Suppr超能文献

自身免疫性疾病中针对c-myc核蛋白产物的自身抗体。

Autoantibodies to c-myc nuclear protein products in autoimmune disease.

作者信息

Yamauchi T, Naoe T, Kurosawa Y, Shiku H, Yamada K

机构信息

Department of Internal Medicine, Nagoya University Branch Hospital, Japan.

出版信息

Immunology. 1990 Jan;69(1):117-20.

Abstract

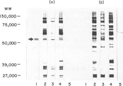
This report describes the identification of autoantibodies that react with c-myc proteins in the sera of some patients with autoimmune diseases. Sera from nine to 30 patients, including six with systemic lupus erythematosus, one with mixed connective tissue disease, one with dermatomyositis and one with autoimmune haemolytic anaemia, reacted in immunoblotting assays against a truncated human c-myc protein p42 produced by Escherichia coli. Furthermore, these sera exhibited double bands of 58,000 and 60,000 MW in the nuclear fraction of HL-60 cells with the amplified c-myc gene. These bands were the same as those detected by the anti-human c-myc protein monoclonal antibody (MYC-1) by immunoblotting assay. The binding activities to 58,000 and 60,000 MW were not reduced by DNase I digestion with the sera and could be absorbed by a p42-bound affinity column and recovered after elution.

摘要

本报告描述了在一些自身免疫性疾病患者血清中鉴定出与c-myc蛋白发生反应的自身抗体。9至30名患者的血清,包括6名系统性红斑狼疮患者、1名混合性结缔组织病患者、1名皮肌炎患者和1名自身免疫性溶血性贫血患者,在免疫印迹试验中与大肠杆菌产生的截短型人c-myc蛋白p42发生反应。此外,这些血清在具有扩增c-myc基因的HL-60细胞核部分中呈现出58000和60000 MW的双条带。这些条带与通过免疫印迹试验用抗人c-myc蛋白单克隆抗体(MYC-1)检测到的条带相同。血清经DNase I消化后,与58000和60000 MW的结合活性并未降低,且可被p42结合亲和柱吸附,并在洗脱后回收。

https://cdn.ncbi.nlm.nih.gov/pmc/blobs/801f/1385729/095c0137efd2/immunology00132-0126-a.jpg

文献检索

告别复杂PubMed语法,用中文像聊天一样搜索,搜遍4000万医学文献。AI智能推荐,让科研检索更轻松。

立即免费搜索

文件翻译

保留排版,准确专业,支持PDF/Word/PPT等文件格式,支持 12+语言互译。

免费翻译文档

深度研究

AI帮你快速写综述,25分钟生成高质量综述,智能提取关键信息,辅助科研写作。

立即免费体验