1
Three-dimensional constructive interference in steady-state magnetic resonance imaging in syringomyelia: advantages over conventional imaging.空洞症的稳态磁共振成像中的三维建设性干涉:相较于传统成像的优势
J Neurosurg Spine. 2008 May;8(5):429-35. doi: 10.3171/SPI/2008/8/5/429.
2
The role of spinal tissue scarring in the pathogenesis of progressive post-traumatic myelomalacia.脊髓组织瘢痕形成在创伤后进行性脊髓软化症发病机制中的作用。
Neurol Res. 2006 Dec;28(8):802-6. doi: 10.1179/016164106X110355.
3
Primary spinal syringomyelia. Invited submission from the joint section meeting on disorders of the spine and peripheral nerves, March 2005.
脊髓蛛网膜炎和脊髓空洞症:文献综述,重点关注感染后炎症及治疗
Surg Neurol Int. 2022 Jul 15;13:299. doi: 10.25259/SNI_383_2022. eCollection 2022.
4
Syringo-peritoneal Shunt for Syringomyelia Due to Extensive Adhesive Arachnoiditis: A Case Report.用于广泛粘连性蛛网膜炎所致脊髓空洞症的脊髓-腹膜分流术:一例报告
NMC Case Rep J. 2021 Aug 11;8(1):419-425. doi: 10.2176/nmccrj.cr.2020-0228. eCollection 2021.
5
Thoracolumbar meningeal fibrosis in pugs.拳狮犬的胸腰椎脑膜纤维化。
J Vet Intern Med. 2020 Mar;34(2):797-807. doi: 10.1111/jvim.15716. Epub 2020 Jan 31.
6
Intruding implements: a pictorial review of retained surgical foreign objects in neuroradiology.侵入性器械:神经放射学中留存手术异物的图片综述
Insights Imaging. 2019 Dec 18;10(1):124. doi: 10.1186/s13244-019-0817-4.
7
Practical applications of CISS MRI in spine imaging.磁共振成像稳态构成干扰序列在脊柱成像中的实际应用
Eur J Radiol Open. 2019 Jun 27;6:231-242. doi: 10.1016/j.ejro.2019.06.001. eCollection 2019.
8
Cervicothoracic arachnoiditis-a rare complication of aneurysmal intracranial subarachnoid haemorrhage.颈胸段蛛网膜炎——颅内动脉瘤性蛛网膜下腔出血的一种罕见并发症。
Spinal Cord Ser Cases. 2018 Jun 28;4:57. doi: 10.1038/s41394-018-0089-0. eCollection 2018.
9
Sudden death and cervical spine: A new contribution to pathogenesis for sudden death in critical care unit from subarachnoid hemorrhage; first report - An experimental study.猝死与颈椎:蛛网膜下腔出血致重症监护病房猝死发病机制的新贡献;首例报告——一项实验研究
J Craniovertebr Junction Spine. 2017 Jan-Mar;8(1):33-38. doi: 10.4103/0974-8237.199870.
J Neurosurg Spine. 2005 Dec;3(6):429-35. doi: 10.3171/spi.2005.3.6.0429.
4
Detection of root avulsion in the dominant C7 obstetric brachial plexus lesion: experience with three-dimensional constructive interference in steady-state magnetic resonance imaging and electrophysiology.优势侧C7产瘫性臂丛神经损伤中神经根撕脱的检测:三维稳态构成干扰磁共振成像和电生理学的经验
Neurosurgery. 2005 Nov;57(5):930-40; discussion 930-40. doi: 10.1227/01.neu.0000180813.10843.d4.
5
Trigeminal ganglion and its divisions: detailed anatomic MR imaging with contrast-enhanced 3D constructive interference in the steady state sequences.三叉神经节及其分支:采用对比增强三维稳态构成干扰序列的详细解剖磁共振成像
AJNR Am J Neuroradiol. 2005 May;26(5):1128-35.
6
Lift-up laminoplasty for myelopathy caused by ossification of the posterior longitudinal ligament of the cervical spine.颈椎后纵韧带骨化症所致脊髓病的单开门椎管扩大成形术
Neurol India. 2004 Mar;52(1):59-63.
7
Altered subarachnoid space compliance and fluid flow in an animal model of posttraumatic syringomyelia.创伤后脊髓空洞症动物模型中蛛网膜下腔顺应性和脑脊液流动的改变
Spine (Phila Pa 1976). 2003 Oct 15;28(20):E413-9. doi: 10.1097/01.BRS.0000092346.83686.B9.
8
Syringomyelia and the arachnoid web.脊髓空洞症与蛛网膜网
Acta Neurochir (Wien). 2003 Aug;145(8):707-11; discussion 711. doi: 10.1007/s00701-003-0071-9.
9
Fluid flow in an animal model of post-traumatic syringomyelia.创伤后脊髓空洞症动物模型中的流体流动
Eur Spine J. 2003 Jun;12(3):300-6. doi: 10.1007/s00586-002-0492-9. Epub 2002 Dec 6.
10
Myelographic MR imaging of the cervical spine with a 3D true fast imaging with steady-state precession technique: initial experience.采用三维稳态进动快速成像技术对颈椎进行脊髓造影磁共振成像:初步经验
Radiology. 2003 May;227(2):585-92. doi: 10.1148/radiol.2272011149. Epub 2003 Mar 27.