• 文献检索
  • 文档翻译
  • 深度研究
  • 学术资讯
  • Suppr Zotero 插件Zotero 插件
  • 邀请有礼
  • 套餐&价格
  • 历史记录
应用&插件
Suppr Zotero 插件Zotero 插件浏览器插件Mac 客户端Windows 客户端微信小程序
定价
高级版会员购买积分包购买API积分包
服务
文献检索文档翻译深度研究API 文档MCP 服务
关于我们
关于 Suppr公司介绍联系我们用户协议隐私条款
关注我们

Suppr 超能文献

核心技术专利:CN118964589B侵权必究
粤ICP备2023148730 号-1Suppr @ 2026

文献检索

告别复杂PubMed语法,用中文像聊天一样搜索,搜遍4000万医学文献。AI智能推荐,让科研检索更轻松。

立即免费搜索

文件翻译

保留排版,准确专业,支持PDF/Word/PPT等文件格式,支持 12+语言互译。

免费翻译文档

深度研究

AI帮你快速写综述,25分钟生成高质量综述,智能提取关键信息,辅助科研写作。

立即免费体验

人类免疫缺陷病毒(HIV)nef蛋白在人星形胶质细胞中的组成型表达不影响基础或诱导的HIV长末端重复序列活性。

Constitutive expression of human immunodeficiency virus (HIV) nef protein in human astrocytes does not influence basal or induced HIV long terminal repeat activity.

作者信息

Bachelerie F, Alcami J, Hazan U, Israël N, Goud B, Arenzana-Seisdedos F, Virelizier J L

机构信息

Laboratoire d'Immunologie Virale, Institut Pasteur, Paris, France.

出版信息

J Virol. 1990 Jun;64(6):3059-62. doi: 10.1128/JVI.64.6.3059-3062.1990.

DOI:10.1128/JVI.64.6.3059-3062.1990
PMID:2186177
原文链接:https://pmc.ncbi.nlm.nih.gov/articles/PMC249492/
Abstract

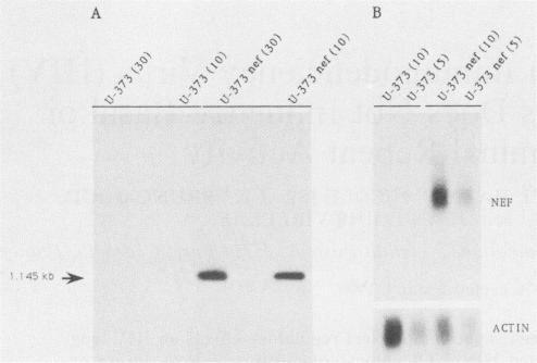
Since human immunodeficiency virus (HIV) nef has been suggested to exert regulatory effects on HIV long terminal repeat (LTR) activity, we transiently transfected HIV LTR chloramphenicol acetyltransferase or luciferase expression vectors into a human astrocytoma clone (U-373nef) that constitutively expresses the HIV nef gene. In these cells, basal HIV LTR activity, as well as tumor necrosis factor-induced or tat-driven activity, was similar to that in control cells. Lack of any detectable effect of HIV nef on LTR activity was not the result of mutations in integrated nef DNA, as was shown by polymerase chain reaction. These data suggest that the role of nef in HIV genome transcription does not necessarily involve a direct influence on HIV LTR activity.

摘要

由于有人提出人类免疫缺陷病毒(HIV)的nef蛋白对HIV长末端重复序列(LTR)的活性具有调节作用,我们将HIV LTR氯霉素乙酰转移酶或荧光素酶表达载体瞬时转染到一个组成性表达HIV nef基因的人星形细胞瘤克隆(U - 373nef)中。在这些细胞中,基础HIV LTR活性以及肿瘤坏死因子诱导的或tat驱动的活性与对照细胞中的相似。聚合酶链反应结果表明,HIV nef对LTR活性缺乏任何可检测到的影响并非整合的nef DNA发生突变所致。这些数据表明,nef在HIV基因组转录中的作用不一定涉及对HIV LTR活性的直接影响。

https://cdn.ncbi.nlm.nih.gov/pmc/blobs/0e06/249492/0e89a32ca837/jvirol00061-0620-b.jpg
https://cdn.ncbi.nlm.nih.gov/pmc/blobs/0e06/249492/76a0fb2591b4/jvirol00061-0620-a.jpg
https://cdn.ncbi.nlm.nih.gov/pmc/blobs/0e06/249492/0e89a32ca837/jvirol00061-0620-b.jpg
https://cdn.ncbi.nlm.nih.gov/pmc/blobs/0e06/249492/76a0fb2591b4/jvirol00061-0620-a.jpg
https://cdn.ncbi.nlm.nih.gov/pmc/blobs/0e06/249492/0e89a32ca837/jvirol00061-0620-b.jpg

相似文献

1
Constitutive expression of human immunodeficiency virus (HIV) nef protein in human astrocytes does not influence basal or induced HIV long terminal repeat activity.人类免疫缺陷病毒(HIV)nef蛋白在人星形胶质细胞中的组成型表达不影响基础或诱导的HIV长末端重复序列活性。
J Virol. 1990 Jun;64(6):3059-62. doi: 10.1128/JVI.64.6.3059-3062.1990.
2
Effects of the tat and nef gene products of human immunodeficiency virus type 1 (HIV-1) on transcription controlled by the HIV-1 long terminal repeat and on cell growth in macrophages.人类免疫缺陷病毒1型(HIV-1)的tat和nef基因产物对HIV-1长末端重复序列控制的转录以及巨噬细胞中细胞生长的影响。
J Virol. 1993 Dec;67(12):6956-64. doi: 10.1128/JVI.67.12.6956-6964.1993.
3
Nef protein of human immunodeficiency virus type 1: evidence against its role as a transcriptional inhibitor.人类免疫缺陷病毒1型的Nef蛋白:反对其作为转录抑制剂作用的证据。
Proc Natl Acad Sci U S A. 1989 Dec;86(23):9549-53. doi: 10.1073/pnas.86.23.9549.
4
HIV-1 Nef alters the expression of betaII and epsilon isoforms of protein kinase C and the activation of the long terminal repeat promoter in human astrocytoma cells.HIV-1 Nef改变人星形细胞瘤细胞中蛋白激酶C的βII和ε亚型的表达以及长末端重复序列启动子的激活。
Glia. 1999 Aug;27(2):143-51.
5
Human immunodeficiency virus type 1 (HIV-1) provirus expression and LTR transcription are repressed in NEF-expressing cell lines.在表达NEF的细胞系中,1型人类免疫缺陷病毒(HIV-1)前病毒表达和长末端重复序列(LTR)转录受到抑制。
Virology. 1991 Jun;182(2):522-33. doi: 10.1016/0042-6822(91)90593-z.
6
Lack of a negative influence on viral growth by the nef gene of human immunodeficiency virus type 1.人类免疫缺陷病毒1型的nef基因对病毒生长无负面影响。
Proc Natl Acad Sci U S A. 1989 Dec;86(23):9544-8. doi: 10.1073/pnas.86.23.9544.
7
Transcriptional activity of blood-and cerebrospinal fluid-derived nef/long-terminal repeat sequences isolated from a slow progressor infected with nef-deleted human immunodeficiency virus type 1 (HIV-1) who developed HIV-associated dementia.从一名感染了 nef 缺失型 1 型人类免疫缺陷病毒(HIV-1)且病情进展缓慢并发展为 HIV 相关痴呆症的患者中分离出的血液和脑脊液来源的 nef/长末端重复序列的转录活性。
J Neurovirol. 2006 Jun;12(3):219-28. doi: 10.1080/13550280600827369.
8
The HIV-1 regulatory protein Nef has a specific function in viral expression in a murine macrophage cell line.HIV-1调节蛋白Nef在鼠巨噬细胞系的病毒表达中具有特定功能。
J Leukoc Biol. 1994 Sep;56(3):294-303. doi: 10.1002/jlb.56.3.294.
9
Role of HIV-1 Nef expression in activation pathways in CD4+ T cells.HIV-1 Nef表达在CD4+ T细胞激活途径中的作用。
AIDS Res Hum Retroviruses. 1994 May;10(5):523-7. doi: 10.1089/aid.1994.10.523.
10
Nef from primary isolates of human immunodeficiency virus type 1 suppresses surface CD4 expression in human and mouse T cells.来自人类免疫缺陷病毒1型原始分离株的Nef蛋白可抑制人和小鼠T细胞表面CD4的表达。
J Virol. 1993 Aug;67(8):4923-31. doi: 10.1128/JVI.67.8.4923-4931.1993.

引用本文的文献

1
Down-regulation of CTLA-4 by HIV-1 Nef protein.HIV-1 Nef 蛋白下调 CTLA-4。
PLoS One. 2013;8(1):e54295. doi: 10.1371/journal.pone.0054295. Epub 2013 Jan 23.
2
Human immunodeficiency virus-1 Nef expression induces intracellular accumulation of multivesicular bodies and major histocompatibility complex class II complexes: potential role of phosphatidylinositol 3-kinase.人类免疫缺陷病毒1型Nef蛋白表达诱导多囊泡体和主要组织相容性复合体II类复合物在细胞内积聚:磷脂酰肌醇3激酶的潜在作用
Mol Biol Cell. 2003 Dec;14(12):4857-70. doi: 10.1091/mbc.e03-04-0211. Epub 2003 Sep 17.
3
Mutation of a conserved residue (D123) required for oligomerization of human immunodeficiency virus type 1 Nef protein abolishes interaction with human thioesterase and results in impairment of Nef biological functions.

本文引用的文献

1
A new dominant hybrid selective marker for higher eukaryotic cells.一种用于高等真核细胞的新型显性杂交选择标记。
J Mol Biol. 1981 Jul 25;150(1):1-14. doi: 10.1016/0022-2836(81)90321-1.
2
Cytoplasmic localization of the HTLV-III 3' orf protein in cultured T cells.人嗜T淋巴细胞病毒III型3' 开放阅读框蛋白在培养的T细胞中的细胞质定位。
Virology. 1986 Dec;155(2):593-9. doi: 10.1016/0042-6822(86)90219-9.
3
Effects of mutations within the 3' orf open reading frame region of human T-cell lymphotropic virus type III (HTLV-III/LAV) on replication and cytopathogenicity.
人类免疫缺陷病毒1型Nef蛋白寡聚化所需的保守残基(D123)发生突变,会消除与人类硫酯酶的相互作用,并导致Nef生物学功能受损。
J Virol. 2000 Jun;74(11):5310-9. doi: 10.1128/jvi.74.11.5310-5319.2000.
4
Regions of human immunodeficiency virus type 1 nef required for function in vivo.1型人类免疫缺陷病毒nef在体内发挥功能所需的区域。
J Virol. 1998 Sep;72(9):7032-9. doi: 10.1128/JVI.72.9.7032-7039.1998.
5
Pathogenesis of human immunodeficiency virus infection.人类免疫缺陷病毒感染的发病机制
Microbiol Rev. 1993 Mar;57(1):183-289. doi: 10.1128/mr.57.1.183-289.1993.
6
Human immunodeficiency virus type 1 infection of the brain.1型人类免疫缺陷病毒脑部感染
Clin Microbiol Rev. 1993 Oct;6(4):339-66. doi: 10.1128/CMR.6.4.339.
7
Temporal patterns of human immunodeficiency virus type 1 transcripts in human fetal astrocytes.人类胎儿星形胶质细胞中1型人类免疫缺陷病毒转录本的时间模式。
J Virol. 1994 Jan;68(1):93-102. doi: 10.1128/JVI.68.1.93-102.1994.
8
Optimal infectivity in vitro of human immunodeficiency virus type 1 requires an intact nef gene.1型人类免疫缺陷病毒在体外的最佳感染性需要完整的nef基因。
J Virol. 1994 May;68(5):2906-14. doi: 10.1128/JVI.68.5.2906-2914.1994.
9
The genome of feline immunodeficiency virus.猫免疫缺陷病毒的基因组。
Arch Virol. 1994;134(3-4):221-34. doi: 10.1007/BF01310563.
10
Repressive effect of the nef cDNA of human immunodeficiency virus type 1 on the promoter activity of the viral long terminal repeat.
Jpn J Cancer Res. 1990 Nov;81(11):1124-31. doi: 10.1111/j.1349-7006.1990.tb02523.x.
人类嗜T淋巴细胞病毒III型(HTLV-III/LAV)3' 开放阅读框区域内突变对复制及细胞致病性的影响。
J Virol. 1986 Nov;60(2):754-60. doi: 10.1128/JVI.60.2.754-760.1986.
4
Interactions of cellular proteins involved in the transcriptional regulation of the human immunodeficiency virus.参与人类免疫缺陷病毒转录调控的细胞蛋白之间的相互作用。
EMBO J. 1987 Dec 1;6(12):3761-70. doi: 10.1002/j.1460-2075.1987.tb02711.x.
5
Nef protein of HIV-1 is a transcriptional repressor of HIV-1 LTR.HIV-1的Nef蛋白是HIV-1长末端重复序列的转录抑制因子。
Science. 1988 Sep 16;241(4872):1481-5. doi: 10.1126/science.3262235.
6
Autocrine secretion of tumor necrosis factor under the influence of interferon-gamma amplifies HLA-DR gene induction in human monocytes.在γ干扰素影响下肿瘤坏死因子的自分泌可增强人单核细胞中HLA - DR基因的诱导。
Proc Natl Acad Sci U S A. 1988 Aug;85(16):6087-91. doi: 10.1073/pnas.85.16.6087.
7
HIV F/3' orf encodes a phosphorylated GTP-binding protein resembling an oncogene product.HIV F/3' 开放阅读框编码一种磷酸化的GTP结合蛋白,类似于一种癌基因产物。
Nature. 1987;330(6145):266-9. doi: 10.1038/330266a0.
8
The 3'-orf protein of human immunodeficiency virus shows structural homology with the phosphorylation domain of human interleukin-2 receptor and the ATP-binding site of the protein kinase family.
FEBS Lett. 1987 Jun 22;218(1):81-6. doi: 10.1016/0014-5793(87)81023-2.
9
Powerful and versatile enhancer-promoter unit for mammalian expression vectors.用于哺乳动物表达载体的强大且通用的增强子-启动子单元。
Gene. 1986;45(1):101-5. doi: 10.1016/0378-1119(86)90137-x.
10
A new HTLV-III/LAV encoded antigen detected by antibodies from AIDS patients.一种由艾滋病患者抗体检测出的新型人类嗜T淋巴细胞病毒III型/淋巴腺病相关病毒编码抗原。
Science. 1985 Nov 15;230(4727):810-3. doi: 10.1126/science.2997921.